Tel:
+49 (0)241 95 163 153
Fax:
+49 (0)241 95 163 155
E-Mail:
orders@anticorps-enligne.fr

XAB2 Anticorps

(XPA Binding Protein 2 (XAB2))

Choisissez l’un des 55 anticorps XAB2 de notre liste de produits basés sur 1 publication et 25 images de validation.

Découvrez des anticorps XAB2 fiables issus d’une large sélection de fabricants renommés. Notre portefeuille permet une détection précise de XAB2 dans plusieurs espèces, y compris Human, Mouse, Rat, Cow, Dog, Rabbit, Guinea Pig, Horse, Pig, Drosophila melanogaster, Hamster, Monkey, Saccharomyces cerevisiae, et prend en charge diverses applications de recherche telles que WB, ELISA, IF (cc), IF (p), IHC (p).

Trouvez rapidement l’anticorps adapté grâce à nos outils de recherche, de filtrage et de comparaison. Chaque page produit fournit des données de validation détaillées, des références bibliographiques et des retours d’utilisateurs. Contrairement aux ressources dédiées uniquement à la comparaison, vous pouvez acheter directement les anticorps sur notre site. Choisissez parmi des anticorps polyclonaux, monoclonaux ou recombinants XAB2, issus de différents hôtes tels que Rabbit, Mouse, Goat. Parcourez nos produits ci-dessous et commandez directement pour soutenir vos recherches en toute confiance.

Les noms alternatifs de XAB2 sont fand, xab2, XAB2, xab2.L, Xab2.

55 Résultats

XAB2 Reactivité: Humain WB, ELISA, IHC (p), IF Hôte: Souris Monoclonal 1D1-1A9 unconjugated
Pubmed 1 reference
N° du produit ABIN566061
651,20 €
Plus frais de livraison 40,00 € et TVA
100 μg
Destination: France
Envoi sous 8 à 9 jours ouvrables
 
XAB2 Reactivité: Humain WB, ELISA, IHC, IF Hôte: Lapin Polyclonal unconjugated
N° du produit ABIN7164186
328,90 €
Plus frais de livraison 40,00 € et TVA
100 μg (Autres quantités disponibles)
Destination: France
Envoi sous 11 à 15 jours ouvrables
 
XAB2 Reactivité: Humain, Souris, Rat WB, ELISA, IHC Hôte: Lapin Polyclonal unconjugated
N° du produit ABIN7254640
449,00 €
Plus frais de livraison 40,00 € et TVA
200 μL (Autres quantités disponibles)
Destination: France
Envoi sous 9 à 13 jours ouvrables
 
XAB2 Reactivité: Humain WB, IHC (p) Hôte: Lapin Polyclonal unconjugated
N° du produit ABIN2857059
583,17 €
Plus frais de livraison 40,00 € et TVA
100 μL
Destination: France
Envoi sous 7 à 10 jours ouvrables
 
Verified XAB2 Reactivité: Humain WB, ELISA, IHC Hôte: Chèvre Polyclonal unconjugated
N° du produit ABIN184588
488,25 €
Plus frais de livraison 40,00 € et TVA
100 μg
Destination: France
Envoi sous 5 à 8 jours ouvrables
 
XAB2 Reactivité: Humain, Souris, Rat WB, ELISA Hôte: Lapin Polyclonal unconjugated
N° du produit ABIN7004725
119,00 €
Plus frais de livraison 40,00 € et TVA
20 μL
Destination: France
Envoi sous 9 à 13 jours ouvrables
 
XAB2 Reactivité: Humain WB Hôte: Lapin Polyclonal RB20045 unconjugated
N° du produit ABIN1538430
434,77 €
Plus frais de livraison 40,00 € et TVA
400 μL (Autres quantités disponibles)
Destination: France
Envoi sous 14 à 17 jours ouvrables
 
XAB2 Reactivité: Humain, Souris, Rat, Boeuf (Vache), Chien, Lapin, Cobaye, Cheval, Porc, Hamster WB Hôte: Lapin Polyclonal unconjugated
N° du produit ABIN6743564
789,41 €
Plus frais de livraison 40,00 € et TVA
100 μL
Destination: France
Envoi sous 15 à 20 jours ouvrables
 
XAB2 Reactivité: Humain, Souris, Rat, Lapin, Singe WB Hôte: Lapin Polyclonal unconjugated
N° du produit ABIN6738731
789,41 €
Plus frais de livraison 40,00 € et TVA
100 μL
Destination: France
Envoi sous 15 à 20 jours ouvrables
 
XAB2 Reactivité: Humain, Souris, Rat, Boeuf (Vache), Chien, Drosophila melanogaster WB Hôte: Lapin Polyclonal unconjugated
N° du produit ABIN928410
1.218,13 €
Plus frais de livraison 40,00 € et TVA
100 μL
Destination: France
Envoi sous 20 à 27 jours ouvrables
 
XAB2 Reactivité: Humain, Souris, Rat, Boeuf (Vache), Chien WB Hôte: Lapin Polyclonal unconjugated
N° du produit ABIN928409
1.218,13 €
Plus frais de livraison 40,00 € et TVA
100 μL
Destination: France
Envoi sous 20 à 27 jours ouvrables
 
XAB2 Reactivité: Humain WB, IF (cc), IF (p) Hôte: Lapin Polyclonal AbBy Fluor® 488
N° du produit ABIN920142
426,37 €
Plus frais de livraison 40,00 € et TVA
100 μL
Destination: France
Envoi sous 20 à 25 jours ouvrables
 
XAB2 Reactivité: Humain WB, IF (cc), IF (p) Hôte: Lapin Polyclonal AbBy Fluor® 555
N° du produit ABIN920141
426,37 €
Plus frais de livraison 40,00 € et TVA
100 μL
Destination: France
Envoi sous 20 à 25 jours ouvrables
 
XAB2 Reactivité: Humain WB, IF (cc), IF (p) Hôte: Lapin Polyclonal AbBy Fluor® 647
N° du produit ABIN920139
426,37 €
Plus frais de livraison 40,00 € et TVA
100 μL
Destination: France
Envoi sous 20 à 25 jours ouvrables
 
XAB2 Reactivité: Humain WB, IF (cc), IF (p) Hôte: Lapin Polyclonal AbBy Fluor® 350
N° du produit ABIN920138
426,37 €
Plus frais de livraison 40,00 € et TVA
100 μL
Destination: France
Envoi sous 20 à 25 jours ouvrables
 
XAB2 Reactivité: Humain ELISA Hôte: Souris Polyclonal unconjugated
N° du produit ABIN566060
508,80 €
Plus frais de livraison 40,00 € et TVA
50 μL
Destination: France
Envoi sous 8 à 9 jours ouvrables
 
XAB2 Reactivité: Humain WB Hôte: Lapin Polyclonal unconjugated
N° du produit ABIN7467903
765,00 €
Plus frais de livraison 40,00 € et TVA
100 μL
Destination: France
Envoi sous 7 à 10 jours ouvrables
 
XAB2 Reactivité: Humain WB, IF (cc), IF (p) Hôte: Lapin Polyclonal AbBy Fluor® 750
N° du produit ABIN5012540
426,37 €
Plus frais de livraison 40,00 € et TVA
100 μL
Destination: France
Envoi sous 20 à 25 jours ouvrables
 
XAB2 Reactivité: Humain WB, IF (cc), IF (p) Hôte: Lapin Polyclonal AbBy Fluor® 680
N° du produit ABIN5012539
426,37 €
Plus frais de livraison 40,00 € et TVA
100 μL
Destination: France
Envoi sous 20 à 25 jours ouvrables
 
XAB2 Reactivité: Humain WB, IF (cc), IF (p) Hôte: Lapin Polyclonal FITC
N° du produit ABIN762138
437,53 €
Plus frais de livraison 40,00 € et TVA
100 μL
Destination: France
Envoi sous 20 à 25 jours ouvrables
 
  • Type Primary
    • Primary
  • Application
    • Western Blotting (WB)
    • ELISA
    • Immunofluorescence (Cultured Cells) (IF (cc))
    • Immunofluorescence (Paraffin-embedded Sections) (IF (p))
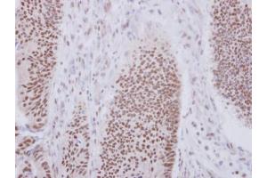
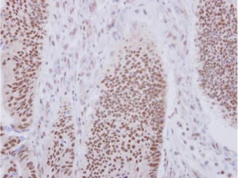
    • Immunohistochemistry (Paraffin-embedded Sections) (IHC (p))
    • Immunofluorescence (IF)
    • Immunohistochemistry (IHC)
    • Immunoprecipitation (IP)
    • Immunohistochemistry (Frozen Sections) (IHC (fro))
  • Réactivité
    • Human
    • Mouse
    • Rat
    • Cow
    • Dog
    • Rabbit
    • Guinea Pig
    • Horse
    • Pig
    • Drosophila melanogaster
    • Hamster
    • Monkey
    • Saccharomyces cerevisiae
  • Cité dans publications
  • Images disponible
  • Sans conservateur uniquement
  • Carrier free only
  • Hote
    • Rabbit
    • Mouse
    • Goat
  • Clonalité
    • Polyclonal
    • Monoclonal
  • Clone
    • 1D1-1A9
    • RB20045
  • Epitope
    • AA 65-160
    • AA 450-479
    • AA 750-840
    • C-Term
    • N-Term
    • AA 1-50
    • AA 1-855
    • AA 805-855
    • AA 840-855
    • AA 1-856
    • AA 35-84
    • AA 449-479
    • Center
    • Internal Region
  • Conjugué
    • Inconjugué
    • Biotin
    • FITC
    • HRP
    • APC
    • AbBy Fluor® 350
    • AbBy Fluor® 488
    • AbBy Fluor® 555
    • AbBy Fluor® 594
    • AbBy Fluor® 647
    • AbBy Fluor® 680
    • AbBy Fluor® 750
    • Alexa Fluor 488
    • Alexa Fluor 555
    • Alexa Fluor 594
    • Alexa Fluor 647
    • Alexa Fluor 680
    • Alexa Fluor 750
    • Cy3
    • Cy5
    • Cy5.5
    • Cy7
    • PE
  • Isotype
    • IgG
    • IgG2b
    • Ig Fraction
  • Format
    • Liquid
    • Lyophilized
  • Grade
    • Verified
  • Supplier
    • antibodies-online
    • Signalway
    • Aviva Systems Biology
    • Cohesion Biosciences
    • ProSci
    • USBio

Dernières publications pour nos XAB2 Anticorps

Ohnuma-Ishikawa, Morio, Yamada, Sugawara, Ono, Nagasawa, Yasuda, Morimoto, Ohnuma, Dang, Hosoi, Verdin, Mizutani: "Knockdown of XAB2 enhances all-trans retinoic acid-induced cellular differentiation in all-trans retinoic acid-sensitive and -resistant cancer cells." dans: Cancer research, Vol. 67, Issue 3, pp. 1019-29, (2007) (PubMed).

Nakatsu, Asahina, Citterio, Rademakers, Vermeulen, Kamiuchi, Yeo, Khaw, Saijo, Kodo, Matsuda, Hoeijmakers, Tanaka: "XAB2, a novel tetratricopeptide repeat protein involved in transcription-coupled DNA repair and transcription." dans: The Journal of biological chemistry, Vol. 275, Issue 45, pp. 34931-7, (2000) (PubMed).

Pseudonymes pour XAB2 Anticorps

fandango (fand) Anticorps
XPA binding protein 2 (xab2) Anticorps
XPA binding protein 2 (XAB2) Anticorps
XPA binding protein 2 L homeolog (xab2.L) Anticorps
XPA binding protein 2 (Xab2) Anticorps
0610041O14Rik Anticorps
Ath55 Anticorps
AV025587 Anticorps
Dmel\\CG6197 Anticorps
HCNP Anticorps
HCRN Anticorps
NTC90 Anticorps
Prp5 Anticorps
SYF1 Anticorps
XAB2 Anticorps
Xab2 Anticorps
zgc:63498 Anticorps
zgc:63949 Anticorps
Vous êtes ici:
Chat with us!