PCNA anticorps
Aperçu rapide pour PCNA anticorps (ABIN1103511)
Antigène
Voir toutes PCNA AnticorpsReactivité
Hôte
Clonalité
Conjugué
Application
Clone
-
-
Purification
- Affinity purified
-
Immunogène
-
Recombinant rat PCNA
Type of Immunogen: Recombinant protein -
Isotype
- IgG2a kappa
-
-
-
-
Indications d'application
-
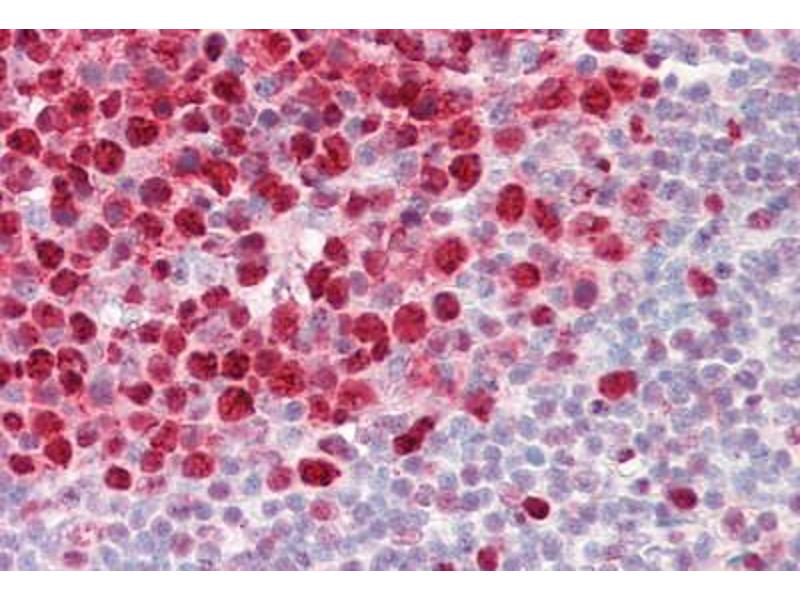
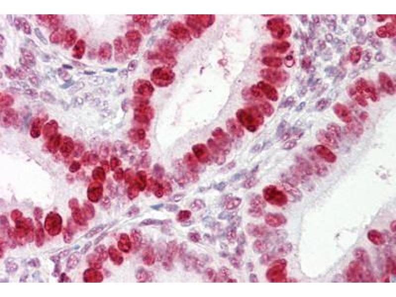
Approved: Flo, IHC, IHC-P (20 μg/mL), IP, WB
Usage: The PC10 (a. k. a. 3F81) antibody has been tested by flow cytometric analysis. This can be used at less than or equal to 0.25 μg per test. A test is defined as the amount (ug) of antibody that will stain a cell sample in a final volume of 100 μL. Cell number should be determined empirically but can range from 10^5 to 10^8 cells/test. It is recommended that the antibody be carefully titrated for optimal performance in the assay of interest. -
Commentaires
-
Target Species of Antibody: Human
-
Restrictions
- For Research Use only
-
-
-
Format
- Liquid
-
Concentration
- Lot specific
-
Buffer
- PBS, pH 7.2, 150 mM sodium chloride, 0.09 % sodium azide
-
Agent conservateur
- Sodium azide
-
Précaution d'utilisation
- This product contains Sodium azide: a POISONOUS AND HAZARDOUS SUBSTANCE which should be handled by trained staff only.
-
Conseil sur la manipulation
- avoid freezing and store undiluted.
-
Stock
- 4 °C
-
Stockage commentaire
- Store at 4°C, avoid freeze-thaw cycles.
-
-
- PCNA (Proliferating Cell Nuclear Antigen (PCNA))
-
Autre désignation
- PCNA / Cyclin
-
Sujet
-
Name/Gene ID: PCNA
Synonyms: PCNA, Cyclin -
ID gène
- 5111
-
UniProt
- P12004
-
Pathways
- Telomere Maintenance, Réparation de l'ADN, Mitotic G1-G1/S Phases, DNA Replication, Synthesis of DNA, Autophagy
Antigène
-