Tel:
+49 (0)241 95 163 153
Fax:
+49 (0)241 95 163 155
E-Mail:
orders@anticorps-enligne.fr

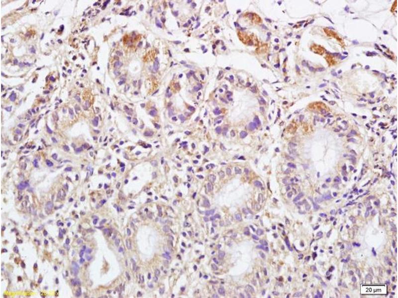
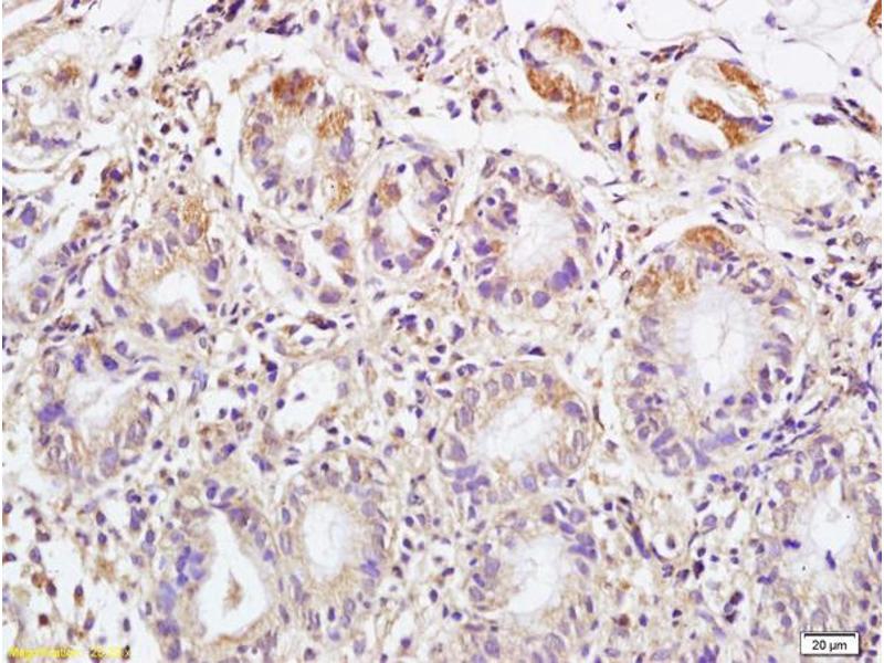
DEPTOR anticorps (AA 56-170)

Cet anticorps Lapin Polyclonal détecte spécifiquement DEPTOR dans WB, IF (cc), IF (p), ELISA, IHC (p) et IHC (fro). Il présente une réactivité avec des échantillons de Humain, Souris et Rat. Il a été cité dans 2+ publications.
N° du produit ABIN1387597
357,70 €
Plus frais de livraison 40,00 € et TVA
100 μL
Destination: France
Envoi sous 8 à 12 jours ouvrables

Aperçu rapide pour DEPTOR anticorps (AA 56-170) (ABIN1387597)

Antigène

Voir toutes DEPTOR Anticorps
DEPTOR (DEP Domain Containing mTOR-Interacting Protein (DEPTOR))

Reactivité

  • 54
  • 35
  • 19
  • 3
  • 2
  • 2
  • 2
  • 2
  • 2
  • 2
  • 1
Humain, Souris, Rat

Hôte

  • 49
  • 4
  • 1
Lapin

Clonalité

  • 52
  • 2
Polyclonal

Conjugué

  • 20
  • 2
  • 2
  • 2
  • 2
  • 2
  • 2
  • 2
  • 2
  • 2
  • 2
  • 2
  • 2
  • 2
  • 2
  • 1
  • 1
  • 1
  • 1
  • 1
  • 1
Cet anticorp DEPTOR est non-conjugé

Application

  • 45
  • 25
  • 25
  • 11
  • 7
  • 5
  • 3
  • 2
  • 1
  • 1
Western Blotting (WB), Immunofluorescence (Cultured Cells) (IF (cc)), Immunofluorescence (Paraffin-embedded Sections) (IF (p)), ELISA, Immunohistochemistry (Paraffin-embedded Sections) (IHC (p)), Immunohistochemistry (Frozen Sections) (IHC (fro))
  • Épitope

    • 15
    • 14
    • 5
    • 1
    • 1
    • 1
    • 1
    • 1
    • 1
    • 1
    • 1
    • 1
    • 1
    • 1
    • 1
    • 1
    AA 56-170

     Réactivité croisée

    Humain, Souris, Rat

    Homologie

    Dog,Cow,Pig,Horse,Chicken,Rabbit

    Purification

    Purified by Protein A.

    Immunogène

    KLH conjugated synthetic peptide derived from human DEPTOR/DEPDC6

    Isotype

    IgG
  • Indications d'application

    WB 1:300-5000
    ELISA 1:500-1000
    IHC-P 1:200-400
    IHC-F 1:100-500
    IF(IHC-P) 1:50-200
    IF(IHC-F) 1:50-200
    IF(ICC) 1:50-200

    Restrictions

    For Research Use only
  • Format

    Liquid

    Concentration

    1 μg/μL

    Buffer

    0.01M TBS( pH 7.4) with 1 % BSA, 0.02 % Proclin300 and 50 % Glycerol.

    Agent conservateur

    ProClin

    Précaution d'utilisation

    This product contains ProClin: a POISONOUS AND HAZARDOUS SUBSTANCE, which should be handled by trained staff only.

    Stock

    4 °C,-20 °C

    Stockage commentaire

    Shipped at 4°C. Store at -20°C for one year. Avoid repeated freeze/thaw cycles.

    Date de péremption

    12 months
  • Liu, Cai, Zhang, Liu, Luo, Xing, Du: "Deacetylation of NAT10 by Sirt1 promotes the transition from rRNA biogenesis to autophagy upon energy stress." dans: Nucleic acids research, Vol. 46, Issue 18, pp. 9601-9616, (2019) (PubMed).

    Liu, Zhang, Liu, Li, Zhang, Li, Liu, Huang, Shen, Gu, Gao, Wu, Wu: "High DEPTOR expression correlates with poor prognosis in patients with esophageal squamous cell carcinoma." dans: OncoTargets and therapy, Vol. 8, pp. 3449-55, (2015) (PubMed).

  • Antigène

    DEPTOR (DEP Domain Containing mTOR-Interacting Protein (DEPTOR))

    Autre désignation

    Deptor

    Sujet

    Synonyms: DEP.6, DEPDC6, DEP domain-containing mTOR-interacting protein, DEP domain-containing protein 6, DEPTOR

    Background: DEPTOR (DEP domain containing MTOR-interacting protein), also known as DEP.6 or DEPDC6 (DEP domain-containing protein 6), is a 409 amino acid protein that negatively regulates mTORC1 and mTORC2 pathways. DEPTOR interacts with FRAP via its PDZ domain, and undergoes post-translational phosphorylation. Containing two DEP domains and one PDZ (DHR) domain, DEPTOR is encoded by a gene that maps to human chromosome 8q24.12. Chromosome 8 consists of nearly 146 million base pairs, encodes over 800 genes and is associated with a variety of diseases and malignancies. Schizophrenia, bipolar disorder, Trisomy 8, Pfeiffer syndrome, congenital hypothyroidism, Waardenburg syndrome and some leukemias and lymphomas are thought to occur as a result of defects in specific genes that map to chromosome 8.

    ID gène

    64798

    UniProt

    Q8TB45

    Pathways

    Signalisation PI3K-Akt, Signalisation RTK, Regulation of Cell Size, BCR Signaling, L'effet Warburg
Vous êtes ici:
Chat with us!