Tel:
+49 (0)241 95 163 153
Fax:
+49 (0)241 95 163 155
E-Mail:
orders@anticorps-enligne.fr

RNF5 Anticorps

(Ring Finger Protein 5, E3 Ubiquitin Protein Ligase (RNF5))

Choisissez l’un des 37 anticorps RNF5 de notre liste de produits basés sur 1 publication et 19 images de validation.

Découvrez des anticorps RNF5 fiables issus d’une large sélection de fabricants renommés. Notre portefeuille permet une détection précise de RNF5 dans plusieurs espèces, y compris Human, Mouse, Rat, Cow, Dog, Pig, Monkey, et prend en charge diverses applications de recherche telles que WB, ELISA, IHC, IHC (p), EIA.

Trouvez rapidement l’anticorps adapté grâce à nos outils de recherche, de filtrage et de comparaison. Chaque page produit fournit des données de validation détaillées, des références bibliographiques et des retours d’utilisateurs. Contrairement aux ressources dédiées uniquement à la comparaison, vous pouvez acheter directement les anticorps sur notre site. Choisissez parmi des anticorps polyclonaux, monoclonaux ou recombinants RNF5, issus de différents hôtes tels que Rabbit. Parcourez nos produits ci-dessous et commandez directement pour soutenir vos recherches en toute confiance.

Les noms alternatifs de RNF5 sont Rnf5, RNF5.

37 Résultats

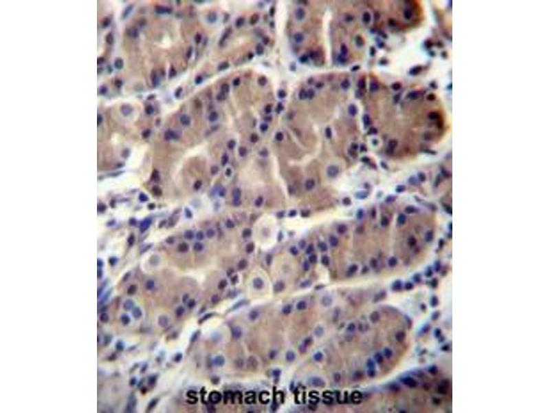
RNF5 Reactivité: Humain WB, ELISA, IHC, IF Hôte: Lapin Polyclonal unconjugated
N° du produit ABIN7151202
394,68 €
Plus frais de livraison 40,00 € et TVA
100 μL (Autres quantités disponibles)
Destination: France
Envoi sous 11 à 15 jours ouvrables
 
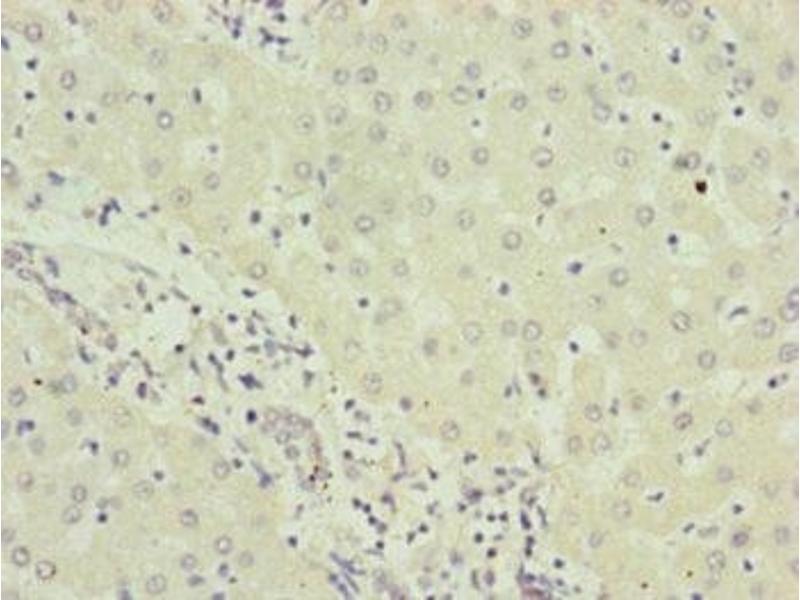
RNF5 Reactivité: Humain WB, IHC (p) Hôte: Lapin Polyclonal RB31124 unconjugated
Pubmed 1 reference
N° du produit ABIN656373
467,50 €
Plus frais de livraison 40,00 € et TVA
400 μL (Autres quantités disponibles)
Destination: France
Envoi sous 14 à 17 jours ouvrables
 
RNF5 Reactivité: Humain, Souris, Rat WB, ELISA, IHC Hôte: Lapin Polyclonal unconjugated
N° du produit ABIN7239422
538,80 €
Plus frais de livraison 40,00 € et TVA
200 μL (Autres quantités disponibles)
Destination: France
Envoi sous 9 à 13 jours ouvrables
 
RNF5 Reactivité: Humain WB Hôte: Lapin Polyclonal RB22891 unconjugated
N° du produit ABIN652548
467,50 €
Plus frais de livraison 40,00 € et TVA
400 μL (Autres quantités disponibles)
Destination: France
Envoi sous 14 à 17 jours ouvrables
 
RNF5 Reactivité: Humain, Souris, Rat, Boeuf (Vache), Chien, Porc, Singe WB Hôte: Lapin Polyclonal unconjugated
N° du produit ABIN6741432
832,33 €
Plus frais de livraison 40,00 € et TVA
100 μL
Destination: France
Envoi sous 15 à 20 jours ouvrables
 
RNF5 Reactivité: Humain, Souris, Rat, Boeuf (Vache), Chien, Porc WB Hôte: Lapin Polyclonal unconjugated
N° du produit ABIN929049
1.309,82 €
Plus frais de livraison 40,00 € et TVA
100 μL
Destination: France
Envoi sous 20 à 27 jours ouvrables
 
RNF5 Reactivité: Humain, Souris, Rat WB, ELISA Hôte: Lapin Polyclonal unconjugated
N° du produit ABIN6264790
630,85 €
Plus frais de livraison 40,00 € et TVA
100 μL (Autres quantités disponibles)
Destination: France
Envoi sous 9 à 11 jours ouvrables
 
RNF5 Reactivité: Humain WB, IP Hôte: Lapin Polyclonal unconjugated
N° du produit ABIN7449809
576,62 €
Plus frais de livraison 40,00 € et TVA
100 μg (Autres quantités disponibles)
Destination: France
Envoi sous 7 à 10 jours ouvrables
 
RNF5 Reactivité: Humain WB, IHC (p), EIA Hôte: Lapin Polyclonal unconjugated
N° du produit ABIN954576
1.132,01 €
Plus frais de livraison 40,00 € et TVA
0.4 mL
Destination: France
Envoi sous 17 jours ouvrables
 
RNF5 Reactivité: Humain WB, IHC (p) Hôte: Lapin Polyclonal unconjugated
N° du produit ABIN5533610
730,13 €
Plus frais de livraison 40,00 € et TVA
400 μL
Destination: France
Envoi sous 6 à 9 jours ouvrables
 
RNF5 Reactivité: Humain WB, ELISA Hôte: Lapin Polyclonal unconjugated
N° du produit ABIN2579148
1.428,17 €
Plus frais de livraison 40,00 € et TVA
200 μL
Destination: France
Envoi sous 15 à 20 jours ouvrables
 
RNF5 Reactivité: Humain, Souris, Rat, Boeuf (Vache), Chien, Porc WB, IP Hôte: Lapin Polyclonal unconjugated
N° du produit ABIN1930889
1.017,50 €
Plus frais de livraison 40,00 € et TVA
100 μL (Autres quantités disponibles)
Destination: France
Envoi sous 15 à 20 jours ouvrables
 
RNF5 Reactivité: Humain WB, ELISA, IHC Hôte: Lapin Polyclonal unconjugated
N° du produit ABIN2579147
1.428,17 €
Plus frais de livraison 40,00 € et TVA
200 μL
Destination: France
Envoi sous 15 à 20 jours ouvrables
 
RNF5 Reactivité: Humain WB, ELISA, IHC Hôte: Lapin Polyclonal FITC
N° du produit ABIN1930893
1.837,00 €
Plus frais de livraison 40,00 € et TVA
200 μL
Destination: France
Envoi sous 15 à 20 jours ouvrables
 
RNF5 Reactivité: Humain WB, ELISA, IHC Hôte: Lapin Polyclonal HRP
N° du produit ABIN1930895
1.837,00 €
Plus frais de livraison 40,00 € et TVA
200 μL
Destination: France
Envoi sous 15 à 20 jours ouvrables
 
RNF5 Reactivité: Humain WB, ELISA, IHC Hôte: Lapin Polyclonal APC
N° du produit ABIN1930890
1.837,00 €
Plus frais de livraison 40,00 € et TVA
200 μL
Destination: France
Envoi sous 15 à 20 jours ouvrables
 
RNF5 Reactivité: Humain WB, ELISA, IHC Hôte: Lapin Polyclonal PE
N° du produit ABIN1930894
1.837,00 €
Plus frais de livraison 40,00 € et TVA
200 μL
Destination: France
Envoi sous 15 à 20 jours ouvrables
 
RNF5 Reactivité: Humain WB, ELISA, IHC Hôte: Lapin Polyclonal Biotin
N° du produit ABIN1930892
1.837,00 €
Plus frais de livraison 40,00 € et TVA
200 μL
Destination: France
Envoi sous 15 à 20 jours ouvrables
 
RNF5 Reactivité: Humain WB, ELISA Hôte: Lapin Polyclonal Biotin
N° du produit ABIN1930898
1.837,00 €
Plus frais de livraison 40,00 € et TVA
200 μL
Destination: France
Envoi sous 15 à 20 jours ouvrables
 
RNF5 Reactivité: Humain WB, ELISA Hôte: Lapin Polyclonal FITC
N° du produit ABIN1930899
1.837,00 €
Plus frais de livraison 40,00 € et TVA
200 μL
Destination: France
Envoi sous 15 à 20 jours ouvrables
 
  • Type Primary
    • Primary
  • Application
    • Western Blotting (WB)
    • ELISA
    • Immunohistochemistry (IHC)
    • Immunohistochemistry (Paraffin-embedded Sections) (IHC (p))
    • Enzyme Immunoassay (EIA)
    • Immunoprecipitation (IP)
    • Immunofluorescence (IF)
    • Immunofluorescence (fixed cells) (IF/ICC)
  • Réactivité
    • Human
    • Mouse
    • Rat
    • Cow
    • Dog
    • Pig
    • Monkey
  • Cité dans publications
  • Images disponible
  • Sans conservateur uniquement
  • Carrier free only
  • Hote
    • Rabbit
  • Clonalité
    • Polyclonal
  • Clone
    • RB22891
    • RB31124
  • Epitope
    • AA 65-94
    • AA 1-30
    • N-Term
    • AA 1-120
    • AA 1-50
    • AA 64-94
    • Center
    • C-Term
    • Internal Region
    • Middle Region
  • Conjugué
    • Inconjugué
    • Biotin
    • APC
    • FITC
    • HRP
    • PE
    • Alexa Fluor 488
    • Alexa Fluor 555
    • Alexa Fluor 594
    • Alexa Fluor 647
    • Alexa Fluor 680
    • Alexa Fluor 750
  • Isotype
    • IgG
    • Ig Fraction
  • Format
    • Liquid
    • Lyophilized
  • Supplier
    • antibodies-online
    • Signalway
    • Acris
    • RayBiotech
    • USBio
    • Abbexa
    • ProSci

Dernières publications pour nos RNF5 Anticorps

Ernst, Shome, Wu, Gong, Frizzell, Aridor: "VAMP-associated Proteins (VAP) as Receptors That Couple Cystic Fibrosis Transmembrane Conductance Regulator (CFTR) Proteostasis with Lipid Homeostasis." dans: The Journal of biological chemistry, Vol. 291, Issue 10, pp. 5206-20, (2016) (PubMed).

Pseudonymes pour RNF5 Anticorps

ring finger protein 5 (Rnf5) Anticorps
ring finger protein 5 (RNF5) Anticorps
2410131O05Rik Anticorps
AA407576 Anticorps
NG2 Anticorps
RING5 Anticorps
RMA1 Anticorps
Vous êtes ici:
Chat with us!