Tel:
+49 (0)241 95 163 153
Fax:
+49 (0)241 95 163 155
E-Mail:
orders@anticorps-enligne.fr

WSB2 Anticorps

(WD Repeat and SOCS Box Containing 2 (WSB2))

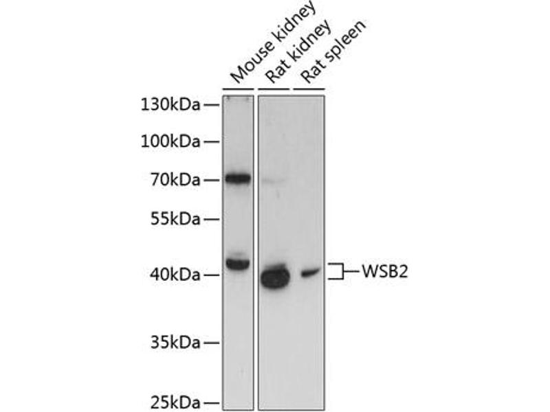
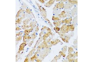
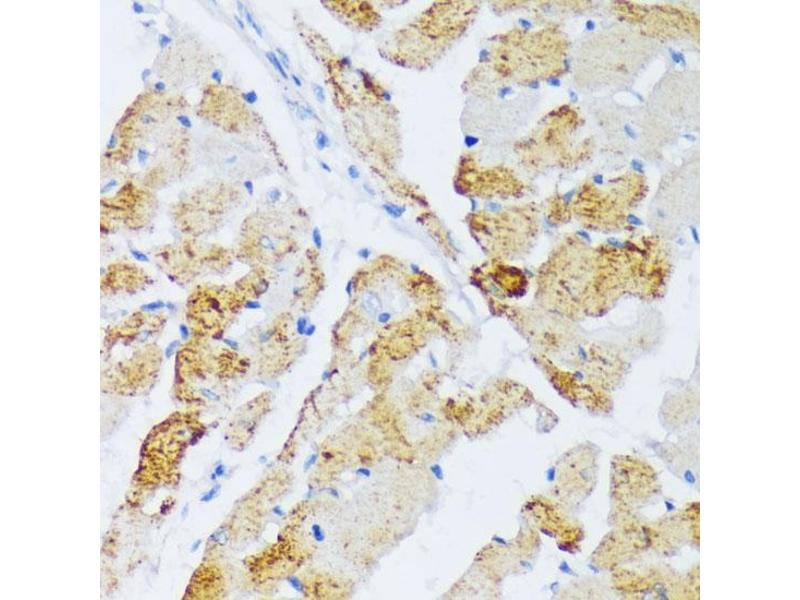
Choisissez l’un des 15 anticorps WSB2 de notre liste de produits basés sur 3 images de validation.

Découvrez des anticorps WSB2 fiables issus d’une large sélection de fabricants renommés. Notre portefeuille permet une détection précise de WSB2 dans plusieurs espèces, y compris Human, Mouse, Rat, et prend en charge diverses applications de recherche telles que WB, ELISA, EIA, IF (cc), IF.

Trouvez rapidement l’anticorps adapté grâce à nos outils de recherche, de filtrage et de comparaison. Chaque page produit fournit des données de validation détaillées, des références bibliographiques et des retours d’utilisateurs. Contrairement aux ressources dédiées uniquement à la comparaison, vous pouvez acheter directement les anticorps sur notre site. Choisissez parmi des anticorps polyclonaux, monoclonaux ou recombinants WSB2, issus de différents hôtes tels que Rabbit, Mouse. Parcourez nos produits ci-dessous et commandez directement pour soutenir vos recherches en toute confiance.

Les noms alternatifs de WSB2 sont WSB2, Wsb2.

15 Résultats

WSB2 Reactivité: Humain WB, ELISA Hôte: Souris Polyclonal unconjugated
N° du produit ABIN565945
508,80 €
Plus frais de livraison 40,00 € et TVA
50 μL
Destination: France
Envoi sous 8 à 9 jours ouvrables
 
WSB2 Reactivité: Humain WB Hôte: Lapin Polyclonal RB19968 unconjugated
N° du produit ABIN390837
434,77 €
Plus frais de livraison 40,00 € et TVA
400 μL (Autres quantités disponibles)
Destination: France
Envoi sous 14 à 17 jours ouvrables
 
WSB2 Reactivité: Humain WB, ELISA, IF (cc), IF (p), IHC (fro), IHC (p) Hôte: Lapin Polyclonal unconjugated
N° du produit ABIN720895
357,70 €
Plus frais de livraison 40,00 € et TVA
100 μL
Destination: France
Envoi sous 8 à 12 jours ouvrables
 
WSB2 Reactivité: Humain, Souris WB Hôte: Lapin Polyclonal unconjugated
N° du produit ABIN1809060
734,86 €
Plus frais de livraison 40,00 € et TVA
400 μL
Destination: France
Envoi sous 15 à 20 jours ouvrables
 
WSB2 Reactivité: Humain, Souris, Rat WB, ELISA, IHC, IP, IF Hôte: Lapin Polyclonal unconjugated
N° du produit ABIN7120808
393,85 €
Plus frais de livraison 40,00 € et TVA
100 μg
Destination: France
Envoi sous 11 à 15 jours ouvrables
 
WSB2 Reactivité: Humain, Souris WB, EIA Hôte: Lapin Polyclonal unconjugated
N° du produit ABIN453467
870,77 €
Plus frais de livraison 40,00 € et TVA
0.4 mL
Destination: France
Envoi sous 17 jours ouvrables
 
WSB2 Reactivité: Humain WB, ELISA Hôte: Lapin Polyclonal unconjugated
N° du produit ABIN2390370
948,75 €
Plus frais de livraison 40,00 € et TVA
200 μL
Destination: France
Envoi sous 15 à 22 jours ouvrables
 
WSB2 Reactivité: Humain Hôte: Lapin Polyclonal Alexa Fluor 555
N° du produit ABIN6898214
543,40 €
Plus frais de livraison 40,00 € et TVA
100 μL
Destination: France
Envoi sous 10 à 14 jours ouvrables
 
WSB2 Reactivité: Humain Hôte: Lapin Polyclonal Biotin
N° du produit ABIN6882151
543,40 €
Plus frais de livraison 40,00 € et TVA
100 μL
Destination: France
Envoi sous 10 à 14 jours ouvrables
 
WSB2 Reactivité: Humain Hôte: Lapin Polyclonal Alexa Fluor 680
N° du produit ABIN6914277
543,40 €
Plus frais de livraison 40,00 € et TVA
100 μL
Destination: France
Envoi sous 10 à 14 jours ouvrables
 
WSB2 Reactivité: Humain Hôte: Lapin Polyclonal Alexa Fluor 647
N° du produit ABIN6850025
543,40 €
Plus frais de livraison 40,00 € et TVA
100 μL
Destination: France
Envoi sous 10 à 14 jours ouvrables
 
WSB2 Reactivité: Humain Hôte: Lapin Polyclonal Alexa Fluor 750
N° du produit ABIN6866088
543,40 €
Plus frais de livraison 40,00 € et TVA
100 μL
Destination: France
Envoi sous 10 à 14 jours ouvrables
 
WSB2 Reactivité: Humain Hôte: Lapin Polyclonal Alexa Fluor 594
N° du produit ABIN6841898
543,40 €
Plus frais de livraison 40,00 € et TVA
100 μL
Destination: France
Envoi sous 10 à 14 jours ouvrables
 
WSB2 Reactivité: Humain Hôte: Lapin Polyclonal Alexa Fluor 488
N° du produit ABIN6825835
543,40 €
Plus frais de livraison 40,00 € et TVA
100 μL
Destination: France
Envoi sous 10 à 14 jours ouvrables
 
WSB2 Reactivité: Humain WB Hôte: Lapin Polyclonal unconjugated
N° du produit ABIN7846471
480,77 €
Plus frais de livraison 40,00 € et TVA
200 μL
Destination: France
Envoi sous 8 à 10 jours ouvrables
 
  • Type Primary
    • Primary
  • Application
    • Western Blotting (WB)
    • ELISA
    • Enzyme Immunoassay (EIA)
    • Immunofluorescence (Cultured Cells) (IF (cc))
    • Immunofluorescence (IF)
    • Immunofluorescence (Paraffin-embedded Sections) (IF (p))
    • Immunohistochemistry (Frozen Sections) (IHC (fro))
    • Immunohistochemistry (IHC)
    • Immunohistochemistry (Paraffin-embedded Sections) (IHC (p))
    • Immunoprecipitation (IP)
  • Réactivité
    • Human
    • Mouse
    • Rat
  • Images disponible
  • Carrier free only
  • Hote
    • Rabbit
    • Mouse
  • Clonalité
    • Polyclonal
  • Clone
    • RB19968
  • Epitope
    • C-Term
    • AA 375-404
    • AA 1-105
    • AA 51-150
  • Conjugué
    • Inconjugué
    • Alexa Fluor 488
    • Alexa Fluor 555
    • Alexa Fluor 594
    • Alexa Fluor 647
    • Alexa Fluor 680
    • Alexa Fluor 750
    • Biotin
  • Isotype
    • IgG
    • Ig Fraction
  • Format
    • Liquid
  • Supplier
    • Signalway
    • antibodies-online
    • Acris
    • Cohesion Biosciences
    • USBio

Pseudonymes pour WSB2 Anticorps

WD repeat and SOCS box containing 2 (WSB2) Anticorps
WD repeat and SOCS box-containing 2 (Wsb2) Anticorps
AA673511 Anticorps
SBA2 Anticorps
Swip2 Anticorps
WSB-2 Anticorps
Vous êtes ici:
Chat with us!