Tel:
+49 (0)241 95 163 153
Fax:
+49 (0)241 95 163 155
E-Mail:
orders@anticorps-enligne.fr

SBDS Anticorps

(Shwachman-Bodian-Diamond Syndrome (SBDS))

Choisissez l’un des 38 anticorps SBDS de notre liste de produits basés sur 1 publication et 24 images de validation.

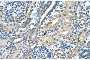
Découvrez des anticorps SBDS fiables issus d’une large sélection de fabricants renommés. Notre portefeuille permet une détection précise de SBDS dans plusieurs espèces, y compris Human, Mouse, Rat, Dog, Horse, Zebrafish (Danio rerio), Cow, Guinea Pig, Pig, Bat, Rabbit, et prend en charge diverses applications de recherche telles que WB, IHC, ELISA, IF, ICC.

Trouvez rapidement l’anticorps adapté grâce à nos outils de recherche, de filtrage et de comparaison. Chaque page produit fournit des données de validation détaillées, des références bibliographiques et des retours d’utilisateurs. Contrairement aux ressources dédiées uniquement à la comparaison, vous pouvez acheter directement les anticorps sur notre site. Choisissez parmi des anticorps polyclonaux, monoclonaux ou recombinants SBDS, issus de différents hôtes tels que Rabbit, Mouse. Parcourez nos produits ci-dessous et commandez directement pour soutenir vos recherches en toute confiance.

Les noms alternatifs de SBDS sont sbds, LOAG_04440, sbds.S, SBDS, Sbds.

38 Résultats

SBDS Reactivité: Humain WB Hôte: Lapin Polyclonal unconjugated
N° du produit ABIN6147402
-15% Promotion 2026
353,60 €
416,00 €
Économisez 62,40 € (-15 %)
Plus frais de livraison 40,00 € et TVA
100 μL (Autres quantités disponibles)
Destination: France
Envoi sous 8 à 10 jours ouvrables
 
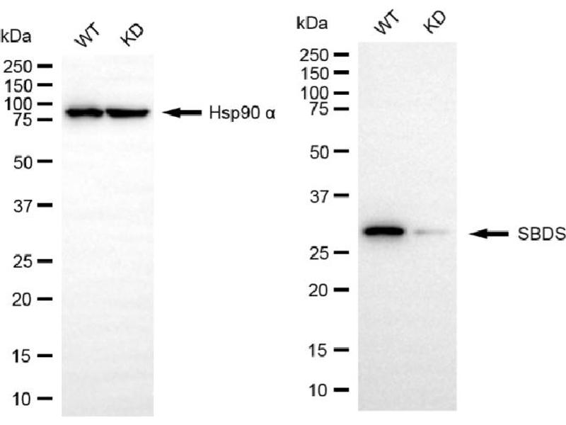
KD Validated SBDS Reactivité: Humain WB, FACS, IF (p) Hôte: Lapin Monoclonal 25GB3180 unconjugated Recombinant Antibody
N° du produit ABIN7800330
-15% Promotion 2026
509,08 €
598,92 €
Économisez 89,84 € (-15 %)
Plus frais de livraison 40,00 € et TVA
100 μL
Destination: France
Envoi sous 7 à 9 jours ouvrables
 
SBDS Reactivité: Humain ELISA, IHC, IF Hôte: Lapin Polyclonal unconjugated
N° du produit ABIN7168210
-15% Promotion 2026
335,48 €
394,68 €
Économisez 59,20 € (-15 %)
Plus frais de livraison 40,00 € et TVA
100 μg (Autres quantités disponibles)
Destination: France
Envoi sous 11 à 15 jours ouvrables
 
SBDS Reactivité: Humain WB, ELISA, IF, ICC Hôte: Souris Monoclonal AT1E8 unconjugated
N° du produit ABIN5775988
-15% Promotion 2026
545,96 €
642,31 €
Économisez 96,35 € (-15 %)
Plus frais de livraison 40,00 € et TVA
100 μL (Autres quantités disponibles)
Destination: France
Envoi sous 10 à 13 jours ouvrables
 
SBDS Reactivité: Humain, Souris, Rat, Chien, Cheval, Poisson zèbre (Danio rerio), Boeuf (Vache), Cobaye, Porc, Roussette (Chauve-souris) WB, IHC, IHC (p) Hôte: Lapin Polyclonal unconjugated
N° du produit ABIN205087
-15% Promotion 2026
677,87 €
797,50 €
Économisez 119,63 € (-15 %)
Plus frais de livraison 40,00 € et TVA
100 μL
Destination: France
Envoi sous 15 à 19 jours ouvrables
 
SBDS Reactivité: Humain, Souris, Rat, Chien WB, IHC Hôte: Lapin Polyclonal unconjugated
N° du produit ABIN629753
-15% Promotion 2026
1.277,66 €
1.503,13 €
Économisez 225,47 € (-15 %)
Plus frais de livraison 40,00 € et TVA
100 μg
Destination: France
Envoi sous 13 à 16 jours ouvrables
 
SBDS Reactivité: Humain, Chien WB, IHC Hôte: Lapin Polyclonal unconjugated
N° du produit ABIN629754
-15% Promotion 2026
1.277,66 €
1.503,13 €
Économisez 225,47 € (-15 %)
Plus frais de livraison 40,00 € et TVA
100 μg
Destination: France
Envoi sous 13 à 16 jours ouvrables
 
SBDS Reactivité: Humain, Souris, Rat, Chien, Cheval, Poisson zèbre (Danio rerio), Boeuf (Vache), Cobaye, Lapin WB, IHC Hôte: Lapin Polyclonal unconjugated
Pubmed 1 reference
N° du produit ABIN2782336
470,22 €
Plus frais de livraison 40,00 € et TVA
100 μL (Autres quantités disponibles)
Destination: France
Envoi sous 6 à 8 jours ouvrables
 
SBDS Reactivité: Humain WB Hôte: Lapin Monoclonal unconjugated
N° du produit ABIN7270289
-15% Promotion 2026
364,65 €
429,00 €
Économisez 64,35 € (-15 %)
Plus frais de livraison 40,00 € et TVA
100 μL (Autres quantités disponibles)
Destination: France
Envoi sous 8 à 10 jours ouvrables
 
SBDS Reactivité: Humain, Chien, Cheval, Poisson zèbre (Danio rerio), Porc, Roussette (Chauve-souris) WB, IHC Hôte: Lapin Polyclonal unconjugated
N° du produit ABIN205088
-15% Promotion 2026
677,87 €
797,50 €
Économisez 119,63 € (-15 %)
Plus frais de livraison 40,00 € et TVA
100 μL
Destination: France
Envoi sous 15 à 19 jours ouvrables
 
SBDS Reactivité: Humain, Souris, Rat, Chien, Cheval, Poisson zèbre (Danio rerio), Boeuf (Vache), Cobaye, Porc, Lapin WB, IHC Hôte: Lapin Polyclonal unconjugated
N° du produit ABIN2782337
470,22 €
Plus frais de livraison 40,00 € et TVA
100 μL (Autres quantités disponibles)
Destination: France
Envoi sous 6 à 8 jours ouvrables
 
SBDS Reactivité: Humain Hôte: Lapin Polyclonal FITC
N° du produit ABIN7168212
-15% Promotion 2026
335,48 €
394,68 €
Économisez 59,20 € (-15 %)
Plus frais de livraison 40,00 € et TVA
100 μg (Autres quantités disponibles)
Destination: France
Envoi sous 11 à 15 jours ouvrables
 
SBDS Reactivité: Humain ELISA Hôte: Lapin Polyclonal Biotin
N° du produit ABIN7168211
-15% Promotion 2026
335,48 €
394,68 €
Économisez 59,20 € (-15 %)
Plus frais de livraison 40,00 € et TVA
100 μg (Autres quantités disponibles)
Destination: France
Envoi sous 11 à 15 jours ouvrables
 
SBDS Reactivité: Humain ELISA Hôte: Lapin Polyclonal HRP
N° du produit ABIN7168213
-15% Promotion 2026
335,48 €
394,68 €
Économisez 59,20 € (-15 %)
Plus frais de livraison 40,00 € et TVA
100 μg (Autres quantités disponibles)
Destination: France
Envoi sous 11 à 15 jours ouvrables
 
SBDS Reactivité: Humain, Souris, Rat WB, ELISA, IHC, IF Hôte: Lapin Polyclonal unconjugated
N° du produit ABIN7119044
-15% Promotion 2026
422,13 €
496,62 €
Économisez 74,49 € (-15 %)
Plus frais de livraison 40,00 € et TVA
100 μg
Destination: France
Envoi sous 11 à 15 jours ouvrables
 
SBDS Reactivité: Humain WB, IP Hôte: Lapin Polyclonal unconjugated
N° du produit ABIN7450730
-15% Promotion 2026
490,13 €
576,62 €
Économisez 86,49 € (-15 %)
Plus frais de livraison 40,00 € et TVA
100 μg (Autres quantités disponibles)
Destination: France
Envoi sous 7 à 9 jours ouvrables
 
KO Validated SBDS Reactivité: Humain WB, IF, ICC, IP, IHC (p) Hôte: Lapin Polyclonal unconjugated
N° du produit ABIN7468968
-15% Promotion 2026
650,25 €
765,00 €
Économisez 114,75 € (-15 %)
Plus frais de livraison 40,00 € et TVA
100 μL
Destination: France
Envoi sous 7 à 9 jours ouvrables
 
SBDS Reactivité: Humain WB, IF, ICC, IP Hôte: Lapin Monoclonal R02-2G2R02-2G2 unconjugated Recombinant Antibody
N° du produit ABIN7541990
-15% Promotion 2026
969,65 €
1.140,76 €
Économisez 171,11 € (-15 %)
Plus frais de livraison 40,00 € et TVA
100 μL
Destination: France
Envoi sous 8 à 9 jours ouvrables
 
SBDS Reactivité: Humain WB, ELISA Hôte: Souris Monoclonal AT1E8 unconjugated
N° du produit ABIN2151158
-15% Promotion 2026
993,52 €
1.168,85 €
Économisez 175,33 € (-15 %)
Plus frais de livraison 40,00 € et TVA
50 μL
Destination: France
Envoi sous 13 à 16 jours ouvrables
 
SBDS Reactivité: Humain WB, EIA Hôte: Souris Monoclonal AT1E8 unconjugated
N° du produit ABIN1449399
843,99 €
Plus frais de livraison 40,00 € et TVA
0.1 mL (Autres quantités disponibles)
Destination: France
Envoi sous 17 jours ouvrables
 
  • Type Primary
    • Primary
  • Application
    • Western Blotting (WB)
    • Immunohistochemistry (IHC)
    • ELISA
    • Immunofluorescence (IF)
    • Immunocytochemistry (ICC)
    • Immunoprecipitation (IP)
    • Flow Cytometry (FACS)
    • Immunohistochemistry (Paraffin-embedded Sections) (IHC (p))
    • Enzyme Immunoassay (EIA)
    • Immunochromatography (IC)
    • Immunofluorescence (Paraffin-embedded Sections) (IF (p))
  • Réactivité
    • Human
    • Mouse
    • Rat
    • Dog
    • Horse
    • Zebrafish (Danio rerio)
    • Cow
    • Guinea Pig
    • Pig
    • Bat
    • Rabbit
  • Cité dans publications
  • Images disponible
  • Carrier free only
  • Hote
    • Rabbit
    • Mouse
  • Clonalité
    • Polyclonal
    • Monoclonal
  • Clone
    • AT1E8
    • 25GB3180
    • 26S97
    • R02-2G2R02-2G2
  • Epitope
    • AA 37-153
    • AA 1-250
    • C-Term
    • N-Term
    • AA 175-225
    • AA 19-241
    • AA 51-100
  • Conjugué
    • Inconjugué
    • Alexa Fluor 488
    • Alexa Fluor 555
    • Alexa Fluor 594
    • Alexa Fluor 647
    • Alexa Fluor 680
    • Alexa Fluor 750
    • Biotin
    • FITC
    • HRP
  • Isotype
    • IgG
    • IgG2b kappa
    • IgG2b
  • Type Proteine
    • Recombinant Antibody
  • Format
    • Liquid
    • Lyophilized
  • Grade
    • KD Validated
    • KO Validated
  • Supplier
    • antibodies-online
    • Signalway
    • Aviva Systems Biology
    • Boster Bio
    • Abbexa
    • Acris
    • Cohesion Biosciences
    • ProSci

Dernières publications pour nos SBDS Anticorps

Sezgin, Henson, Nihrane, Singh, Wattenberg, Alard, Ellis, Liu: "Impaired growth, hematopoietic colony formation, and ribosome maturation in human cells depleted of Shwachman-Diamond syndrome protein SBDS." dans: Pediatric blood & cancer, Vol. 60, Issue 2, pp. 281-6, (2012) (PubMed).

Pseudonymes pour SBDS Anticorps

SBDS ribosome assembly guanine nucleotide exchange factor (sbds) Anticorps
hypothetical protein (LOAG_04440) Anticorps
SBDS, ribosome maturation factor (sbds) Anticorps
SBDS ribosome assembly guanine nucleotide exchange factor S homeolog (sbds.S) Anticorps
SBDS ribosome assembly guanine nucleotide exchange factor (SBDS) Anticorps
SBDS, ribosome maturation factor (SBDS) Anticorps
SBDS, ribosome maturation factor (Sbds) Anticorps
SBDS ribosome maturation factor (Sbds) Anticorps
4733401P19Rik Anticorps
AI836084 Anticorps
cgi-97 Anticorps
CGI-97 Anticorps
sds Anticorps
SDS Anticorps
swds Anticorps
SWDS Anticorps
zgc:56700 Anticorps
Vous êtes ici:
Chat with us!