Tel:
+49 (0)241 95 163 153
Fax:
+49 (0)241 95 163 155
E-Mail:
orders@anticorps-enligne.fr

NOS2 Anticorps

(Nitric Oxide Synthase 2, Inducible (NOS2))

Choisissez l’un des 152 anticorps NOS2 de notre liste de produits basés sur 22 publications et 105 images de validation.

Découvrez des anticorps NOS2 fiables issus d’une large sélection de fabricants renommés. Notre portefeuille permet une détection précise de NOS2 dans plusieurs espèces, y compris Human, Mouse, Rat, Chicken, Cow, Dog, et prend en charge diverses applications de recherche telles que WB, ELISA, IHC, IP, FACS.

Trouvez rapidement l’anticorps adapté grâce à nos outils de recherche, de filtrage et de comparaison. Chaque page produit fournit des données de validation détaillées, des références bibliographiques et des retours d’utilisateurs. Contrairement aux ressources dédiées uniquement à la comparaison, vous pouvez acheter directement les anticorps sur notre site. Choisissez parmi des anticorps polyclonaux, monoclonaux ou recombinants NOS2, issus de différents hôtes tels que Rabbit, Mouse. Parcourez nos produits ci-dessous et commandez directement pour soutenir vos recherches en toute confiance.

Les noms alternatifs de NOS2 sont NOS2, Nos2, nos2, LOC396821, NANOS2.

152 Résultats

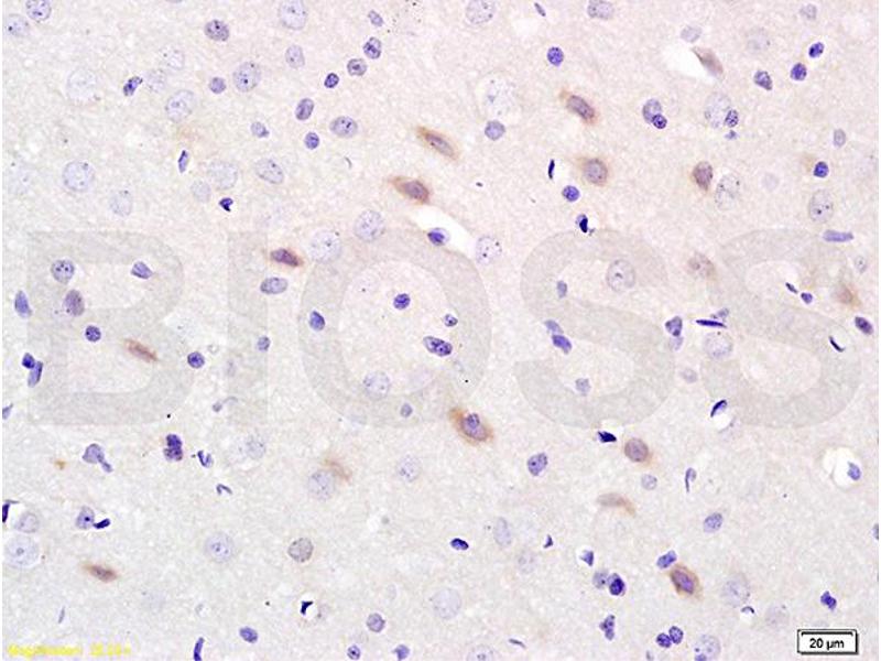
NOS2 Reactivité: Humain, Souris, Rat, Poulet WB, ELISA, IHC (p), FACS, IF (p), IF (cc), IHC (fro) Hôte: Lapin Polyclonal unconjugated
Pubmed 10 références
N° du produit ABIN677228
-15% Promotion 2026
304,04 €
357,70 €
Économisez 53,66 € (-15 %)
Plus frais de livraison 40,00 € et TVA
100 μL
Destination: France
Envoi sous 8 à 11 jours ouvrables
 
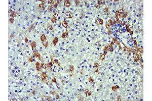
NOS2 Reactivité: Humain, Souris WB, IHC, ELISA, FACS Hôte: Souris Monoclonal 4E5 unconjugated
Pubmed 2 références
N° du produit ABIN969551
-15% Promotion 2026
559,16 €
657,84 €
Économisez 98,68 € (-15 %)
Plus frais de livraison 40,00 € et TVA
100 μL
Destination: France
Envoi sous 7 à 9 jours ouvrables
 
NOS2 Reactivité: Souris WB, IHC, IP, ICC Hôte: Lapin Polyclonal unconjugated
N° du produit ABIN7432715
-15% Promotion 2026
249,43 €
293,45 €
Économisez 44,02 € (-15 %)
Plus frais de livraison 40,00 € et TVA
100 μL (Autres quantités disponibles)
Destination: France
Envoi sous 11 à 15 jours ouvrables
 
NOS2 Reactivité: Rat WB, IHC, IP, ICC Hôte: Lapin Polyclonal unconjugated
N° du produit ABIN7432718
-15% Promotion 2026
259,16 €
304,89 €
Économisez 45,73 € (-15 %)
Plus frais de livraison 40,00 € et TVA
100 μL (Autres quantités disponibles)
Destination: France
Envoi sous 11 à 15 jours ouvrables
 
NOS2 Reactivité: Humain WB, IF, IHC (p), FACS Hôte: Lapin Polyclonal RB18210 unconjugated
N° du produit ABIN655717
-15% Promotion 2026
369,55 €
434,77 €
Économisez 65,22 € (-15 %)
Plus frais de livraison 40,00 € et TVA
400 μL (Autres quantités disponibles)
Destination: France
Envoi sous 14 à 16 jours ouvrables
 
NOS2 Reactivité: Humain, Souris, Rat WB, ELISA Hôte: Lapin Polyclonal unconjugated
N° du produit ABIN3185936
-15% Promotion 2026
320,88 €
377,51 €
Économisez 56,63 € (-15 %)
Plus frais de livraison 40,00 € et TVA
100 μL (Autres quantités disponibles)
Destination: France
Envoi sous 8 à 10 jours ouvrables
 
NOS2 Reactivité: Humain, Souris, Rat WB, IHC, ELISA, ICC, IF Hôte: Lapin Polyclonal unconjugated
N° du produit ABIN6262590
525,71 €
Plus frais de livraison 40,00 € et TVA
100 μL (Autres quantités disponibles)
Destination: France
Envoi sous 9 à 11 jours ouvrables
 
NOS2 Reactivité: Humain WB, IHC, IP, ICC Hôte: Lapin Polyclonal unconjugated
N° du produit ABIN7432712
-15% Promotion 2026
244,56 €
287,72 €
Économisez 43,16 € (-15 %)
Plus frais de livraison 40,00 € et TVA
100 μL (Autres quantités disponibles)
Destination: France
Envoi sous 11 à 15 jours ouvrables
 
NOS2 Reactivité: Humain WB Hôte: Souris Monoclonal C6 unconjugated
N° du produit ABIN7428719
-15% Promotion 2026
258,35 €
303,94 €
Économisez 45,59 € (-15 %)
Plus frais de livraison 40,00 € et TVA
100 μL (Autres quantités disponibles)
Destination: France
Envoi sous 11 à 15 jours ouvrables
 
NOS2 Reactivité: Humain, Souris, Rat, Poulet, Chien WB, IHC (p), IF (p) Hôte: Lapin Polyclonal unconjugated
N° du produit ABIN725675
-15% Promotion 2026
304,04 €
357,70 €
Économisez 53,66 € (-15 %)
Plus frais de livraison 40,00 € et TVA
100 μL
Destination: France
Envoi sous 12 à 16 jours ouvrables
 
NOS2 Reactivité: Souris WB, IHC, IP, IF Hôte: Souris Monoclonal 54-iNOS unconjugated
Pubmed 5 références
N° du produit ABIN967964
297,28 €
Plus frais de livraison 40,00 € et TVA
150 μg
Destination: France
Envoi sous 12 à 15 jours ouvrables
 
NOS2 Reactivité: Humain WB, IHC Hôte: Souris Monoclonal C1 unconjugated
N° du produit ABIN7426076
-15% Promotion 2026
255,92 €
301,08 €
Économisez 45,16 € (-15 %)
Plus frais de livraison 40,00 € et TVA
100 μL (Autres quantités disponibles)
Destination: France
Envoi sous 11 à 15 jours ouvrables
 
NOS2 Reactivité: Humain WB, ELISA, ICC, IF Hôte: Lapin Monoclonal ARC0832 unconjugated
N° du produit ABIN1678965
-15% Promotion 2026
280,50 €
330,00 €
Économisez 49,50 € (-15 %)
Plus frais de livraison 40,00 € et TVA
100 μg (Autres quantités disponibles)
Destination: France
Envoi sous 8 à 10 jours ouvrables
 
NOS2 Reactivité: Souris WB, IHC, IP, ICC Hôte: Lapin Polyclonal unconjugated
N° du produit ABIN1860032
227,00 €
Plus frais de livraison 40,00 € et TVA
100 μL (Autres quantités disponibles)
Destination: France
Envoi sous 11 à 15 jours ouvrables
 
NOS2 Reactivité: Humain WB, IHC, ELISA, IF Hôte: Lapin Polyclonal unconjugated
N° du produit ABIN7185235
-15% Promotion 2026
186,06 €
218,90 €
Économisez 32,84 € (-15 %)
Plus frais de livraison 40,00 € et TVA
100 μg (Autres quantités disponibles)
Destination: France
Envoi sous 11 à 15 jours ouvrables
 
NOS2 Reactivité: Souris WB, IHC, IP, ICC Hôte: Lapin Polyclonal unconjugated
N° du produit ABIN7438016
-15% Promotion 2026
249,43 €
293,45 €
Économisez 44,02 € (-15 %)
Plus frais de livraison 40,00 € et TVA
100 μL (Autres quantités disponibles)
Destination: France
Envoi sous 11 à 15 jours ouvrables
 
NOS2 Reactivité: Humain, Souris, Rat WB, IHC, ELISA Hôte: Lapin Polyclonal unconjugated
N° du produit ABIN6256645
525,71 €
Plus frais de livraison 40,00 € et TVA
100 μL (Autres quantités disponibles)
Destination: France
Envoi sous 9 à 11 jours ouvrables
 
NOS2 Reactivité: Humain WB, ELISA Hôte: Souris Monoclonal 2G4 unconjugated
N° du produit ABIN518393
-15% Promotion 2026
553,52 €
651,20 €
Économisez 97,68 € (-15 %)
Plus frais de livraison 40,00 € et TVA
100 μg
Destination: France
Envoi sous 8 à 9 jours ouvrables
 
NOS2 Reactivité: Rat WB, IHC, IP, ICC Hôte: Lapin Polyclonal unconjugated
N° du produit ABIN5014016
239,00 €
Plus frais de livraison 40,00 € et TVA
100 μL
Destination: France
Envoi sous 13 à 17 jours ouvrables
 
NOS2 Reactivité: Humain, Souris, Rat WB, IHC, IF, IC Hôte: Lapin Polyclonal unconjugated
N° du produit ABIN7296450
330,77 €
Plus frais de livraison 40,00 € et TVA
100 μL (Autres quantités disponibles)
Destination: France
Envoi sous 17 à 19 jours ouvrables
 
  • Type Primary
    • Primary
  • Application
    • Western Blotting (WB)
    • ELISA
    • Immunohistochemistry (IHC)
    • Immunoprecipitation (IP)
    • Flow Cytometry (FACS)
    • Immunocytochemistry (ICC)
    • Immunofluorescence (Paraffin-embedded Sections) (IF (p))
    • Immunofluorescence (Cultured Cells) (IF (cc))
    • Immunofluorescence (IF)
    • Immunohistochemistry (Paraffin-embedded Sections) (IHC (p))
    • Immunohistochemistry (Frozen Sections) (IHC (fro))
    • Immunofluorescence (fixed cells) (IF/ICC)
    • Immunochromatography (IC)
  • Réactivité
    • Human
    • Mouse
    • Rat
    • Chicken
    • Cow
    • Dog
  • Cité dans publications
  • Images disponible
  • Sans conservateur uniquement
  • Carrier free only
  • Hote
    • Rabbit
    • Mouse
  • Clonalité
    • Polyclonal
    • Monoclonal
  • Clone
    • ABS0156
    • C3
    • 2G4
    • 4E5
    • K13-A
    • 2-iNOS
    • 2H6B10
    • 54-iNOS
    • ARC0832
    • BLR181J
    • BLR188J
    • C1
    • C2
    • C6
    • IED-14
    • RB18210
  • Epitope
    • AA 1051-1153
    • AA 14-100
    • pTyr151
    • AA 108-138
    • C-Term
    • N-Term
    • AA 17-141
    • AA 3-24
    • AA 533-696
    • AA 734-966
    • AA 43-213
    • AA 526-659
    • AA 811-910
    • AA 868-909
    • AA 107-138
    • AA 117-166
    • AA 518-694
    • AA 685-794
    • AA 830-860
    • Tyr151
    • AA 1-200
    • AA 1-504
    • AA 1088-1126
    • AA 1094-1144
    • AA 1101-1150
    • AA 1103-1153
    • AA 1118-1129
    • AA 1131-1144
    • AA 115-304
    • AA 32-81
    • AA 40-1099
    • AA 530-693
    • AA 685-795
    • AA 772-787
    • AA 961-1144
    • AA 997-1058
    • Center
    • Internal Region
    • Thr177
    • Val1131
  • Conjugué
    • Inconjugué
    • Biotin
    • FITC
    • HRP
    • PE
    • APC
    • AbBy Fluor® 350
    • AbBy Fluor® 488
    • AbBy Fluor® 555
    • AbBy Fluor® 594
    • AbBy Fluor® 647
    • AbBy Fluor® 680
    • AbBy Fluor® 750
    • Alexa Fluor 488
    • Alexa Fluor 555
    • Alexa Fluor 594
    • Alexa Fluor 647
    • Alexa Fluor 680
    • Alexa Fluor 750
    • Cy3
    • Cy5
    • Cy5.5
    • Cy7
    • Magnetic Particles
    • Sepharose
    • Alexa Fluor 350
    • Alexa Fluor 405
    • PerCP
  • Isotype
    • IgG
    • IgG2a
    • kappa
    • IgG1
    • Ig Fraction
    • IgG1 kappa
    • IgG2a lambda
    • IgG2b kappa
    • IgG2a kappa
    • IgG2b
  • Type Proteine
    • Recombinant Antibody
  • Format
    • Liquid
    • Lyophilized
  • Supplier
    • antibodies-online
    • Signalway
    • USBio
    • ProteoGenix
    • Abbexa
    • Assay Biotechnology Company, Inc.
    • Biomatik
    • Cloud-Clone
    • BD Biosciences
    • Boster Bio
    • Cohesion Biosciences
    • Aviva Systems Biology
    • FabGennix
    • NSJ Bioreagents
    • ProSci

Dernières publications pour nos NOS2 Anticorps

Li, Hao, Wu, Ma, Xu, Li, Lan, Zhu, Ren, Fan, Sun: "Comparative Proteomic Analysis of Polarized Human THP-1 and Mouse RAW264.7 Macrophages." dans: Frontiers in immunology, Vol. 12, pp. 700009, (2021) (PubMed).

Zhang, Hou, Ji, Rao, Zhou, Gao, Mao, Zhou: "Persistent oppression and simple decompression both exacerbate spinal cord ascorbate levels." dans: International journal of medical sciences, Vol. 17, Issue 9, pp. 1167-1176, (2021) (PubMed).

Yang, Zhao, Zhu, Hu, Wang, Zang, Jin, Bi, Huang, Liu, Li, Yin, Li: "Tumor Temporal Proteome Profiling Reveals the Immunological Triple Offensive Induced by Synthetic Anti-Cancer Salmonella." dans: Frontiers in immunology, Vol. 12, pp. 712936, (2021) (PubMed).

Zhou, Xiao, Zhao, Tan, Long, Yu, He: "Enhanced Autolysosomal Function Ameliorates the Inflammatory Response Mediated by the NLRP3 Inflammasome in Alzheimer's Disease." dans: Frontiers in aging neuroscience, Vol. 13, pp. 629891, (2021) (PubMed).

Zhang, Wei, Xiang, Zhou, Chen, Li, Li, Xiong, Liu: "Semaphorin 4A acts in a feed-forward loop with NF-κB pathway to exacerbate catabolic effect of IL-1β on chondrocytes." dans: International immunopharmacology, Vol. 69, pp. 88-94, (2019) (PubMed).

Zhu, He, Verano, Brimmo, Glia, Qasaimeh, Chen, Aleman, Chen: "An integrated adipose-tissue-on-chip nanoplasmonic biosensing platform for investigating obesity-associated inflammation." dans: Lab on a chip, Vol. 18, Issue 23, pp. 3550-3560, (2019) (PubMed).

Zhang, Zhao, Zhu, Guo, Yang, Jiang, Liu: "Active vitamin D regulates macrophage M1/M2 phenotypes via the STAT-1-TREM-1 pathway in diabetic nephropathy." dans: Journal of cellular physiology, Vol. 234, Issue 5, pp. 6917-6926, (2019) (PubMed).

Yu, Park, Beyak: "Inducible nitric oxide synthase-derived nitric oxide reduces vagal satiety signalling in obese mice." dans: The Journal of physiology, Vol. 597, Issue 6, pp. 1487-1502, (2019) (PubMed).

Singh, Gobert, Coburn, Barry, Allaman, Asim, Luis, Schneider, Milne, Boone, Shilts, Washington, Das, Piazuelo, Wilson: "Dietary Arginine Regulates Severity of Experimental Colitis and Affects the Colonic Microbiome." dans: Frontiers in cellular and infection microbiology, Vol. 9, pp. 66, (2019) (PubMed).

Choi, Yeo, Kim, Choi, Jung, Han, Hong: "K284-6111 prevents the amyloid beta-induced neuroinflammation and impairment of recognition memory through inhibition of NF-κB-mediated CHI3L1 expression." dans: Journal of neuroinflammation, Vol. 15, Issue 1, pp. 224, (2019) (PubMed).

Pseudonymes pour NOS2 Anticorps

nitric oxide synthase 2 (NOS2) Anticorps
nitric oxide synthase 2, inducible (Nos2) Anticorps
nitric oxide synthase 2 (Nos2) Anticorps
inducible nitric oxide synthase (nos2) Anticorps
inducible nitric-oxide synthase (LOC396821) Anticorps
nanos C2HC-type zinc finger 2 (NANOS2) Anticorps
BmNOS2 Anticorps
HEP-NOS Anticorps
i-NOS Anticorps
INOS Anticorps
iNOS Anticorps
iNos Anticorps
NOS Anticorps
Nos-2 Anticorps
NOS-II Anticorps
NOS2 Anticorps
nos2 Anticorps
NOS2A Anticorps
Nos2a Anticorps
NOS2a Anticorps
Nsl Anticorps
Vous êtes ici:
Chat with us!