Tel:
+49 (0)241 95 163 153
Fax:
+49 (0)241 95 163 155
E-Mail:
orders@anticorps-enligne.fr

ACTG2 Anticorps

(Actin, gamma 2, Smooth Muscle, Enteric (ACTG2))

Choisissez l’un des 34 anticorps ACTG2 de notre liste de produits basés sur 1 publication et 34 images de validation.

Découvrez des anticorps ACTG2 fiables issus d’une large sélection de fabricants renommés. Notre portefeuille permet une détection précise de ACTG2 dans plusieurs espèces, y compris Human, Mouse, Rat, Cow, Rabbit, Chicken, Guinea Pig, Horse, Sheep, Bat, Dog, Goat, Monkey, Pig, Saccharomyces cerevisiae, Xenopus laevis, Zebrafish (Danio rerio), et prend en charge diverses applications de recherche telles que WB, IHC, ELISA, ICC, IF.

Trouvez rapidement l’anticorps adapté grâce à nos outils de recherche, de filtrage et de comparaison. Chaque page produit fournit des données de validation détaillées, des références bibliographiques et des retours d’utilisateurs. Contrairement aux ressources dédiées uniquement à la comparaison, vous pouvez acheter directement les anticorps sur notre site. Choisissez parmi des anticorps polyclonaux, monoclonaux ou recombinants ACTG2, issus de différents hôtes tels que Rabbit, Mouse, Guinea Pig. Parcourez nos produits ci-dessous et commandez directement pour soutenir vos recherches en toute confiance.

Les noms alternatifs de ACTG2 sont ACTG2, Actg2.

34 Résultats

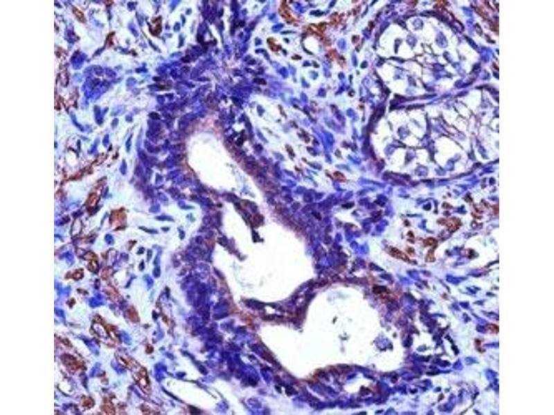
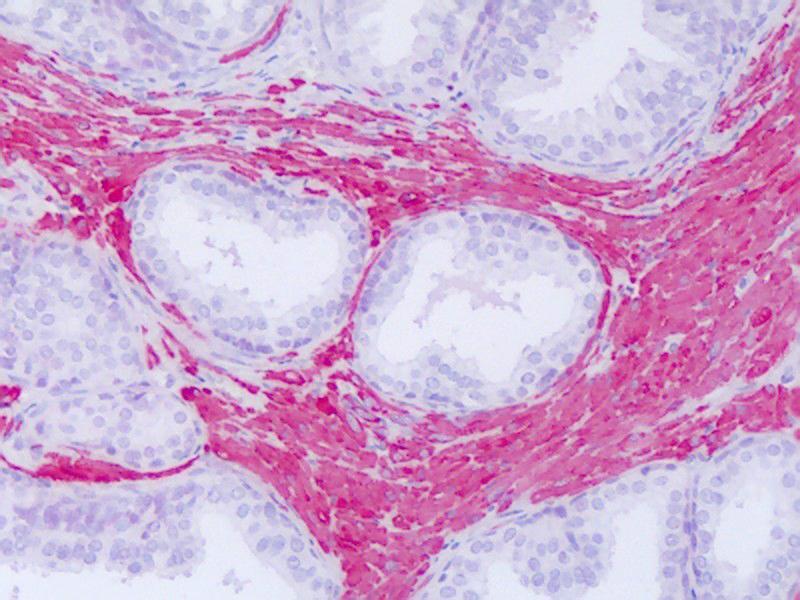
ACTG2 Reactivité: Humain WB, IHC Hôte: Lapin Polyclonal unconjugated
N° du produit ABIN7440569
298,22 €
Plus frais de livraison 40,00 € et TVA
100 μL (Autres quantités disponibles)
Destination: France
Envoi sous 11 à 15 jours ouvrables
 
ACTG2 Reactivité: Humain WB, IHC, ELISA Hôte: Lapin Polyclonal unconjugated
N° du produit ABIN7143144
328,90 €
Plus frais de livraison 40,00 € et TVA
100 μg (Autres quantités disponibles)
Destination: France
Envoi sous 11 à 15 jours ouvrables
 
ACTG2 Reactivité: Humain, Souris, Rat WB, IHC, ELISA, IF, ICC Hôte: Lapin Polyclonal unconjugated
N° du produit ABIN6259746
525,71 €
Plus frais de livraison 40,00 € et TVA
100 μL (Autres quantités disponibles)
Destination: France
Envoi sous 9 à 11 jours ouvrables
 
ACTG2 Reactivité: Humain WB, ELISA Hôte: Souris Polyclonal unconjugated
N° du produit ABIN559757
508,80 €
Plus frais de livraison 40,00 € et TVA
50 μL
Destination: France
Envoi sous 8 à 9 jours ouvrables
 
ACTG2 Reactivité: Humain WB, IHC (p) Hôte: Lapin Polyclonal RB33618 unconjugated
N° du produit ABIN657460
434,77 €
Plus frais de livraison 40,00 € et TVA
400 μL (Autres quantités disponibles)
Destination: France
Envoi sous 14 à 17 jours ouvrables
 
ACTG2 Reactivité: Humain WB, IHC, ELISA, IF Hôte: Lapin Polyclonal unconjugated
N° du produit ABIN7188494
218,90 €
Plus frais de livraison 40,00 € et TVA
100 μg (Autres quantités disponibles)
Destination: France
Envoi sous 11 à 15 jours ouvrables
 
ACTG2 Reactivité: Humain, Souris, Rat, Boeuf (Vache), Lapin, Poulet, Cheval, Cobaye, Singe, Porc, Xenopus laevis, Roussette (Chauve-souris) WB, IHC, IHC (p) Hôte: Lapin Polyclonal unconjugated
N° du produit ABIN6749799
512,07 €
Plus frais de livraison 40,00 € et TVA
100 μL
Destination: France
Envoi sous 15 à 20 jours ouvrables
 
ACTG2 Reactivité: Humain, Souris, Rat WB, IHC, ELISA Hôte: Lapin Polyclonal unconjugated
Pubmed 1 reference
N° du produit ABIN1533207
402,00 €
Plus frais de livraison 40,00 € et TVA
100 μL (Autres quantités disponibles)
Destination: France
Envoi sous 6 à 9 jours ouvrables
 
ACTG2 Reactivité: Humain, Souris, Rat WB, IHC (p), EIA Hôte: Lapin Polyclonal unconjugated
N° du produit ABIN615858
778,46 €
Plus frais de livraison 40,00 € et TVA
50 μg
Destination: France
Envoi sous 17 jours ouvrables
 
ACTG2 Reactivité: Humain WB, IHC, ELISA Hôte: Lapin Polyclonal unconjugated
N° du produit ABIN3029839
631,13 €
Plus frais de livraison 40,00 € et TVA
0.4 mL (Autres quantités disponibles)
Destination: France
Envoi sous 6 à 9 jours ouvrables
 
ACTG2 Reactivité: Humain, Souris, Rat, Boeuf (Vache), Lapin, Poulet WB, IHC, IF Hôte: Lapin Polyclonal unconjugated
N° du produit ABIN7294838
330,77 €
Plus frais de livraison 40,00 € et TVA
100 μL (Autres quantités disponibles)
Destination: France
Envoi sous 17 à 20 jours ouvrables
 
ACTG2 Reactivité: Humain WB Hôte: Lapin Polyclonal unconjugated
N° du produit ABIN513092
636,80 €
Plus frais de livraison 40,00 € et TVA
100 μg
Destination: France
Envoi sous 8 à 9 jours ouvrables
 
ACTG2 Reactivité: Humain WB, IHC, ICC, IP Hôte: Cobaye Polyclonal APC
N° du produit ABIN7633985
298,22 €
Plus frais de livraison 40,00 € et TVA
100 μL (Autres quantités disponibles)
Destination: France
Envoi sous 11 à 15 jours ouvrables
 
ACTG2 Reactivité: Humain WB, IHC, ELISA Hôte: Lapin Polyclonal unconjugated
N° du produit ABIN7567915
527,38 €
Plus frais de livraison 40,00 € et TVA
100 μg
Destination: France
Envoi sous 10 à 13 jours ouvrables
 
ACTG2 Reactivité: Humain WB, IHC, IF, ICC Hôte: Lapin Polyclonal unconjugated
N° du produit ABIN5618772
754,80 €
Plus frais de livraison 40,00 € et TVA
100 μL
Destination: France
Envoi sous 13 à 17 jours ouvrables
 
ACTG2 Reactivité: Humain Hôte: Lapin Polyclonal FITC
N° du produit ABIN7143146
328,90 €
Plus frais de livraison 40,00 € et TVA
100 μg (Autres quantités disponibles)
Destination: France
Envoi sous 11 à 15 jours ouvrables
 
ACTG2 Reactivité: Humain ELISA Hôte: Lapin Polyclonal HRP
N° du produit ABIN7143147
328,90 €
Plus frais de livraison 40,00 € et TVA
100 μg (Autres quantités disponibles)
Destination: France
Envoi sous 11 à 15 jours ouvrables
 
ACTG2 Reactivité: Humain ELISA Hôte: Lapin Polyclonal Biotin
N° du produit ABIN7143145
328,90 €
Plus frais de livraison 40,00 € et TVA
100 μg (Autres quantités disponibles)
Destination: France
Envoi sous 11 à 15 jours ouvrables
 
ACTG2 Reactivité: Mouton WB, IHC, ICC, IP Hôte: Lapin Polyclonal unconjugated
N° du produit ABIN7633988
330,65 €
Plus frais de livraison 40,00 € et TVA
100 μL (Autres quantités disponibles)
Destination: France
Envoi sous 11 à 15 jours ouvrables
 
ACTG2 Reactivité: Humain, Souris, Rat, Boeuf (Vache), Lapin, Poulet WB, IHC, IF, IHC (p), ICC Hôte: Lapin Polyclonal unconjugated
N° du produit ABIN2614190
571,18 €
Plus frais de livraison 40,00 € et TVA
100 μL
Destination: France
Envoi sous 15 à 20 jours ouvrables
 
  • Type Primary
    • Primary
  • Application
    • Western Blotting (WB)
    • Immunohistochemistry (IHC)
    • ELISA
    • Immunocytochemistry (ICC)
    • Immunofluorescence (IF)
    • Immunohistochemistry (Paraffin-embedded Sections) (IHC (p))
    • Immunoprecipitation (IP)
    • Enzyme Immunoassay (EIA)
    • Immunofluorescence (fixed cells) (IF/ICC)
  • Réactivité
    • Human
    • Mouse
    • Rat
    • Cow
    • Rabbit
    • Chicken
    • Guinea Pig
    • Horse
    • Sheep
    • Bat
    • Dog
    • Goat
    • Monkey
    • Pig
    • Saccharomyces cerevisiae
    • Xenopus laevis
    • Zebrafish (Danio rerio)
  • Cité dans publications
  • Images disponible
  • Sans conservateur uniquement
  • Carrier free only
  • Hote
    • Rabbit
    • Mouse
    • Guinea Pig
  • Clonalité
    • Polyclonal
    • Monoclonal
  • Clone
    • RB33618
  • Epitope
    • AA 343-371
    • N-Term
    • AA 181-376
    • C-Term
    • AA 3-376
    • AA 1-376
    • AA 1-100
    • AA 1-50
    • AA 342-371
    • Glu2
  • Conjugué
    • Inconjugué
    • FITC
    • APC
    • Biotin
    • HRP
    • PE
  • Isotype
    • IgG
    • Ig Fraction
  • Format
    • Liquid
    • Lyophilized
  • Supplier
    • antibodies-online
    • Abbexa
    • Acris
    • Assay Biotechnology Company, Inc.
    • Aviva Systems Biology
    • Biomatik
    • Cohesion Biosciences
    • NSJ Bioreagents
    • ProteoGenix
    • USBio

Dernières publications pour nos ACTG2 Anticorps

Edfeldt, Hellman, Westin, Stalberg: "A plausible role for actin gamma smooth muscle 2 (ACTG2) in small intestinal neuroendocrine tumorigenesis." dans: BMC endocrine disorders, Vol. 16, pp. 19, (2016) (PubMed).

Morioka, Takano-Ohmuro: "Localizations of γ-Actins in Skin, Hair, Vibrissa, Arrector Pili Muscle and Other Hair Appendages of Developing Rats." dans: Acta histochemica et cytochemica, Vol. 49, Issue 2, pp. 47-65, (2016) (PubMed).

Tuzovic, Tang, Miller, Rohena, Shahmirzadi, Gonzalez, Li, LeDuc, Guo, Wilson, Mills, Glassberg, Rotterdam, Sepulveda, Zeng, Chung, Anyane-Yeboa: "New Insights into the Genetics of Fetal Megacystis: ACTG2 Mutations, Encoding γ-2 Smooth Muscle Actin in Megacystis Microcolon Intestinal Hypoperistalsis Syndrome (Berdon Syndrome)." dans: Fetal diagnosis and therapy, Vol. 38, Issue 4, pp. 296-306, (2015) (PubMed).

Lehtonen, Sipponen, Tojkander, Karikoski, Järvinen, Laing, Lappalainen, Aaltonen, Tuupanen: "Segregation of a missense variant in enteric smooth muscle actin γ-2 with autosomal dominant familial visceral myopathy." dans: Gastroenterology, Vol. 143, Issue 6, pp. 1482-1491.e3, (2012) (PubMed).

Pseudonymes pour ACTG2 Anticorps

actin, gamma 2, smooth muscle, enteric (ACTG2) Anticorps
actin, gamma 2, smooth muscle, enteric (Actg2) Anticorps
ACT Anticorps
Act-4 Anticorps
Act4 Anticorps
ACTA3 Anticorps
ACTE Anticorps
ACTG2 Anticorps
ACTGE Anticorps
ACTL3 Anticorps
ACTSG Anticorps
GAMMA-ACTIN Anticorps
SMGA Anticorps
Vous êtes ici:
Chat with us!