Tel:
+49 (0)241 95 163 153
Fax:
+49 (0)241 95 163 155
E-Mail:
orders@anticorps-enligne.fr

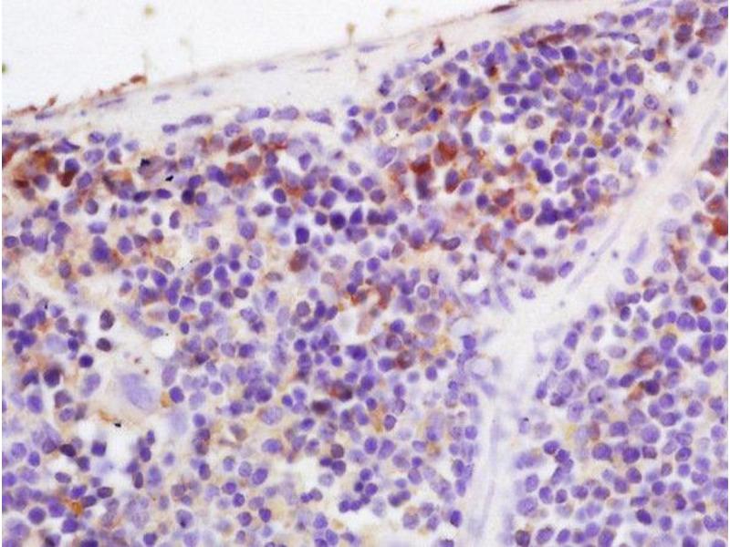
Complement Factor B anticorps (AA 301-400)

Cet anticorps Lapin Polyclonal détecte spécifiquement Complement Factor B dans WB, ELISA, IHC (p) et IF (p). Il présente une réactivité avec des échantillons de Souris et Rat.
N° du produit ABIN1386781
357,70 €
Plus frais de livraison 40,00 € et TVA
100 μL
Destination: France
Envoi sous 8 à 12 jours ouvrables

Aperçu rapide pour Complement Factor B anticorps (AA 301-400) (ABIN1386781)

Antigène

Voir toutes Complement Factor B (CFB) Anticorps
Complement Factor B (CFB)

Reactivité

  • 83
  • 42
  • 33
  • 1
  • 1
  • 1
  • 1
  • 1
  • 1
Souris, Rat

Hôte

  • 95
  • 21
  • 3
  • 2
Lapin

Clonalité

  • 95
  • 22
  • 2
Polyclonal

Conjugué

  • 54
  • 19
  • 16
  • 8
  • 2
  • 2
  • 1
  • 1
  • 1
  • 1
  • 1
  • 1
  • 1
  • 1
  • 1
  • 1
  • 1
  • 1
  • 1
  • 1
  • 1
  • 1
  • 1
  • 1
Cet anticorp Complement Factor B est non-conjugé

Application

  • 87
  • 40
  • 36
  • 18
  • 17
  • 16
  • 12
  • 9
  • 9
  • 6
  • 4
  • 4
  • 3
  • 2
  • 2
  • 1
Western Blotting (WB), ELISA, Immunohistochemistry (Paraffin-embedded Sections) (IHC (p)), Immunofluorescence (Paraffin-embedded Sections) (IF (p))
  • Épitope

    • 14
    • 10
    • 9
    • 5
    • 4
    • 4
    • 4
    • 3
    • 3
    • 3
    • 3
    • 3
    • 3
    • 2
    • 2
    • 2
    • 2
    • 2
    • 1
    • 1
    • 1
    • 1
    • 1
    • 1
    • 1
    • 1
    • 1
    • 1
    AA 301-400

     Réactivité croisée

    Souris, Rat

    Purification

    Purified by Protein A.

    Immunogène

    KLH conjugated synthetic peptide derived from human Complement factor-B Bb fragment

    Isotype

    IgG
  • Indications d'application

    WB 1:300-5000
    ELISA 1:500-1000
    IHC-P 1:200-400
    IF(IHC-P) 1:50-200

    Restrictions

    For Research Use only
  • Format

    Liquid

    Concentration

    1 μg/μL

    Buffer

    0.01M TBS( pH 7.4) with 1 % BSA, 0.02 % Proclin300 and 50 % Glycerol.

    Agent conservateur

    ProClin

    Précaution d'utilisation

    This product contains ProClin: a POISONOUS AND HAZARDOUS SUBSTANCE, which should be handled by trained staff only.

    Stock

    4 °C,-20 °C

    Stockage commentaire

    Shipped at 4°C. Store at -20°C for one year. Avoid repeated freeze/thaw cycles.

    Date de péremption

    12 months
  • Antigène

    Complement Factor B (CFB)

    Autre désignation

    Factor B

    Sujet

    Synonyms: BF, FB, BFD, GBG, CFAB, CFBD, PBF2, AHUS4, FBI12, H2-Bf, ARMD14, Complement factor B, C3/C5 convertase, Glycine-rich beta glycoprotein, Properdin factor B, CFB

    Background: Factor B which is part of the alternate pathway of the complement system is cleaved by factor D into 2 fragments: Ba and Bb. Bb, a serine protease, then combines with complement factor 3b to generate the C3 or C5 convertase. It has also been implicated in proliferation and differentiation of preactivated B-lymphocytes, rapid spreading of peripheral blood monocytes, stimulation of lymphocyte blastogenesis and lysis of erythrocytes. Ba inhibits the proliferation of preactivated B-lymphocytes.

    ID gène

    629

    UniProt

    P00751

    Pathways

    Système du Complément, Proton Transport, Ribonucleoside Biosynthetic Process
Vous êtes ici:
Chat with us!