Tel:
+49 (0)241 95 163 153
Fax:
+49 (0)241 95 163 155
E-Mail:
orders@anticorps-enligne.fr

Propionyl CoA Carboxylase, alpha Polypeptide Anticorps

(Propionyl CoA Carboxylase, alpha Polypeptide (PCCA))

Choisissez l’un des 33 anticorps PCCA de notre liste de produits basés sur 3 publications et 33 images de validation.

Découvrez des anticorps PCCA fiables issus d’une large sélection de fabricants renommés. Notre portefeuille permet une détection précise de PCCA dans plusieurs espèces, y compris Human, Mouse, Rat, Cow, Horse, Zebrafish (Danio rerio), Dog, Pig, Rabbit, Chicken, et prend en charge diverses applications de recherche telles que WB, IHC, ELISA, IHC (p), ICC.

Trouvez rapidement l’anticorps adapté grâce à nos outils de recherche, de filtrage et de comparaison. Chaque page produit fournit des données de validation détaillées, des références bibliographiques et des retours d’utilisateurs. Contrairement aux ressources dédiées uniquement à la comparaison, vous pouvez acheter directement les anticorps sur notre site. Choisissez parmi des anticorps polyclonaux, monoclonaux ou recombinants PCCA, issus de différents hôtes tels que Rabbit, Mouse. Parcourez nos produits ci-dessous et commandez directement pour soutenir vos recherches en toute confiance.

Les noms alternatifs de PCCA sont PCCA, Pcca, BMEI0800, pccA, NRI_0781, zc3h13, pcca, pcca.L.

33 Résultats

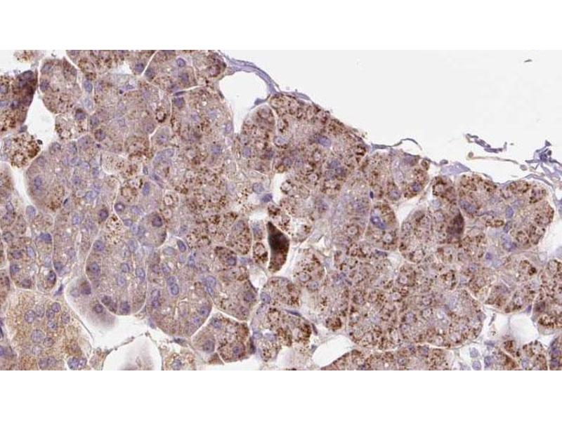
PCCA Reactivité: Humain, Rat WB, IHC (p) Hôte: Lapin Polyclonal RB31944 unconjugated
N° du produit ABIN656262
434,77 €
Plus frais de livraison 40,00 € et TVA
400 μL (Autres quantités disponibles)
Destination: France
Envoi sous 14 à 17 jours ouvrables
 
PCCA Reactivité: Humain WB Hôte: Souris Polyclonal unconjugated
Pubmed 2 références
N° du produit ABIN518660
651,20 €
Plus frais de livraison 40,00 € et TVA
50 μg
Destination: France
Envoi sous 8 à 9 jours ouvrables
 
PCCA Reactivité: Humain WB, IHC, ELISA Hôte: Lapin Polyclonal unconjugated
N° du produit ABIN7164812
328,90 €
Plus frais de livraison 40,00 € et TVA
100 μg (Autres quantités disponibles)
Destination: France
Envoi sous 11 à 15 jours ouvrables
 
PCCA Reactivité: Humain, Souris WB, IHC Hôte: Lapin Polyclonal unconjugated
N° du produit ABIN6264065
525,71 €
Plus frais de livraison 40,00 € et TVA
100 μL (Autres quantités disponibles)
Destination: France
Envoi sous 9 à 11 jours ouvrables
 
PCCA Reactivité: Humain, Souris WB, IHC (fp) Hôte: Lapin Polyclonal unconjugated
N° du produit ABIN7454579
543,23 €
Plus frais de livraison 40,00 € et TVA
100 μg (Autres quantités disponibles)
Destination: France
Envoi sous 7 à 10 jours ouvrables
 
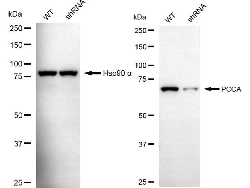
KD Validated PCCA Reactivité: Humain WB Hôte: Souris Monoclonal 25GB6905 unconjugated
N° du produit ABIN7799925
598,92 €
Plus frais de livraison 40,00 € et TVA
100 μL
Destination: France
Envoi sous 7 à 10 jours ouvrables
 
PCCA Reactivité: Humain WB, IHC, IP, ICC Hôte: Lapin Polyclonal unconjugated
N° du produit ABIN5014164
245,00 €
Plus frais de livraison 40,00 € et TVA
100 μL
Destination: France
Envoi sous 13 à 17 jours ouvrables
 
PCCA Reactivité: Humain, Souris, Rat, Boeuf (Vache), Cheval, Poisson zèbre (Danio rerio), Chien, Porc, Lapin WB, IHC Hôte: Lapin Polyclonal unconjugated
Pubmed 1 reference
N° du produit ABIN2777736
534,11 €
Plus frais de livraison 40,00 € et TVA
100 μL (Autres quantités disponibles)
Destination: France
Envoi sous 6 à 9 jours ouvrables
 
PCCA Reactivité: Souris, Rat WB Hôte: Lapin Polyclonal unconjugated
N° du produit ABIN7264805
580,00 €
Plus frais de livraison 40,00 € et TVA
200 μL (Autres quantités disponibles)
Destination: France
Envoi sous 9 à 13 jours ouvrables
 
PCCA Reactivité: Humain, Souris, Rat, Boeuf (Vache), Cheval, Poisson zèbre (Danio rerio), Chien, Porc, Poulet WB, IHC, IHC (p), IF Hôte: Lapin Polyclonal unconjugated
N° du produit ABIN2626600
610,95 €
Plus frais de livraison 40,00 € et TVA
50 μL
Destination: France
Envoi sous 15 à 20 jours ouvrables
 
PCCA Reactivité: Humain WB Hôte: Lapin Polyclonal unconjugated
N° du produit ABIN6145279
320,00 €
Plus frais de livraison 40,00 € et TVA
100 μL (Autres quantités disponibles)
Destination: France
Envoi sous 8 à 10 jours ouvrables
 
PCCA Reactivité: Humain, Souris, Boeuf (Vache), Cheval, Poisson zèbre (Danio rerio), Lapin WB Hôte: Lapin Polyclonal unconjugated
N° du produit ABIN6737708
789,41 €
Plus frais de livraison 40,00 € et TVA
100 μL
Destination: France
Envoi sous 15 à 20 jours ouvrables
 
PCCA Reactivité: Humain WB Hôte: Lapin Polyclonal unconjugated
N° du produit ABIN631082
1.218,13 €
Plus frais de livraison 40,00 € et TVA
100 μL
Destination: France
Envoi sous 13 à 17 jours ouvrables
 
PCCA Reactivité: Humain WB, EIA Hôte: Lapin Polyclonal unconjugated
N° du produit ABIN954025
870,77 €
Plus frais de livraison 40,00 € et TVA
0.4 mL
Destination: France
Envoi sous 17 jours ouvrables
 
PCCA Reactivité: Humain WB, IHC, ELISA Hôte: Lapin Polyclonal unconjugated
N° du produit ABIN7570899
527,38 €
Plus frais de livraison 40,00 € et TVA
100 μg
Destination: France
Envoi sous 10 à 13 jours ouvrables
 
PCCA Reactivité: Humain WB, IHC (p) Hôte: Lapin Polyclonal unconjugated
N° du produit ABIN7469540
765,00 €
Plus frais de livraison 40,00 € et TVA
100 μL
Destination: France
Envoi sous 7 à 10 jours ouvrables
 
PCCA Reactivité: Humain ELISA Hôte: Lapin Polyclonal HRP
N° du produit ABIN7164815
328,90 €
Plus frais de livraison 40,00 € et TVA
100 μg (Autres quantités disponibles)
Destination: France
Envoi sous 11 à 15 jours ouvrables
 
PCCA Reactivité: Humain ELISA Hôte: Lapin Polyclonal Biotin
N° du produit ABIN7164813
328,90 €
Plus frais de livraison 40,00 € et TVA
100 μg (Autres quantités disponibles)
Destination: France
Envoi sous 11 à 15 jours ouvrables
 
PCCA Reactivité: Humain Hôte: Lapin Polyclonal FITC
N° du produit ABIN7164814
328,90 €
Plus frais de livraison 40,00 € et TVA
100 μg (Autres quantités disponibles)
Destination: France
Envoi sous 11 à 15 jours ouvrables
 
PCCA Reactivité: Humain WB, IHC, IP, ICC Hôte: Lapin Polyclonal unconjugated
N° du produit ABIN7644909
310,62 €
Plus frais de livraison 40,00 € et TVA
100 μL (Autres quantités disponibles)
Destination: France
Envoi sous 11 à 15 jours ouvrables
 
  • Type Primary
    • Primary
  • Application
    • Western Blotting (WB)
    • Immunohistochemistry (IHC)
    • ELISA
    • Immunohistochemistry (Paraffin-embedded Sections) (IHC (p))
    • Immunocytochemistry (ICC)
    • Immunoprecipitation (IP)
    • Enzyme Immunoassay (EIA)
    • Flow Cytometry (FACS)
    • Immunofluorescence (IF)
    • Immunohistochemistry (Formalin-fixed Paraffin-embedded Sections) (IHC (fp))
  • Réactivité
    • Human
    • Mouse
    • Rat
    • Cow
    • Horse
    • Zebrafish (Danio rerio)
    • Dog
    • Pig
    • Rabbit
    • Chicken
  • Cité dans publications
  • Images disponible
  • Sans conservateur uniquement
  • Carrier free only
  • Hote
    • Rabbit
    • Mouse
  • Clonalité
    • Polyclonal
    • Monoclonal
  • Clone
    • 25GB6905
    • RB31944
  • Epitope
    • AA 362-390
    • AA 585-720
    • AA 1-703
    • AA 336-365
    • AA 580-728
    • AA 678-728
    • C-Term
    • N-Term
    • AA 38-87
    • AA 403-728
    • AA 449-728
    • Center
    • Internal Region
    • Middle Region
  • Conjugué
    • Inconjugué
    • FITC
    • Biotin
    • HRP
    • APC
    • PE
  • Isotype
    • IgG
    • Ig Fraction
    • IgG1
  • Format
    • Liquid
    • Lyophilized
  • Grade
    • KD Validated
  • Supplier
    • antibodies-online
    • Abbexa
    • USBio
    • Acris
    • Aviva Systems Biology
    • Boster Bio
    • Cloud-Clone
    • ProteoGenix

Dernières publications pour nos Propionyl CoA Carboxylase, alpha Polypeptide Anticorps

Majtan, Kraus: "Folding and activity of mutant cystathionine ?-synthase depends on the position and nature of the purification tag: characterization of the R266K CBS mutant." dans: Protein expression and purification, Vol. 82, Issue 2, pp. 317-24, (2012) (PubMed).

Rincón, Aguado, Desviat, Sánchez-Alcudia, Ugarte, Pérez: "Propionic and methylmalonic acidemia: antisense therapeutics for intronic variations causing aberrantly spliced messenger RNA." dans: American journal of human genetics, Vol. 81, Issue 6, pp. 1262-70, (2011) (PubMed).

Chandler, Chandrasekaran, Carrillo-Carrasco, Senac, Hofherr, Barry, Venditti: "Adeno-associated virus serotype 8 gene transfer rescues a neonatal lethal murine model of propionic acidemia." dans: Human gene therapy, Vol. 22, Issue 4, pp. 477-81, (2011) (PubMed).

Pseudonymes pour Propionyl CoA Carboxylase, alpha Polypeptide Anticorps

propionyl-CoA carboxylase alpha subunit (PCCA) Anticorps
propionyl-CoA carboxylase alpha subunit (Pcca) Anticorps
propionyl-COA carboxylase alpha chain, mitochondrial (BMEI0800) Anticorps
propionyl-CoA carboxylase alpha chain (pccA) Anticorps
propionyl-CoA carboxylase alpha chain (NRI_0781) Anticorps
zinc finger CCCH-type containing 13 (zc3h13) Anticorps
propionyl-Coenzyme A carboxylase, alpha polypeptide (Pcca) Anticorps
propionyl CoA carboxylase, alpha polypeptide (pcca) Anticorps
propionyl-CoA carboxylase alpha subunit L homeolog (pcca.L) Anticorps
C79630 Anticorps
pcca Anticorps
wu:fb92g02 Anticorps
zgc:66359 Anticorps
zgc:100925 Anticorps
Vous êtes ici:
Chat with us!