Tel:
+49 (0)241 95 163 153
Fax:
+49 (0)241 95 163 155
E-Mail:
orders@anticorps-enligne.fr

MRPL40 Anticorps

(Mitochondrial Ribosomal Protein L40 (MRPL40))

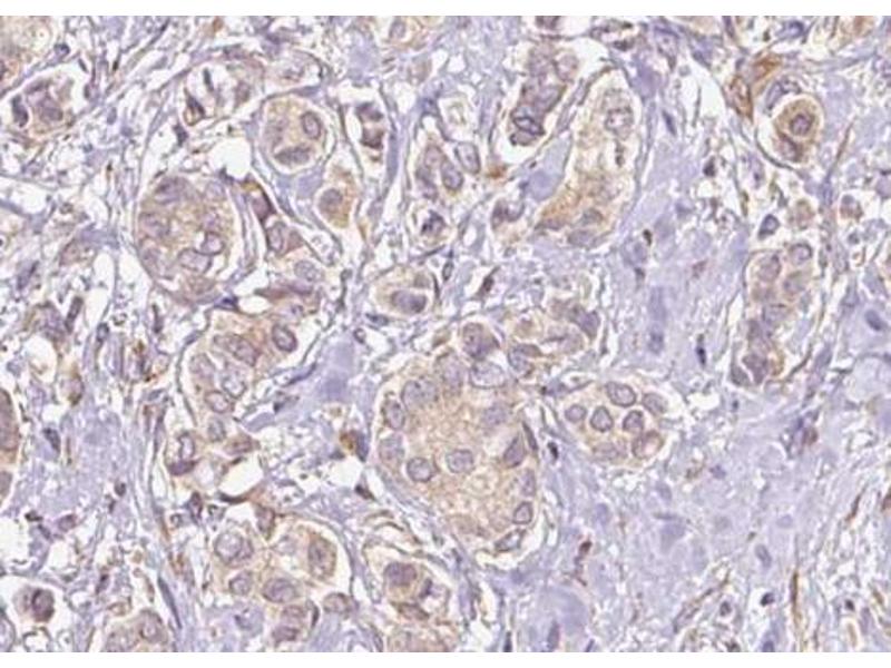
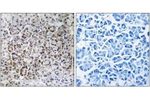
Choisissez l’un des 19 anticorps MRPL40 de notre liste de produits basés sur 12 images de validation.

Découvrez des anticorps MRPL40 fiables issus d’une large sélection de fabricants renommés. Notre portefeuille permet une détection précise de MRPL40 dans plusieurs espèces, y compris Human, Rat, Mouse, Guinea Pig, Horse, Rabbit, et prend en charge diverses applications de recherche telles que WB, ELISA, IHC, ICC, IF.

Trouvez rapidement l’anticorps adapté grâce à nos outils de recherche, de filtrage et de comparaison. Chaque page produit fournit des données de validation détaillées, des références bibliographiques et des retours d’utilisateurs. Contrairement aux ressources dédiées uniquement à la comparaison, vous pouvez acheter directement les anticorps sur notre site. Choisissez parmi des anticorps polyclonaux, monoclonaux ou recombinants MRPL40, issus de différents hôtes tels que Rabbit, Mouse. Parcourez nos produits ci-dessous et commandez directement pour soutenir vos recherches en toute confiance.

Les noms alternatifs de MRPL40 sont Mrpl40, mRpL40, MRPL40, mrpl40, mrpl40.S, LOC727014.

19 Résultats

MRPL40 Reactivité: Humain WB, ELISA, IHC Hôte: Lapin Polyclonal unconjugated
N° du produit ABIN7247570
449,00 €
Plus frais de livraison 40,00 € et TVA
200 μL (Autres quantités disponibles)
Destination: France
Envoi sous 9 à 13 jours ouvrables
 
MRPL40 Reactivité: Humain, Rat WB, ELISA, IHC, ICC, IF Hôte: Lapin Polyclonal unconjugated
N° du produit ABIN6258519
525,71 €
Plus frais de livraison 40,00 € et TVA
100 μL (Autres quantités disponibles)
Destination: France
Envoi sous 9 à 11 jours ouvrables
 
MRPL40 Reactivité: Humain WB Hôte: Lapin Polyclonal RB37341 unconjugated
N° du produit ABIN1536780
434,77 €
Plus frais de livraison 40,00 € et TVA
400 μL (Autres quantités disponibles)
Destination: France
Envoi sous 14 à 17 jours ouvrables
 
MRPL40 Reactivité: Humain WB Hôte: Souris Polyclonal unconjugated
N° du produit ABIN528758
651,20 €
Plus frais de livraison 40,00 € et TVA
50 μg
Destination: France
Envoi sous 8 à 9 jours ouvrables
 
MRPL40 Reactivité: Humain, Cobaye WB Hôte: Lapin Polyclonal unconjugated
N° du produit ABIN6747782
789,41 €
Plus frais de livraison 40,00 € et TVA
100 μL
Destination: France
Envoi sous 15 à 20 jours ouvrables
 
MRPL40 Reactivité: Humain WB, ELISA, IHC Hôte: Lapin Polyclonal unconjugated
N° du produit ABIN1534529
402,00 €
Plus frais de livraison 40,00 € et TVA
100 μL (Autres quantités disponibles)
Destination: France
Envoi sous 6 à 9 jours ouvrables
 
MRPL40 Reactivité: Humain, Rat, Souris WB, ELISA, IHC (p) Hôte: Lapin Polyclonal unconjugated
N° du produit ABIN7221358
623,62 €
Plus frais de livraison 40,00 € et TVA
100 μL (Autres quantités disponibles)
Destination: France
Envoi sous 10 à 14 jours ouvrables
 
MRPL40 Reactivité: Humain WB Hôte: Lapin Polyclonal unconjugated
N° du produit ABIN7465585
765,00 €
Plus frais de livraison 40,00 € et TVA
100 μL
Destination: France
Envoi sous 7 à 10 jours ouvrables
 
MRPL40 Reactivité: Humain, Rat, Souris WB, ELISA, IHC Hôte: Lapin Polyclonal unconjugated
N° du produit ABIN3185651
377,51 €
Plus frais de livraison 40,00 € et TVA
100 μL (Autres quantités disponibles)
Destination: France
Envoi sous 8 à 10 jours ouvrables
 
MRPL40 Reactivité: Humain WB Hôte: Souris Polyclonal unconjugated
N° du produit ABIN2584590
1.278,75 €
Plus frais de livraison 40,00 € et TVA
50 μg
Destination: France
Envoi sous 15 à 20 jours ouvrables
 
MRPL40 Reactivité: Humain WB, ELISA Hôte: Lapin Polyclonal unconjugated
N° du produit ABIN2584591
1.328,20 €
Plus frais de livraison 40,00 € et TVA
200 μL
Destination: France
Envoi sous 15 à 20 jours ouvrables
 
MRPL40 Reactivité: Humain WB Hôte: Lapin Polyclonal unconjugated
N° du produit ABIN1807338
734,86 €
Plus frais de livraison 40,00 € et TVA
400 μL
Destination: France
Envoi sous 15 à 20 jours ouvrables
 
MRPL40 Reactivité: Humain WB, ELISA Hôte: Lapin Polyclonal FITC
N° du produit ABIN1914747
1.708,41 €
Plus frais de livraison 40,00 € et TVA
200 μL
Destination: France
Envoi sous 15 à 20 jours ouvrables
 
MRPL40 Reactivité: Humain WB, ELISA Hôte: Lapin Polyclonal HRP
N° du produit ABIN1914749
1.708,41 €
Plus frais de livraison 40,00 € et TVA
200 μL
Destination: France
Envoi sous 15 à 20 jours ouvrables
 
MRPL40 Reactivité: Humain WB, ELISA Hôte: Lapin Polyclonal PE
N° du produit ABIN1914748
1.708,41 €
Plus frais de livraison 40,00 € et TVA
200 μL
Destination: France
Envoi sous 15 à 20 jours ouvrables
 
MRPL40 Reactivité: Humain WB, ELISA Hôte: Lapin Polyclonal Biotin
N° du produit ABIN1914746
1.708,41 €
Plus frais de livraison 40,00 € et TVA
200 μL
Destination: France
Envoi sous 15 à 20 jours ouvrables
 
MRPL40 Reactivité: Humain WB, ELISA Hôte: Lapin Polyclonal APC
N° du produit ABIN1914744
1.708,41 €
Plus frais de livraison 40,00 € et TVA
200 μL
Destination: France
Envoi sous 15 à 20 jours ouvrables
 
MRPL40 Reactivité: Humain WB, ELISA, IHC Hôte: Lapin Polyclonal unconjugated
N° du produit ABIN2884910
741,67 €
Plus frais de livraison 40,00 € et TVA
100 μL (Autres quantités disponibles)
Destination: France
Envoi sous 15 à 20 jours ouvrables
 
MRPL40 Reactivité: Humain, Rat, Souris, Cobaye, Cheval, Lapin WB Hôte: Lapin Polyclonal unconjugated
N° du produit ABIN2789157
534,11 €
Plus frais de livraison 40,00 € et TVA
100 μL (Autres quantités disponibles)
Destination: France
Envoi sous 6 à 9 jours ouvrables
 
  • Type Primary
    • Primary
  • Application
    • Western Blotting (WB)
    • ELISA
    • Immunohistochemistry (IHC)
    • Immunocytochemistry (ICC)
    • Immunofluorescence (IF)
    • Immunohistochemistry (Paraffin-embedded Sections) (IHC (p))
  • Réactivité
    • Human
    • Rat
    • Mouse
    • Guinea Pig
    • Horse
    • Rabbit
  • Images disponible
  • Sans conservateur uniquement
  • Carrier free only
  • Hote
    • Rabbit
    • Mouse
  • Clonalité
    • Polyclonal
  • Clone
    • RB37341
  • Epitope
    • AA 172-200
    • AA 90-139
    • C-Term
    • AA 1-206
    • AA 1-207
    • AA 101-150
    • AA 60-140
    • Internal Region
    • Middle Region
  • Conjugué
    • Inconjugué
    • APC
    • Biotin
    • FITC
    • HRP
    • PE
  • Isotype
    • IgG
    • Ig Fraction
  • Format
    • Liquid
    • Lyophilized
  • Supplier
    • antibodies-online
    • Assay Biotechnology Company, Inc.
    • Aviva Systems Biology

Dernières publications pour nos MRPL40 Anticorps

Li, Ryan, Deboer, Cook, Fitzgerald, Lachman, Wallace, Goldberg, Anderson: "Mitochondrial deficits in human iPSC-derived neurons from patients with 22q11.2 deletion syndrome and schizophrenia." dans: Translational psychiatry, Vol. 9, Issue 1, pp. 302, (2019) (PubMed).

Tappenden, Hwang, Yang, Thomas, Lapres: "The Aryl-Hydrocarbon Receptor Protein Interaction Network (AHR-PIN) as Identified by Tandem Affinity Purification (TAP) and Mass Spectrometry." dans: Journal of toxicology, Vol. 2013, pp. 279829, (2014) (PubMed).

Sotgia, Whitaker-Menezes, Martinez-Outschoorn, Salem, Tsirigos, Lamb, Sneddon, Hulit, Howell, Lisanti: "Mitochondria "fuel" breast cancer metabolism: fifteen markers of mitochondrial biogenesis label epithelial cancer cells, but are excluded from adjacent stromal cells." dans: Cell cycle (Georgetown, Tex.), Vol. 11, Issue 23, pp. 4390-401, (2012) (PubMed).

Pseudonymes pour MRPL40 Anticorps

mitochondrial ribosomal protein L40 (Mrpl40) Anticorps
mitochondrial ribosomal protein L40 (mRpL40) Anticorps
mitochondrial ribosomal protein L40 (MRPL40) Anticorps
mitochondrial ribosomal protein L40 (mrpl40) Anticorps
mitochondrial ribosomal protein L40 S homeolog (mrpl40.S) Anticorps
mitochondrial ribosomal protein L40-like (MRPL40) Anticorps
39S ribosomal protein L40, mitochondrial (LOC727014) Anticorps
mitochondrial 54S ribosomal protein YmL40 (MRPL40) Anticorps
mitochondrial ribosomal protein subunit L40 (predicted) (mrpl40) Anticorps
CG5242 Anticorps
Dmel\\CG5242 Anticorps
fj54c06 Anticorps
MRP-L22 Anticorps
MRPL22 Anticorps
MRPL22(24) Anticorps
mRpL22-24 Anticorps
Nlvcf Anticorps
NLVCF Anticorps
SPAC644.02 Anticorps
URIM Anticorps
wu:fj54c06 Anticorps
zgc:103495 Anticorps
Vous êtes ici:
Chat with us!