Tel:
+49 (0)241 95 163 153
Fax:
+49 (0)241 95 163 155
E-Mail:
orders@anticorps-enligne.fr

PGK1 Anticorps

(Phosphoglycerate Kinase 1 (PGK1))

Choisissez l’un des 104 anticorps PGK1 de notre liste de produits basés sur 14 publications et 92 images de validation.

Découvrez des anticorps PGK1 fiables issus d’une large sélection de fabricants renommés. Notre portefeuille permet une détection précise de PGK1 dans plusieurs espèces, y compris Human, Mouse, Rat, Cow, Sheep, Dog, Guinea Pig, Horse, Rabbit, Zebrafish (Danio rerio), Monkey, Saccharomyces cerevisiae, Bat, Pig, Trypanosoma brucei, et prend en charge diverses applications de recherche telles que WB, IHC, ELISA, IF, ICC.

Trouvez rapidement l’anticorps adapté grâce à nos outils de recherche, de filtrage et de comparaison. Chaque page produit fournit des données de validation détaillées, des références bibliographiques et des retours d’utilisateurs. Contrairement aux ressources dédiées uniquement à la comparaison, vous pouvez acheter directement les anticorps sur notre site. Choisissez parmi des anticorps polyclonaux, monoclonaux ou recombinants PGK1, issus de différents hôtes tels que Rabbit, Mouse, Goat. Parcourez nos produits ci-dessous et commandez directement pour soutenir vos recherches en toute confiance.

Les noms alternatifs de PGK1 sont PGK1, Pgk1, pgk1, LOC100348124, pgk1.L.

104 Résultats

PGK1 Reactivité: Humain WB, IHC, IF, ICC Hôte: Lapin Polyclonal unconjugated
N° du produit ABIN7436240
310,62 €
Plus frais de livraison 40,00 € et TVA
100 μL (Autres quantités disponibles)
Destination: France
Envoi sous 11 à 15 jours ouvrables
 
PGK1 Reactivité: Humain WB, IF, IHC (p), FACS Hôte: Lapin Polyclonal RB05463 unconjugated
Pubmed 8 références
N° du produit ABIN391135
434,77 €
Plus frais de livraison 40,00 € et TVA
400 μL (Autres quantités disponibles)
Destination: France
Envoi sous 14 à 17 jours ouvrables
 
PGK1 Reactivité: Humain WB, IHC Hôte: Lapin Polyclonal unconjugated
N° du produit ABIN6145504
320,00 €
Plus frais de livraison 40,00 € et TVA
100 μL (Autres quantités disponibles)
Destination: France
Envoi sous 8 à 10 jours ouvrables
 
PGK1 Reactivité: Humain, Souris WB, IHC, ELISA, IF, FACS Hôte: Lapin Polyclonal unconjugated
N° du produit ABIN3032224
631,13 €
Plus frais de livraison 40,00 € et TVA
0.4 mL (Autres quantités disponibles)
Destination: France
Envoi sous 6 à 9 jours ouvrables
 
PGK1 Reactivité: Humain, Souris WB, IHC (p), FACS Hôte: Souris Monoclonal 1086CT10-2-1 unconjugated
N° du produit ABIN6242522
434,77 €
Plus frais de livraison 40,00 € et TVA
200 μL (Autres quantités disponibles)
Destination: France
Envoi sous 14 à 17 jours ouvrables
 
KD Validated PGK1 Reactivité: Humain WB, FACS, IF (p) Hôte: Souris Monoclonal 24GB2935 unconjugated
N° du produit ABIN7799809
598,92 €
Plus frais de livraison 40,00 € et TVA
100 μL
Destination: France
Envoi sous 7 à 10 jours ouvrables
 
PGK1 Reactivité: Humain, Souris, Rat WB, IHC, ELISA Hôte: Lapin Polyclonal unconjugated
N° du produit ABIN7236208
449,00 €
Plus frais de livraison 40,00 € et TVA
200 μL (Autres quantités disponibles)
Destination: France
Envoi sous 9 à 13 jours ouvrables
 
PGK1 Reactivité: Humain WB, IHC (p) Hôte: Lapin Polyclonal RB5517 unconjugated
Pubmed 1 reference
N° du produit ABIN391250
434,77 €
Plus frais de livraison 40,00 € et TVA
400 μL (Autres quantités disponibles)
Destination: France
Envoi sous 14 à 17 jours ouvrables
 
PGK1 Reactivité: Humain WB, ELISA Hôte: Souris Monoclonal 2H4 unconjugated
N° du produit ABIN518834
651,20 €
Plus frais de livraison 40,00 € et TVA
100 μg
Destination: France
Envoi sous 8 à 9 jours ouvrables
 
KD Validated PGK1 Reactivité: Humain WB, FACS Hôte: Lapin Monoclonal 23GB2430 unconjugated Recombinant Antibody
N° du produit ABIN7799810
598,92 €
Plus frais de livraison 40,00 € et TVA
100 μL
Destination: France
Envoi sous 7 à 10 jours ouvrables
 
PGK1 Reactivité: Humain, Souris, Rat WB, IF, ICC, FACS Hôte: Lapin Polyclonal unconjugated
N° du produit ABIN3043604
500,50 €
Plus frais de livraison 40,00 € et TVA
100 μg
Destination: France
Envoi sous 8 à 12 jours ouvrables
 
PGK1 Reactivité: Humain, Souris WB, IHC (p), FACS Hôte: Souris Monoclonal 6C1 unconjugated
N° du produit ABIN4912966
422,08 €
Plus frais de livraison 40,00 € et TVA
100 μL
Destination: France
Envoi sous 12 à 17 jours ouvrables
 
PGK1 Reactivité: Humain WB, ELISA Hôte: Souris Polyclonal unconjugated
N° du produit ABIN562195
508,80 €
Plus frais de livraison 40,00 € et TVA
50 μL
Destination: France
Envoi sous 8 à 9 jours ouvrables
 
PGK1 Reactivité: Humain WB, IHC Hôte: Lapin Polyclonal unconjugated
N° du produit ABIN629772
1.075,31 €
Plus frais de livraison 40,00 € et TVA
100 μg
Destination: France
Envoi sous 13 à 17 jours ouvrables
 
KO Validated PGK1 Reactivité: Humain WB, IHC (p) Hôte: Lapin Polyclonal unconjugated
N° du produit ABIN2854326
583,17 €
Plus frais de livraison 40,00 € et TVA
100 μL
Destination: France
Envoi sous 7 à 10 jours ouvrables
 
PGK1 Reactivité: Humain, Souris, Rat, Boeuf (Vache), Mouton, Chien, Cobaye, Cheval, Lapin, Singe, Roussette (Chauve-souris) WB, IHC, IHC (p) Hôte: Lapin Polyclonal unconjugated
N° du produit ABIN6747118
512,07 €
Plus frais de livraison 40,00 € et TVA
100 μL
Destination: France
Envoi sous 15 à 20 jours ouvrables
 
PGK1 Reactivité: Humain, Rat, Boeuf (Vache), Mouton, Chien, Lapin, Singe, Roussette (Chauve-souris) WB, IHC, IHC (p) Hôte: Lapin Polyclonal unconjugated
N° du produit ABIN321382
741,67 €
Plus frais de livraison 40,00 € et TVA
100 μL
Destination: France
Envoi sous 15 à 20 jours ouvrables
 
PGK1 Reactivité: Humain WB, ELISA, IF, ICC Hôte: Souris Monoclonal AT2F4 unconjugated
N° du produit ABIN5775966
642,31 €
Plus frais de livraison 40,00 € et TVA
100 μL (Autres quantités disponibles)
Destination: France
Envoi sous 10 à 13 jours ouvrables
 
PGK1 Reactivité: Humain, Souris WB, IF, IHC (p), FACS Hôte: Lapin Polyclonal unconjugated
N° du produit ABIN5531821
763,13 €
Plus frais de livraison 40,00 € et TVA
400 μL
Destination: France
Envoi sous 6 à 9 jours ouvrables
 
PGK1 Reactivité: Humain WB, IHC, ELISA Hôte: Lapin Polyclonal unconjugated
N° du produit ABIN3032223
631,13 €
Plus frais de livraison 40,00 € et TVA
0.4 mL (Autres quantités disponibles)
Destination: France
Envoi sous 6 à 9 jours ouvrables
 
  • Type Primary
    • Primary
  • Application
    • Western Blotting (WB)
    • Immunohistochemistry (IHC)
    • ELISA
    • Immunofluorescence (IF)
    • Immunocytochemistry (ICC)
    • Flow Cytometry (FACS)
    • Immunohistochemistry (Paraffin-embedded Sections) (IHC (p))
    • Enzyme Immunoassay (EIA)
    • Immunoprecipitation (IP)
    • Dot Blot (DB)
    • Immunodiffusion (ID)
    • Radioimmunoassay (RIA)
    • Immunofluorescence (Paraffin-embedded Sections) (IF (p))
    • Proximity Ligation Assay (PLA)
    • Immunofluorescence (fixed cells) (IF/ICC)
  • Réactivité
    • Human
    • Mouse
    • Rat
    • Cow
    • Sheep
    • Dog
    • Guinea Pig
    • Horse
    • Rabbit
    • Zebrafish (Danio rerio)
    • Monkey
    • Saccharomyces cerevisiae
    • Bat
    • Pig
    • Trypanosoma brucei
  • Cité dans publications
  • Images disponible
  • Sans conservateur uniquement
  • Carrier free only
  • Hote
    • Rabbit
    • Mouse
    • Goat
    • Sheep
  • Clonalité
    • Polyclonal
    • Monoclonal
  • Clone
    • S04-9H9
    • 2H4
    • 1086CT10-2-1
    • 23GB2430
    • 24GB2935
    • 6C1
    • AT2F4
    • EAB-16
    • R04-9H9
    • RB05463
    • RB5517
  • Epitope
    • AA 117-145
    • acLys388
    • AA 25-417
    • AA 305-334
    • AA 1-417
    • C-Term
    • Center
    • Middle Region
    • AA 166-180
    • AA 2-417
    • AA 321-417
    • Internal Region
    • N-Term
    • AA 102-151
    • AA 124-153
    • AA 138-337
    • AA 301-350
    • AA 312-337
    • AA 321-418
    • AA 57-308
  • Conjugué
    • Inconjugué
    • Biotin
    • Alexa Fluor 488
    • Alexa Fluor 555
    • Alexa Fluor 594
    • Alexa Fluor 647
    • Alexa Fluor 680
    • Alexa Fluor 750
    • FITC
    • HRP
    • APC
    • Alexa Fluor 350
    • Alexa Fluor 405
    • PE
  • Isotype
    • IgG
    • Ig Fraction
    • IgG1
    • IgG2a kappa
    • IgG2a
    • IgG1 kappa
  • Type Proteine
    • Recombinant Antibody
  • Format
    • Liquid
    • Lyophilized
  • Grade
    • KD Validated
    • KO Validated
    • KO Validated, KD Validated
    • Verified
  • Supplier
    • antibodies-online
    • Signalway
    • Acris
    • Boster Bio
    • Cohesion Biosciences
    • Enogene Biotech
    • Abbexa
    • Aviva Systems Biology
    • NSJ Bioreagents
    • USBio
    • Angio-Proteomie
    • Biospes
    • CUSABIO
    • Covalab
    • ProSci
    • ProteoGenix
    • RayBiotech

Dernières publications pour nos PGK1 Anticorps

Sienski, Narayan, Bonner, Kory, Boland, Arczewska, Ralvenius, Akay, Lockshin, He, Milo, Graziosi, Baru, Lewis, Kellis, Sabatini, Tsai, Lindquist: "APOE4 disrupts intracellular lipid homeostasis in human iPSC-derived glia." dans: Science translational medicine, Vol. 13, Issue 583, (2021) (PubMed).

Narayan, Sienski, Bonner, Lin, Seo, Baru, Haque, Milo, Akay, Graziosi, Freyzon, Landgraf, Hesse, Valastyan, Barrasa, Tsai, Lindquist: "PICALM Rescues Endocytic Defects Caused by the Alzheimer's Disease Risk Factor APOE4." dans: Cell reports, Vol. 33, Issue 1, pp. 108224, (2021) (PubMed).

Kayatekin, Amasino, Gaglia, Flannick, Bonner, Fanning, Narayan, Barrasa, Pincus, Landgraf, Nelson, Hesse, Costanzo, Myers, Boone, Florez, Lindquist: "Translocon Declogger Ste24 Protects against IAPP Oligomer-Induced Proteotoxicity." dans: Cell, Vol. 173, Issue 1, pp. 62-73.e9, (2019) (PubMed).

Yang, Geng, Wang, Zhou, Yang, Huo, Zhang, Li, He, Tian, Fang: "Extracellular ATP promotes breast cancer invasion and epithelial-mesenchymal transition via hypoxia-inducible factor 2α signaling." dans: Cancer science, Vol. 110, Issue 8, pp. 2456-2470, (2019) (PubMed).

Fanning, Haque, Imberdis, Baru, Barrasa, Nuber, Termine, Ramalingam, Ho, Noble, Sandoe, Lou, Landgraf, Freyzon, Newby, Soldner, Terry-Kantor, Kim, Hofbauer, Becuwe, Jaenisch, Pincus, Clish, Walther et al.: "Lipidomic Analysis of α-Synuclein Neurotoxicity Identifies Stearoyl CoA Desaturase as a Target for Parkinson Treatment. ..." dans: Molecular cell, Vol. 73, Issue 5, pp. 1001-1014.e8, (2019) (PubMed).

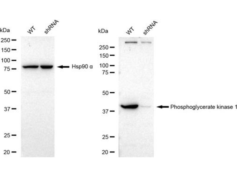
Zhang, Yu, Chu, Wang, Xiong, Cai, Liu, Gao, Tao, Li, Li, Liang, Yang: "Macrophage-Associated PGK1 Phosphorylation Promotes Aerobic Glycolysis and Tumorigenesis." dans: Molecular cell, Vol. 71, Issue 2, pp. 201-215.e7, (2018) (PubMed).

Newby, Kiriakov, Hallacli, Kayatekin, Tsvetkov, Mancuso, Bonner, Hesse, Chakrabortee, Manogaran, Liebman, Lindquist, Khalil: "A Genetic Tool to Track Protein Aggregates and Control Prion Inheritance." dans: Cell, Vol. 171, Issue 4, pp. 966-979.e18, (2017) (PubMed).

Khurana, Laskar, Bhattacharyya, Bhattacharyya: "Hsp90 induces increased genomic instability toward DNA-damaging agents by tuning down RAD53 transcription." dans: Molecular biology of the cell, Vol. 27, Issue 15, pp. 2463-78, (2016) (PubMed).

Chen, Liu, Wu, Sheu: "Antrodia cinnamomea Inhibits Migration in Human Hepatocellular Carcinoma Cells: The Role of ERp57 and PGK-1." dans: The American journal of Chinese medicine, Vol. 43, Issue 8, pp. 1671-96, (2016) (PubMed).

Ho, Morrison, Silva, Coomber: "The effect of 3-bromopyruvate on human colorectal cancer cells is dependent on glucose concentration but not hexokinase II expression." dans: Bioscience reports, Vol. 36, Issue 1, pp. e00299, (2016) (PubMed).

Pseudonymes pour PGK1 Anticorps

phosphoglycerate kinase 1 (PGK1) Anticorps
phosphoglycerate kinase 1 (Pgk1) Anticorps
phosphoglycerate kinase 1 (pgk1) Anticorps
phosphoglycerate kinase 1 (LOC100348124) Anticorps
phosphoglycerate kinase 1 L homeolog (pgk1.L) Anticorps
MIG10 Anticorps
Pgk Anticorps
PGK Anticorps
Pgk-1 Anticorps
PGK1 Anticorps
pgk2 Anticorps
PGKA Anticorps
pgka Anticorps
phosphoglycerate kinase 1 Anticorps
wu:fd59b07 Anticorps
wu:fj36g06 Anticorps
zgc:56252 Anticorps
zgc:77899 Anticorps
Vous êtes ici:
Chat with us!