Tel:
+49 (0)241 95 163 153
Fax:
+49 (0)241 95 163 155
E-Mail:
orders@anticorps-enligne.fr

LMAN2 Anticorps

(Lectin, Mannose-Binding 2 (LMAN2))

Choisissez l’un des 29 anticorps LMAN2 de notre liste de produits basés sur 18 images de validation.

Découvrez des anticorps LMAN2 fiables issus d’une large sélection de fabricants renommés. Notre portefeuille permet une détection précise de LMAN2 dans plusieurs espèces, y compris Human, Mouse, Dog, Rat, Guinea Pig, Rabbit, Cow, Horse, Bat, Hamster, Zebrafish (Danio rerio), Monkey, Pig, et prend en charge diverses applications de recherche telles que WB, ELISA, IHC, IF, IP.

Trouvez rapidement l’anticorps adapté grâce à nos outils de recherche, de filtrage et de comparaison. Chaque page produit fournit des données de validation détaillées, des références bibliographiques et des retours d’utilisateurs. Contrairement aux ressources dédiées uniquement à la comparaison, vous pouvez acheter directement les anticorps sur notre site. Choisissez parmi des anticorps polyclonaux, monoclonaux ou recombinants LMAN2, issus de différents hôtes tels que Rabbit, Mouse. Parcourez nos produits ci-dessous et commandez directement pour soutenir vos recherches en toute confiance.

Les noms alternatifs de LMAN2 sont LMAN2, lman2, Lman2.

29 Résultats

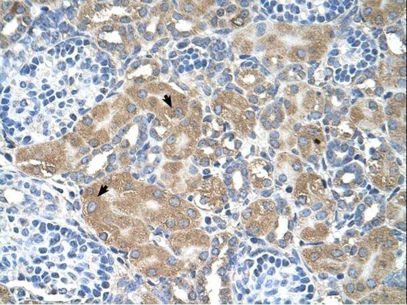
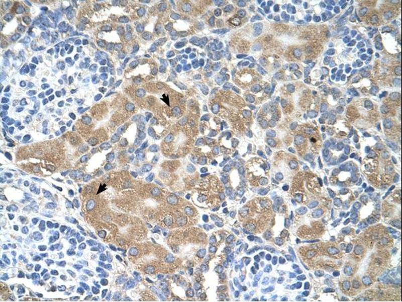
LMAN2 Reactivité: Humain, Souris, Chien WB, IHC Hôte: Lapin Polyclonal unconjugated
N° du produit ABIN635887
1.218,13 €
Plus frais de livraison 40,00 € et TVA
100 μL
Destination: France
Envoi sous 13 à 17 jours ouvrables
 
LMAN2 Reactivité: Humain, Souris, Chien, Rat, Cobaye, Lapin, Boeuf (Vache), Cheval, Poisson zèbre (Danio rerio) WB, IHC Hôte: Lapin Polyclonal unconjugated
N° du produit ABIN2782737
534,11 €
Plus frais de livraison 40,00 € et TVA
100 μL (Autres quantités disponibles)
Destination: France
Envoi sous 6 à 9 jours ouvrables
 
LMAN2 Reactivité: Humain, Souris, Chien, Rat, Cobaye, Lapin, Boeuf (Vache), Cheval, Roussette (Chauve-souris), Hamster WB, IHC, IHC (p) Hôte: Lapin Polyclonal unconjugated
N° du produit ABIN6738269
789,41 €
Plus frais de livraison 40,00 € et TVA
100 μL
Destination: France
Envoi sous 15 à 20 jours ouvrables
 
LMAN2 Reactivité: Humain WB, IF Hôte: Lapin Polyclonal unconjugated
N° du produit ABIN7268203
320,00 €
Plus frais de livraison 40,00 € et TVA
100 μL (Autres quantités disponibles)
Destination: France
Envoi sous 8 à 10 jours ouvrables
 
LMAN2 Reactivité: Humain DB Hôte: Souris Monoclonal 264C4a unconjugated
N° du produit ABIN932198
1.593,21 €
Plus frais de livraison 40,00 € et TVA
100 μg
Destination: France
Envoi sous 20 à 27 jours ouvrables
 
LMAN2 Reactivité: Humain, Chien WB Hôte: Lapin Polyclonal unconjugated
N° du produit ABIN635888
1.218,13 €
Plus frais de livraison 40,00 € et TVA
100 μL
Destination: France
Envoi sous 13 à 17 jours ouvrables
 
LMAN2 Reactivité: Humain, Souris, Chien, Rat, Cobaye, Lapin, Boeuf (Vache), Cheval, Roussette (Chauve-souris), Hamster, Singe, Porc WB Hôte: Lapin Polyclonal unconjugated
N° du produit ABIN6738270
789,41 €
Plus frais de livraison 40,00 € et TVA
100 μL
Destination: France
Envoi sous 15 à 20 jours ouvrables
 
LMAN2 Reactivité: Humain WB, IHC Hôte: Lapin Polyclonal unconjugated
N° du produit ABIN7642037
310,62 €
Plus frais de livraison 40,00 € et TVA
100 μL (Autres quantités disponibles)
Destination: France
Envoi sous 11 à 15 jours ouvrables
 
LMAN2 Reactivité: Humain WB, IHC, ELISA Hôte: Lapin Polyclonal unconjugated
N° du produit ABIN7570073
527,38 €
Plus frais de livraison 40,00 € et TVA
100 μg
Destination: France
Envoi sous 10 à 13 jours ouvrables
 
LMAN2 Reactivité: Souris IF Hôte: Lapin Polyclonal unconjugated
N° du produit ABIN7384110
250,00 €
Plus frais de livraison 40,00 € et TVA
60 μL
Destination: France
Envoi sous 9 à 13 jours ouvrables
 
LMAN2 Reactivité: Humain WB Hôte: Souris Monoclonal unconjugated
N° du produit ABIN6737226
1.418,56 €
Plus frais de livraison 40,00 € et TVA
100 μg
Destination: France
Envoi sous 15 à 20 jours ouvrables
 
LMAN2 Reactivité: Humain WB, ELISA Hôte: Lapin Polyclonal unconjugated
N° du produit ABIN2613072
1.328,20 €
Plus frais de livraison 40,00 € et TVA
200 μL
Destination: France
Envoi sous 15 à 20 jours ouvrables
 
LMAN2 Reactivité: Humain WB, ELISA Hôte: Lapin Polyclonal Biotin
N° du produit ABIN1910093
1.708,41 €
Plus frais de livraison 40,00 € et TVA
200 μL
Destination: France
Envoi sous 15 à 20 jours ouvrables
 
LMAN2 Reactivité: Humain WB, ELISA Hôte: Lapin Polyclonal HRP
N° du produit ABIN1910096
1.708,41 €
Plus frais de livraison 40,00 € et TVA
200 μL
Destination: France
Envoi sous 15 à 20 jours ouvrables
 
LMAN2 Reactivité: Humain WB, ELISA Hôte: Lapin Polyclonal APC
N° du produit ABIN1910092
1.708,41 €
Plus frais de livraison 40,00 € et TVA
200 μL
Destination: France
Envoi sous 15 à 20 jours ouvrables
 
LMAN2 Reactivité: Humain WB, ELISA Hôte: Lapin Polyclonal PE
N° du produit ABIN1910095
1.708,41 €
Plus frais de livraison 40,00 € et TVA
200 μL
Destination: France
Envoi sous 15 à 20 jours ouvrables
 
LMAN2 Reactivité: Humain WB, ELISA Hôte: Lapin Polyclonal FITC
N° du produit ABIN1910094
1.708,41 €
Plus frais de livraison 40,00 € et TVA
200 μL
Destination: France
Envoi sous 15 à 20 jours ouvrables
 
LMAN2 Reactivité: Humain WB Hôte: Lapin Polyclonal unconjugated
N° du produit ABIN1812537
734,86 €
Plus frais de livraison 40,00 € et TVA
400 μL
Destination: France
Envoi sous 15 à 20 jours ouvrables
 
LMAN2 Reactivité: Humain, Souris ELISA Hôte: Lapin Polyclonal unconjugated
N° du produit ABIN7096364
525,71 €
Plus frais de livraison 40,00 € et TVA
100 μL (Autres quantités disponibles)
Destination: France
Envoi sous 9 à 11 jours ouvrables
 
LMAN2 Reactivité: Humain IP Hôte: Lapin Polyclonal unconjugated
N° du produit ABIN7451169
576,62 €
Plus frais de livraison 40,00 € et TVA
100 μg (Autres quantités disponibles)
Destination: France
Envoi sous 7 à 10 jours ouvrables
 
  • Type Primary
    • Primary
  • Application
    • Western Blotting (WB)
    • ELISA
    • Immunohistochemistry (IHC)
    • Immunofluorescence (IF)
    • Immunoprecipitation (IP)
    • Dot Blot (DB)
    • Enzyme Immunoassay (EIA)
    • Immunohistochemistry (Paraffin-embedded Sections) (IHC (p))
    • Immunofluorescence (fixed cells) (IF/ICC)
  • Réactivité
    • Human
    • Mouse
    • Dog
    • Rat
    • Guinea Pig
    • Rabbit
    • Cow
    • Horse
    • Bat
    • Hamster
    • Zebrafish (Danio rerio)
    • Monkey
    • Pig
  • Images disponible
  • Sans conservateur uniquement
  • Carrier free only
  • Hote
    • Rabbit
    • Mouse
  • Clonalité
    • Polyclonal
    • Monoclonal
  • Clone
    • 264C4a
  • Epitope
    • AA 285-314
    • C-Term
    • AA 284-314
    • N-Term
    • AA 190-320
    • AA 25-75
    • AA 276-325
    • AA 45-322
    • AA 59-108
    • AA 67-116
    • Center
  • Conjugué
    • Inconjugué
    • APC
    • Biotin
    • FITC
    • HRP
    • PE
  • Isotype
    • IgG
    • Ig Fraction
    • IgG2a
  • Format
    • Liquid
    • Lyophilized
  • Supplier
    • antibodies-online
    • Aviva Systems Biology
    • ProSci
    • Abbexa
    • Acris
    • Cohesion Biosciences
    • ProteoGenix
    • USBio

Pseudonymes pour LMAN2 Anticorps

lectin, mannose binding 2 (LMAN2) Anticorps
lectin, mannose-binding 2 (lman2) Anticorps
lectin, mannose-binding 2 (Lman2) Anticorps
1110003H06Rik Anticorps
1300009F09Rik Anticorps
AA408240 Anticorps
AL023023 Anticorps
AU040819 Anticorps
C5orf8 Anticorps
GP36B Anticorps
Lman2 Anticorps
VIP36 Anticorps
Vip36 Anticorps
wu:fb16f04 Anticorps
zgc:158761 Anticorps
Vous êtes ici:
Chat with us!