Tel:
+49 (0)241 95 163 153
Fax:
+49 (0)241 95 163 155
E-Mail:
orders@anticorps-enligne.fr

OR51L1 Anticorps

(Olfactory Receptor, Family 51, Subfamily L, Member 1 (OR51L1))

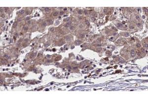
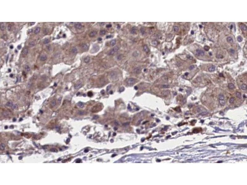
Choisissez l’un des 11 anticorps OR51L1 de notre liste de produits basés sur 4 images de validation.

Découvrez des anticorps OR51L1 fiables issus d’une large sélection de fabricants renommés. Notre portefeuille permet une détection précise de OR51L1 dans plusieurs espèces, y compris Human, et prend en charge diverses applications de recherche telles que WB, ELISA, EIA, IHC.

Trouvez rapidement l’anticorps adapté grâce à nos outils de recherche, de filtrage et de comparaison. Chaque page produit fournit des données de validation détaillées, des références bibliographiques et des retours d’utilisateurs. Contrairement aux ressources dédiées uniquement à la comparaison, vous pouvez acheter directement les anticorps sur notre site. Choisissez parmi des anticorps polyclonaux, monoclonaux ou recombinants OR51L1, issus de différents hôtes tels que Rabbit. Parcourez nos produits ci-dessous et commandez directement pour soutenir vos recherches en toute confiance.

Les noms alternatifs de OR51L1 sont OR51L1, cOR51R2.

11 Résultats

OR51L1 Reactivité: Humain WB, ELISA, IHC Hôte: Lapin Polyclonal unconjugated
N° du produit ABIN6259509
525,71 €
Plus frais de livraison 40,00 € et TVA
100 μL (Autres quantités disponibles)
Destination: France
Envoi sous 9 à 11 jours ouvrables
 
OR51L1 Reactivité: Humain WB Hôte: Lapin Polyclonal RB29987 unconjugated
N° du produit ABIN656211
434,77 €
Plus frais de livraison 40,00 € et TVA
400 μL (Autres quantités disponibles)
Destination: France
Envoi sous 14 à 17 jours ouvrables
 
OR51L1 Reactivité: Humain WB, ELISA Hôte: Lapin Polyclonal unconjugated
N° du produit ABIN2582009
1.328,20 €
Plus frais de livraison 40,00 € et TVA
200 μL
Destination: France
Envoi sous 15 à 20 jours ouvrables
 
OR51L1 Reactivité: Humain WB, ELISA Hôte: Lapin Polyclonal PE
N° du produit ABIN1920097
1.708,41 €
Plus frais de livraison 40,00 € et TVA
200 μL
Destination: France
Envoi sous 15 à 20 jours ouvrables
 
OR51L1 Reactivité: Humain WB, ELISA Hôte: Lapin Polyclonal Biotin
N° du produit ABIN1920095
1.708,41 €
Plus frais de livraison 40,00 € et TVA
200 μL
Destination: France
Envoi sous 15 à 20 jours ouvrables
 
OR51L1 Reactivité: Humain WB, ELISA Hôte: Lapin Polyclonal HRP
N° du produit ABIN1920098
1.708,41 €
Plus frais de livraison 40,00 € et TVA
200 μL
Destination: France
Envoi sous 15 à 20 jours ouvrables
 
OR51L1 Reactivité: Humain WB, ELISA Hôte: Lapin Polyclonal APC
N° du produit ABIN1920094
1.708,41 €
Plus frais de livraison 40,00 € et TVA
200 μL
Destination: France
Envoi sous 15 à 20 jours ouvrables
 
OR51L1 Reactivité: Humain WB, ELISA Hôte: Lapin Polyclonal FITC
N° du produit ABIN1920096
1.708,41 €
Plus frais de livraison 40,00 € et TVA
200 μL
Destination: France
Envoi sous 15 à 20 jours ouvrables
 
OR51L1 Reactivité: Humain WB Hôte: Lapin Polyclonal unconjugated
N° du produit ABIN1810703
734,86 €
Plus frais de livraison 40,00 € et TVA
400 μL
Destination: France
Envoi sous 15 à 20 jours ouvrables
 
OR51L1 Reactivité: Humain WB, EIA Hôte: Lapin Polyclonal unconjugated
N° du produit ABIN953871
870,77 €
Plus frais de livraison 40,00 € et TVA
0.4 mL
Destination: France
Envoi sous 17 jours ouvrables
 
OR51L1 Reactivité: Humain WB, ELISA Hôte: Lapin Polyclonal unconjugated
N° du produit ABIN2321742
948,75 €
Plus frais de livraison 40,00 € et TVA
200 μL
Destination: France
Envoi sous 15 à 22 jours ouvrables
 
  • Type Primary
    • Primary
  • Application
    • Western Blotting (WB)
    • ELISA
    • Enzyme Immunoassay (EIA)
    • Immunohistochemistry (IHC)
  • Réactivité
    • Human
  • Images disponible
  • Sans conservateur uniquement
  • Hote
    • Rabbit
  • Clonalité
    • Polyclonal
  • Clone
    • RB29987
  • Epitope
    • AA 1-30
    • N-Term
    • Internal Region
  • Conjugué
    • Inconjugué
    • APC
    • Biotin
    • FITC
    • HRP
    • PE
  • Isotype
    • IgG
    • Ig Fraction
  • Format
    • Liquid
  • Supplier
    • antibodies-online
    • Acris
    • USBio

Pseudonymes pour OR51L1 Anticorps

olfactory receptor family 51 subfamily L member 1 (OR51L1) Anticorps
cOR51R2 olfactory receptor family 51 subfamily R-like (cOR51R2) Anticorps
OR11-31 Anticorps
Vous êtes ici:
Chat with us!