GAPDHS anticorps
Aperçu rapide pour GAPDHS anticorps (ABIN1498375)
Antigène
Voir toutes GAPDHS AnticorpsReactivité
Hôte
Clonalité
Conjugué
Application
Clone
-
-
Specificité
- Human GAPDHS / GAPDS
-
Purification
- Protein A/G purified
-
Immunogène
-
Full length human recombinant protein of human GAPDHS(NP_055179) produced in HEK293T.
Type of Immunogen: Recombinant protein -
Isotype
- IgG2a
-
-
-
-
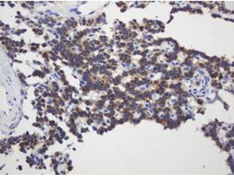
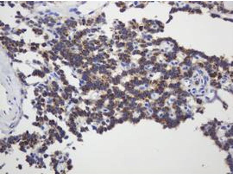
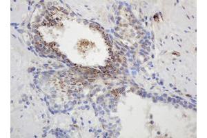
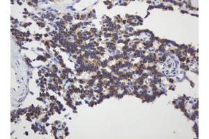
Indications d'application
- Approved: IHC, IHC-P (1:150), WB (1:500)
-
Commentaires
-
Target Species of Antibody: Human
-
Restrictions
- For Research Use only
-
-
-
Format
- Liquid
-
Concentration
- Lot specific
-
Buffer
- PBS, pH 7.3, 1 % BSA, 50 % glycerol, 0.02 % sodium azide
-
Agent conservateur
- Sodium azide
-
Précaution d'utilisation
- This product contains Sodium azide: a POISONOUS AND HAZARDOUS SUBSTANCE which should be handled by trained staff only.
-
Stock
- -20 °C
-
Stockage commentaire
- Store at -20°C. Avoid freeze-thaw cycles.
-
-
- GAPDHS (Glyceraldehyde-3-Phosphate Dehydrogenase, Spermatogenic (GAPDHS))
-
Autre désignation
- GAPDHS / GAPDS
-
Sujet
-
Name/Gene ID: GAPDHS
Synonyms: GAPDHS, GAPD2, GAPDH2, GAPDS, GAPDH-2, HSD-35 -
ID gène
- 26330
-
NCBI Accession
- NP_055179
-
Pathways
- Regulation of Carbohydrate Metabolic Process
Antigène
-