Tel:
+49 (0)241 95 163 153
Fax:
+49 (0)241 95 163 155
E-Mail:
orders@anticorps-enligne.fr

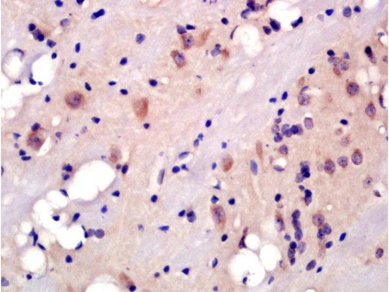
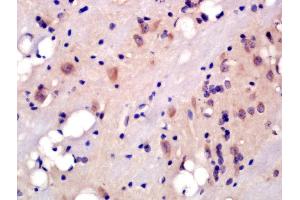
HTR2A anticorps (AA 51-150)

Il existe 1 publication pour ce produit. L’anticorps anti-HTR2A Polyclonal Lapin est utilisé pour la détection de HTR2A dans des échantillons de Humain, Rat et Souris. Il a été validé pour WB, ELISA, IF (cc), IF (p), IHC (p), ICC et IHC (fro).
N° du produit ABIN1386671
357,70 €
Plus frais de livraison 40,00 € et TVA
100 μL
Destination: France
Envoi sous 8 à 12 jours ouvrables

Aperçu rapide pour HTR2A anticorps (AA 51-150) (ABIN1386671)

Antigène

Voir toutes HTR2A Anticorps
HTR2A (5-Hydroxytryptamine (serotonin) Receptor 2A (HTR2A))

Reactivité

  • 70
  • 55
  • 53
  • 7
  • 5
  • 3
  • 1
  • 1
  • 1
  • 1
Humain, Rat, Souris

Hôte

  • 75
  • 1
  • 1
  • 1
Lapin

Clonalité

  • 77
  • 1
Polyclonal

Conjugué

  • 27
  • 5
  • 5
  • 4
  • 2
  • 2
  • 2
  • 2
  • 2
  • 2
  • 2
  • 2
  • 2
  • 2
  • 2
  • 2
  • 2
  • 2
  • 1
  • 1
  • 1
  • 1
  • 1
  • 1
  • 1
  • 1
  • 1
Cet anticorp HTR2A est non-conjugé

Application

  • 56
  • 26
  • 25
  • 21
  • 16
  • 11
  • 8
  • 5
  • 5
  • 2
  • 2
  • 1
Western Blotting (WB), ELISA, Immunofluorescence (Cultured Cells) (IF (cc)), Immunofluorescence (Paraffin-embedded Sections) (IF (p)), Immunohistochemistry (Paraffin-embedded Sections) (IHC (p)), Immunocytochemistry (ICC), Immunohistochemistry (Frozen Sections) (IHC (fro))
  • Épitope

    • 16
    • 14
    • 8
    • 5
    • 4
    • 4
    • 3
    • 2
    • 2
    • 2
    • 1
    • 1
    • 1
    • 1
    • 1
    AA 51-150

     Réactivité croisée

    Humain, Souris, Rat

    Homologie

    Dog,Cow,Sheep,Pig,Horse

    Purification

    Purified by Protein A.

    Immunogène

    KLH conjugated synthetic peptide derived from human 5HT2A Receptor

    Isotype

    IgG
  • Indications d'application

    WB 1:300-5000
    ELISA 1:500-1000
    IHC-P 1:200-400
    IHC-F 1:100-500
    IF(IHC-P) 1:50-200
    IF(IHC-F) 1:50-200
    IF(ICC) 1:50-200
    ICC 1:100-500

    Restrictions

    For Research Use only
  • Format

    Liquid

    Concentration

    1 μg/μL

    Buffer

    0.01M TBS( pH 7.4) with 1 % BSA, 0.02 % Proclin300 and 50 % Glycerol.

    Agent conservateur

    ProClin

    Précaution d'utilisation

    This product contains ProClin: a POISONOUS AND HAZARDOUS SUBSTANCE, which should be handled by trained staff only.

    Stock

    4 °C,-20 °C

    Stockage commentaire

    Shipped at 4°C. Store at -20°C for one year. Avoid repeated freeze/thaw cycles.

    Date de péremption

    12 months
  • García-Pedraza, Fernández-González, López, Martín, Alarcón-Torrecillas, Rodríguez-Barbero, Morán, García-Domingo: "Oral fluoxetine treatment changes serotonergic sympatho-regulation in experimental type 1 diabetes." dans: Life sciences, Vol. 293, pp. 120335, (2022) (PubMed).

  • Antigène

    HTR2A (5-Hydroxytryptamine (serotonin) Receptor 2A (HTR2A))

    Autre désignation

    5HT2A Receptor

    Sujet

    Synonyms: SR-2A, 5 HT 2, 5 HT 2A, 5 HT2 receptor, 5 HT2A, 5 hydroxytryptamine receptor 2A, 5-HT-2, 5-HT-2A, 5-hydroxytryptamine 2A receptor, 5-hydroxytryptamine receptor 2A, 5HT2A_HUMAN, HTR 2, HTR 2A, HTR2, HTR2A, Serotonin receptor 2A.

    Background: This is one of the several different receptors for 5-hydroxytryptamine (serotonin), a biogenic hormone that functions as a neurotransmitter, a hormone, and a mitogen. This receptor mediates its action by association with G proteins that activate a phosphatidylinositol-calcium second messenger system. This receptor is involved in tracheal smooth muscle contraction, bronchoconstriction, and control of aldosterone production.

    ID gène

    3356

    UniProt

    P28223

    Pathways

    Signalistation JAK/STAT, Inositol Metabolic Process, Regulation of Carbohydrate Metabolic Process
Vous êtes ici:
Chat with us!