Tel:
+49 (0)241 95 163 153
Fax:
+49 (0)241 95 163 155
E-Mail:
orders@anticorps-enligne.fr

SMPD2 Anticorps

(Sphingomyelin phosphodiesterase 2, Neutral Membrane (Neutral Sphingomyelinase) (SMPD2))

Choisissez l’un des 38 anticorps SMPD2 de notre liste de produits basés sur 2 publications et 22 images de validation.

Découvrez des anticorps SMPD2 fiables issus d’une large sélection de fabricants renommés. Notre portefeuille permet une détection précise de SMPD2 dans plusieurs espèces, y compris Human, Mouse, Rat, Cow, Dog, Horse, Guinea Pig, Pig, Rabbit, et prend en charge diverses applications de recherche telles que WB, IHC, ELISA, ICC, IP.

Trouvez rapidement l’anticorps adapté grâce à nos outils de recherche, de filtrage et de comparaison. Chaque page produit fournit des données de validation détaillées, des références bibliographiques et des retours d’utilisateurs. Contrairement aux ressources dédiées uniquement à la comparaison, vous pouvez acheter directement les anticorps sur notre site. Choisissez parmi des anticorps polyclonaux, monoclonaux ou recombinants SMPD2, issus de différents hôtes tels que Rabbit, Mouse. Parcourez nos produits ci-dessous et commandez directement pour soutenir vos recherches en toute confiance.

Les noms alternatifs de SMPD2 sont SMPD2, smpd2a, smpd2, Smpd2.

38 Résultats

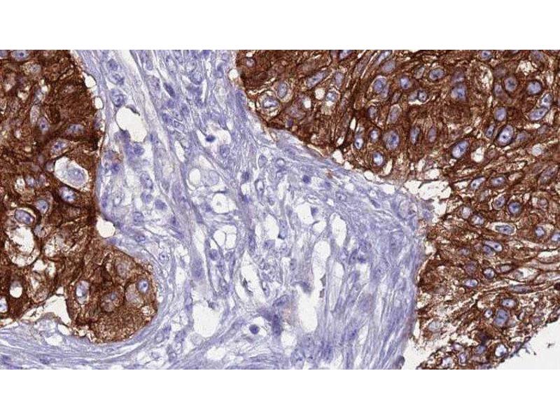
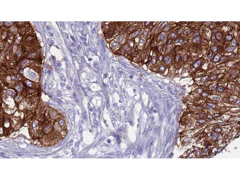
SMPD2 Reactivité: Humain WB, ELISA, IHC (p) Hôte: Souris Monoclonal 2C9 unconjugated
Pubmed 1 reference
N° du produit ABIN562924
-15% Promotion 2026
553,52 €
651,20 €
Économisez 97,68 € (-15 %)
Plus frais de livraison 40,00 € et TVA
50 μg
Destination: France
Envoi sous 8 à 9 jours ouvrables
 
SMPD2 Reactivité: Humain IHC, ELISA, IF Hôte: Lapin Polyclonal unconjugated
N° du produit ABIN7170553
-15% Promotion 2026
279,56 €
328,90 €
Économisez 49,34 € (-15 %)
Plus frais de livraison 40,00 € et TVA
100 μg (Autres quantités disponibles)
Destination: France
Envoi sous 11 à 15 jours ouvrables
 
SMPD2 Reactivité: Humain, Souris WB, FACS Hôte: Lapin Polyclonal RB17400 unconjugated
N° du produit ABIN650737
-15% Promotion 2026
369,55 €
434,77 €
Économisez 65,22 € (-15 %)
Plus frais de livraison 40,00 € et TVA
400 μL (Autres quantités disponibles)
Destination: France
Envoi sous 14 à 16 jours ouvrables
 
SMPD2 Reactivité: Humain WB, IHC Hôte: Lapin Polyclonal unconjugated
N° du produit ABIN3021605
-15% Promotion 2026
272,00 €
320,00 €
Économisez 48,00 € (-15 %)
Plus frais de livraison 40,00 € et TVA
100 μL (Autres quantités disponibles)
Destination: France
Envoi sous 8 à 10 jours ouvrables
 
SMPD2 Reactivité: Humain, Rat, Souris WB, IHC, ELISA Hôte: Lapin Polyclonal unconjugated
N° du produit ABIN7247153
-15% Promotion 2026
381,65 €
449,00 €
Économisez 67,35 € (-15 %)
Plus frais de livraison 40,00 € et TVA
200 μL (Autres quantités disponibles)
Destination: France
Envoi sous 9 à 13 jours ouvrables
 
SMPD2 Reactivité: Humain, Rat, Souris WB, IHC, ELISA, ICC, IF Hôte: Lapin Polyclonal unconjugated
N° du produit ABIN6265192
-15% Promotion 2026
446,85 €
525,71 €
Économisez 78,86 € (-15 %)
Plus frais de livraison 40,00 € et TVA
100 μL (Autres quantités disponibles)
Destination: France
Envoi sous 9 à 11 jours ouvrables
 
SMPD2 Reactivité: Humain WB, FACS Hôte: Lapin Monoclonal 25GB285 unconjugated Recombinant Antibody
N° du produit ABIN7800421
-15% Promotion 2026
335,16 €
394,31 €
Économisez 59,15 € (-15 %)
Plus frais de livraison 40,00 € et TVA
100 μL
Destination: France
Envoi sous 7 à 9 jours ouvrables
 
SMPD2 Reactivité: Humain, Souris, Chien, Boeuf (Vache), Cheval, Porc WB Hôte: Lapin Polyclonal unconjugated
N° du produit ABIN205079
-15% Promotion 2026
630,42 €
741,67 €
Économisez 111,25 € (-15 %)
Plus frais de livraison 40,00 € et TVA
100 μL
Destination: France
Envoi sous 15 à 19 jours ouvrables
 
SMPD2 Reactivité: Humain WB, IHC, ICC, IP Hôte: Lapin Polyclonal unconjugated
N° du produit ABIN1860065
245,00 €
Plus frais de livraison 40,00 € et TVA
100 μL (Autres quantités disponibles)
Destination: France
Envoi sous 11 à 15 jours ouvrables
 
SMPD2 Reactivité: Rat WB, IHC, ICC, IP Hôte: Lapin Polyclonal unconjugated
N° du produit ABIN1869554
266,00 €
Plus frais de livraison 40,00 € et TVA
100 μL (Autres quantités disponibles)
Destination: France
Envoi sous 11 à 15 jours ouvrables
 
SMPD2 Reactivité: Humain, Rat, Souris, Chien, Boeuf (Vache), Cheval, Cobaye, Lapin WB Hôte: Lapin Polyclonal unconjugated
Pubmed 1 reference
N° du produit ABIN2782209
470,22 €
Plus frais de livraison 40,00 € et TVA
100 μL (Autres quantités disponibles)
Destination: France
Envoi sous 6 à 8 jours ouvrables
 
SMPD2 Reactivité: Humain WB, IHC, ICC, IP Hôte: Lapin Polyclonal unconjugated
N° du produit ABIN7646539
-15% Promotion 2026
264,03 €
310,62 €
Économisez 46,59 € (-15 %)
Plus frais de livraison 40,00 € et TVA
100 μL (Autres quantités disponibles)
Destination: France
Envoi sous 11 à 15 jours ouvrables
 
SMPD2 Reactivité: Humain Hôte: Lapin Polyclonal FITC
N° du produit ABIN7170555
-15% Promotion 2026
279,56 €
328,90 €
Économisez 49,34 € (-15 %)
Plus frais de livraison 40,00 € et TVA
100 μg (Autres quantités disponibles)
Destination: France
Envoi sous 11 à 15 jours ouvrables
 
SMPD2 Reactivité: Humain ELISA Hôte: Lapin Polyclonal HRP
N° du produit ABIN7170556
-15% Promotion 2026
279,56 €
328,90 €
Économisez 49,34 € (-15 %)
Plus frais de livraison 40,00 € et TVA
100 μg (Autres quantités disponibles)
Destination: France
Envoi sous 11 à 15 jours ouvrables
 
SMPD2 Reactivité: Humain ELISA Hôte: Lapin Polyclonal Biotin
N° du produit ABIN7170554
-15% Promotion 2026
279,56 €
328,90 €
Économisez 49,34 € (-15 %)
Plus frais de livraison 40,00 € et TVA
100 μg (Autres quantités disponibles)
Destination: France
Envoi sous 11 à 15 jours ouvrables
 
SMPD2 Reactivité: Rat WB, IHC, ICC, IP Hôte: Lapin Polyclonal unconjugated
N° du produit ABIN7646540
-15% Promotion 2026
281,05 €
330,65 €
Économisez 49,60 € (-15 %)
Plus frais de livraison 40,00 € et TVA
100 μL (Autres quantités disponibles)
Destination: France
Envoi sous 11 à 15 jours ouvrables
 
SMPD2 Reactivité: Humain WB, IHC, ICC Hôte: Lapin Polyclonal Biotin
N° du produit ABIN7694503
-15% Promotion 2026
378,34 €
445,11 €
Économisez 66,77 € (-15 %)
Plus frais de livraison 40,00 € et TVA
200 μL (Autres quantités disponibles)
Destination: France
Envoi sous 11 à 15 jours ouvrables
 
SMPD2 Reactivité: Humain WB, IHC, ELISA Hôte: Lapin Polyclonal unconjugated
N° du produit ABIN7571506
-15% Promotion 2026
448,27 €
527,38 €
Économisez 79,11 € (-15 %)
Plus frais de livraison 40,00 € et TVA
100 μg
Destination: France
Envoi sous 10 à 13 jours ouvrables
 
SMPD2 Reactivité: Humain WB, IHC, ICC, IF Hôte: Lapin Polyclonal FITC
N° du produit ABIN7693956
-15% Promotion 2026
462,66 €
544,31 €
Économisez 81,65 € (-15 %)
Plus frais de livraison 40,00 € et TVA
200 μL (Autres quantités disponibles)
Destination: France
Envoi sous 11 à 15 jours ouvrables
 
SMPD2 Reactivité: Humain ELISA Hôte: Souris Monoclonal 4A10 unconjugated
N° du produit ABIN948484
-15% Promotion 2026
553,52 €
651,20 €
Économisez 97,68 € (-15 %)
Plus frais de livraison 40,00 € et TVA
100 μg
Destination: France
Envoi sous 8 à 9 jours ouvrables
 
  • Type Primary
    • Primary
  • Application
    • Western Blotting (WB)
    • Immunohistochemistry (IHC)
    • ELISA
    • Immunocytochemistry (ICC)
    • Immunoprecipitation (IP)
    • Flow Cytometry (FACS)
    • Immunofluorescence (IF)
    • Immunofluorescence (fixed cells) (IF/ICC)
    • Immunohistochemistry (Paraffin-embedded Sections) (IHC (p))
    • Immunochromatography (IC)
  • Réactivité
    • Human
    • Mouse
    • Rat
    • Cow
    • Dog
    • Horse
    • Guinea Pig
    • Pig
    • Rabbit
  • Cité dans publications
  • Images disponible
  • Carrier free only
  • Hote
    • Rabbit
    • Mouse
  • Clonalité
    • Polyclonal
    • Monoclonal
  • Clone
    • 2C9
    • 25GB285
    • 4A10
    • RB17400
  • Epitope
    • AA 199-301
    • AA 2-236
    • N-Term
    • AA 1-423
    • AA 9-35
    • AA 1-236
    • AA 1-324
    • AA 1-424
    • AA 15-44
    • AA 150-250
    • AA 60-109
    • Internal Region
  • Conjugué
    • Inconjugué
    • Biotin
    • FITC
    • Alexa Fluor 488
    • Alexa Fluor 555
    • Alexa Fluor 594
    • Alexa Fluor 647
    • Alexa Fluor 680
    • Alexa Fluor 750
    • HRP
  • Isotype
    • IgG
    • Ig Fraction
    • IgG1
    • IgG3
    • IgG3 kappa
  • Type Proteine
    • Recombinant Antibody
  • Format
    • Liquid
    • Lyophilized
  • Supplier
    • antibodies-online
    • Signalway
    • Abbexa
    • Cloud-Clone
    • USBio
    • Aviva Systems Biology
    • ProteoGenix

Dernières publications pour nos SMPD2 Anticorps

Wang, Zhu, Zhang, Wen, Yin, Jia: "Integrated analysis of proteomics and metabolomics reveals the potential sex determination mechanism in Odontobutis potamophila." dans: Journal of proteomics, Vol. 208, pp. 103482, (2019) (PubMed).

Lee, Tan, Venkatratnam, Tan, Cui, Loh, Griffith, Tannenbaum, Chan: "Dysregulated sphingolipid metabolism in endometriosis." dans: The Journal of clinical endocrinology and metabolism, Vol. 99, Issue 10, pp. E1913-21, (2014) (PubMed).

Lazrek, Goffard, Schanen, Karquel, Bocket, Lion, Devaux, Hedouin, Gosset, Hober: "Detection of hepatitis C virus antibodies and RNA among medicolegal autopsy cases in Northern France." dans: Diagnostic microbiology and infectious disease, Vol. 55, Issue 1, pp. 55-8, (2006) (PubMed).

Pseudonymes pour SMPD2 Anticorps

sphingomyelin phosphodiesterase 2 (SMPD2) Anticorps
sphingomyelin phosphodiesterase 2a, neutral membrane (neutral sphingomyelinase) (smpd2a) Anticorps
sphingomyelin phosphodiesterase 2 (smpd2) Anticorps
sphingomyelin phosphodiesterase 2, neutral membrane (neutral sphingomyelinase) (SMPD2) Anticorps
sphingomyelin phosphodiesterase 2, neutral (Smpd2) Anticorps
sphingomyelin phosphodiesterase 2 (Smpd2) Anticorps
AW108287 Anticorps
isc1 Anticorps
ISC1 Anticorps
NSMase Anticorps
nsmase Anticorps
nSMase Anticorps
NSMASE Anticorps
nsmase1 Anticorps
nSMase1 Anticorps
NSMASE1 Anticorps
SMPD2 Anticorps
Vous êtes ici:
Chat with us!