Tel:
+49 (0)241 95 163 153
Fax:
+49 (0)241 95 163 155
E-Mail:
orders@anticorps-enligne.fr

Septin 9 Anticorps

(Septin 9 (SEPT9))

Choisissez l’un des 32 anticorps Septin 9 de notre liste de produits basés sur 4 publications et 33 images de validation.

Découvrez des anticorps Septin 9 fiables issus d’une large sélection de fabricants renommés. Notre portefeuille permet une détection précise de Septin 9 dans plusieurs espèces, y compris Human, Mouse, Rat, Guinea Pig, Zebrafish (Danio rerio), Cow, Dog, Horse, Monkey, Rabbit, Chicken, Hamster, et prend en charge diverses applications de recherche telles que WB, IHC, IF, ELISA, IHC (p).

Trouvez rapidement l’anticorps adapté grâce à nos outils de recherche, de filtrage et de comparaison. Chaque page produit fournit des données de validation détaillées, des références bibliographiques et des retours d’utilisateurs. Contrairement aux ressources dédiées uniquement à la comparaison, vous pouvez acheter directement les anticorps sur notre site. Choisissez parmi des anticorps polyclonaux, monoclonaux ou recombinants Septin 9, issus de différents hôtes tels que Rabbit, Mouse. Parcourez nos produits ci-dessous et commandez directement pour soutenir vos recherches en toute confiance.

Les noms alternatifs de Septin 9 sont SEPT9, sept9, LOC100605286, sept9.S, Sept9, sept9a.

32 Résultats

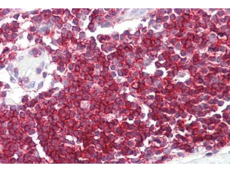
SEPT9 Reactivité: Humain WB, FACS, IHC (p) Hôte: Lapin Polyclonal RB1931 unconjugated
Pubmed 2 références
N° du produit ABIN390155
434,77 €
Plus frais de livraison 40,00 € et TVA
400 μL (Autres quantités disponibles)
Destination: France
Envoi sous 14 à 17 jours ouvrables
 
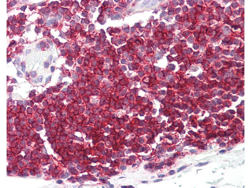
SEPT9 Reactivité: Humain, Souris WB, IHC, IF, ELISA, FACS Hôte: Lapin Polyclonal unconjugated
N° du produit ABIN7600104
500,50 €
Plus frais de livraison 40,00 € et TVA
100 μg
Destination: France
Envoi sous 8 à 12 jours ouvrables
 
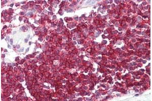
SEPT9 Reactivité: Humain WB, ELISA Hôte: Souris Polyclonal unconjugated
Pubmed 1 reference
N° du produit ABIN564709
508,80 €
Plus frais de livraison 40,00 € et TVA
50 μL
Destination: France
Envoi sous 8 à 9 jours ouvrables
 
SEPT9 Reactivité: Humain, Souris, Rat, Cobaye, Poisson zèbre (Danio rerio), Singe, Poulet, Hamster WB, IHC, IHC (p) Hôte: Lapin Polyclonal unconjugated
N° du produit ABIN6749752
512,07 €
Plus frais de livraison 40,00 € et TVA
100 μL
Destination: France
Envoi sous 15 à 20 jours ouvrables
 
SEPT9 Reactivité: Humain WB Hôte: Souris Polyclonal unconjugated
N° du produit ABIN524224
651,20 €
Plus frais de livraison 40,00 € et TVA
50 μg
Destination: France
Envoi sous 8 à 9 jours ouvrables
 
SEPT9 Reactivité: Humain WB, ELISA Hôte: Souris Monoclonal 2C6 unconjugated
N° du produit ABIN524225
651,20 €
Plus frais de livraison 40,00 € et TVA
100 μg
Destination: France
Envoi sous 8 à 9 jours ouvrables
 
SEPT9 Reactivité: Humain IHC, ELISA Hôte: Lapin Polyclonal unconjugated
N° du produit ABIN7131012
328,90 €
Plus frais de livraison 40,00 € et TVA
100 μL (Autres quantités disponibles)
Destination: France
Envoi sous 11 à 15 jours ouvrables
 
SEPT9 Reactivité: Humain WB, IF Hôte: Lapin Polyclonal unconjugated
N° du produit ABIN6147560
320,00 €
Plus frais de livraison 40,00 € et TVA
100 μL (Autres quantités disponibles)
Destination: France
Envoi sous 8 à 10 jours ouvrables
 
SEPT9 Reactivité: Humain, Souris, Rat IF Hôte: Lapin Polyclonal unconjugated
N° du produit ABIN7264674
580,00 €
Plus frais de livraison 40,00 € et TVA
200 μL (Autres quantités disponibles)
Destination: France
Envoi sous 9 à 13 jours ouvrables
 
SEPT9 Reactivité: Humain, Souris, Rat WB, IHC, IF, ICC Hôte: Lapin Polyclonal unconjugated
N° du produit ABIN6264995
525,71 €
Plus frais de livraison 40,00 € et TVA
100 μL (Autres quantités disponibles)
Destination: France
Envoi sous 9 à 11 jours ouvrables
 
SEPT9 Reactivité: Humain, Souris, Rat, Cobaye, Poisson zèbre (Danio rerio), Boeuf (Vache), Chien, Cheval, Lapin WB Hôte: Lapin Polyclonal unconjugated
Pubmed 1 reference
N° du produit ABIN2784607
534,11 €
Plus frais de livraison 40,00 € et TVA
100 μL (Autres quantités disponibles)
Destination: France
Envoi sous 6 à 9 jours ouvrables
 
SEPT9 Reactivité: Humain, Souris, Rat, Cobaye, Poisson zèbre (Danio rerio), Boeuf (Vache), Chien, Cheval, Lapin WB, IHC Hôte: Lapin Polyclonal unconjugated
N° du produit ABIN2773992
534,11 €
Plus frais de livraison 40,00 € et TVA
100 μL (Autres quantités disponibles)
Destination: France
Envoi sous 6 à 9 jours ouvrables
 
SEPT9 Reactivité: Humain WB, IHC, ELISA Hôte: Lapin Polyclonal unconjugated
N° du produit ABIN7571312
527,38 €
Plus frais de livraison 40,00 € et TVA
100 μg
Destination: France
Envoi sous 10 à 13 jours ouvrables
 
SEPT9 Reactivité: Humain WB, ELISA Hôte: Lapin Polyclonal unconjugated
N° du produit ABIN7231314
623,62 €
Plus frais de livraison 40,00 € et TVA
100 μL (Autres quantités disponibles)
Destination: France
Envoi sous 10 à 14 jours ouvrables
 
SEPT9 Reactivité: Humain IHC, IF (p) Hôte: Lapin Polyclonal unconjugated
N° du produit ABIN7449022
571,23 €
Plus frais de livraison 40,00 € et TVA
10 μg (Autres quantités disponibles)
Destination: France
Envoi sous 7 à 10 jours ouvrables
 
SEPT9 Reactivité: Humain WB, IP, IF (p) Hôte: Lapin Polyclonal unconjugated
N° du produit ABIN7453396
576,62 €
Plus frais de livraison 40,00 € et TVA
100 μg (Autres quantités disponibles)
Destination: France
Envoi sous 7 à 10 jours ouvrables
 
SEPT9 Reactivité: Humain WB, IP, IHC (fp) Hôte: Lapin Polyclonal unconjugated
N° du produit ABIN7453779
576,62 €
Plus frais de livraison 40,00 € et TVA
20 μg (Autres quantités disponibles)
Destination: France
Envoi sous 7 à 10 jours ouvrables
 
SEPT9 Reactivité: Humain WB, IHC, IF, IP, IHC (p) Hôte: Lapin Polyclonal unconjugated
N° du produit ABIN1933801
564,35 €
Plus frais de livraison 40,00 € et TVA
2 μg (Autres quantités disponibles)
Destination: France
Envoi sous 15 à 20 jours ouvrables
 
SEPT9 Reactivité: Humain IHC, IF, IP, IHC (p) Hôte: Lapin Polyclonal unconjugated
N° du produit ABIN1933808
946,27 €
Plus frais de livraison 40,00 € et TVA
100 μL (Autres quantités disponibles)
Destination: France
Envoi sous 15 à 20 jours ouvrables
 
SEPT9 Reactivité: Humain, Singe IHC, IF, IHC (p) Hôte: Lapin Polyclonal unconjugated
N° du produit ABIN1933809
976,96 €
Plus frais de livraison 40,00 € et TVA
10 μg (Autres quantités disponibles)
Destination: France
Envoi sous 15 à 20 jours ouvrables
 
  • Type Primary
    • Primary
  • Application
    • Western Blotting (WB)
    • Immunohistochemistry (IHC)
    • Immunofluorescence (IF)
    • ELISA
    • Immunohistochemistry (Paraffin-embedded Sections) (IHC (p))
    • Immunoprecipitation (IP)
    • Flow Cytometry (FACS)
    • Immunofluorescence (Paraffin-embedded Sections) (IF (p))
    • Immunocytochemistry (ICC)
    • Immunohistochemistry (Formalin-fixed Paraffin-embedded Sections) (IHC (fp))
  • Réactivité
    • Human
    • Mouse
    • Rat
    • Guinea Pig
    • Zebrafish (Danio rerio)
    • Cow
    • Dog
    • Horse
    • Monkey
    • Rabbit
    • Chicken
    • Hamster
  • Cité dans publications
  • Images disponible
  • Carrier free only
  • Hote
    • Rabbit
    • Mouse
  • Clonalité
    • Polyclonal
    • Monoclonal
  • Clone
    • 2C6
    • RB1931
  • Epitope
    • AA 536-586
    • C-Term
    • AA 1-568
    • AA 100-150
    • AA 26-125
    • AA 1-110
    • AA 15-282
    • AA 280-586
    • AA 57-85
    • Middle Region
    • N-Term
  • Conjugué
    • Inconjugué
    • Alexa Fluor 488
    • Alexa Fluor 555
    • Alexa Fluor 594
    • Alexa Fluor 647
    • Alexa Fluor 680
    • Alexa Fluor 750
    • Biotin
  • Isotype
    • IgG
    • Ig Fraction
    • IgG2a
  • Format
    • Liquid
    • Lyophilized
  • Supplier
    • antibodies-online
    • Signalway
    • Aviva Systems Biology
    • Abiocode
    • Boster Bio
    • ProteoGenix
    • USBio

Dernières publications pour nos Septin 9 Anticorps

Tóth, Wasserkort, Sipos, Kalmár, Wichmann, Leiszter, Valcz, Juhász, Miheller, Patai, Tulassay, Molnár: "Detection of methylated septin 9 in tissue and plasma of colorectal patients with neoplasia and the relationship to the amount of circulating cell-free DNA." dans: PLoS ONE, Vol. 9, Issue 12, pp. e115415, (2014) (PubMed).

Wasserkort, Kalmar, Valcz, Spisak, Krispin, Toth, Tulassay, Sledziewski, Molnar: "Aberrant septin 9 DNA methylation in colorectal cancer is restricted to a single CpG island." dans: BMC cancer, Vol. 13, pp. 398, (2013) (PubMed).

Tóth, Galamb, Spisák, Wichmann, Sipos, Valcz, Leiszter, Molnár, Tulassay: "The influence of methylated septin 9 gene on RNA and protein level in colorectal cancer." dans: Pathology oncology research : POR, Vol. 17, Issue 3, pp. 503-9, (2011) (PubMed).

Amir, Golan, Mabjeesh: "Targeted knockdown of SEPT9_v1 inhibits tumor growth and angiogenesis of human prostate cancer cells concomitant with disruption of hypoxia-inducible factor-1 pathway." dans: Molecular cancer research : MCR, Vol. 8, Issue 5, pp. 643-52, (2010) (PubMed).

Bennett, Romigh, Eng: "Disruption of transforming growth factor-beta signaling by five frequently methylated genes leads to head and neck squamous cell carcinoma pathogenesis." dans: Cancer research, Vol. 69, Issue 24, pp. 9301-5, (2009) (PubMed).

Sudo, Ito, Iwamoto, Morishita, Asano, Nagata: "SEPT9 sequence alternations causing hereditary neuralgic amyotrophy are associated with altered interactions with SEPT4/SEPT11 and resistance to Rho/Rhotekin-signaling." dans: Human mutation, Vol. 28, Issue 10, pp. 1005-13, (2007) (PubMed).

McIlhatton, Burrows, Donaghy, Chanduloy, Johnston, Russell: "Genomic organization, complex splicing pattern and expression of a human septin gene on chromosome 17q25.3." dans: Oncogene, Vol. 20, Issue 41, pp. 5930-9, (2001) (PubMed).

Russell, McIlhatton, Burrows, Donaghy, Chanduloy, Petty, Kalikin, Church, McIlroy, Harkin, Keilty, Cranston, Weissenbach, Hickey, Johnston: "Isolation and mapping of a human septin gene to a region on chromosome 17q, commonly deleted in sporadic epithelial ovarian tumors." dans: Cancer research, Vol. 60, Issue 17, pp. 4729-34, (2000) (PubMed).

Pseudonymes pour Septin 9 Anticorps

septin 9 (SEPT9) Anticorps
septin 9 (sept9) Anticorps
septin-9 (LOC100605286) Anticorps
septin 9 S homeolog (sept9.S) Anticorps
septin 9 (Sept9) Anticorps
septin 9a (sept9a) Anticorps
af17q25 Anticorps
AF17q25 Anticorps
cb999 Anticorps
Eseptin Anticorps
fb02h06 Anticorps
msf Anticorps
MSF Anticorps
Msf Anticorps
msf1 Anticorps
MSF1 Anticorps
napb Anticorps
NAPB Anticorps
pnutl4 Anticorps
PNUTL4 Anticorps
SEPT9 Anticorps
sept9 Anticorps
septd1 Anticorps
SeptD1 Anticorps
septin-9 Anticorps
sint1 Anticorps
SINT1 Anticorps
Sint1 Anticorps
Slpa Anticorps
wu:fb02h06 Anticorps
Vous êtes ici:
Chat with us!