Tel:
+49 (0)241 95 163 153
Fax:
+49 (0)241 95 163 155
E-Mail:
orders@anticorps-enligne.fr

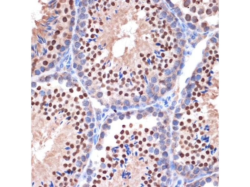
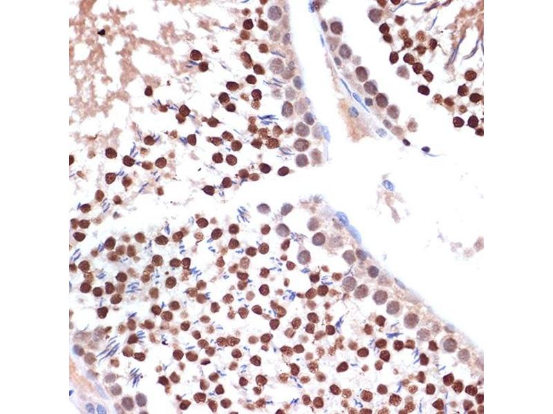
NUP153 anticorps

L’anticorps anti-NUP153 Monoclonal Lapin est utilisé pour la détection de NUP153 dans des échantillons de Humain. Il a été validé pour WB, IF et IHC.
N° du produit ABIN1512527
330,00 €
Plus frais de livraison 40,00 € et TVA
Destination: France
Envoi sous 8 à 10 jours ouvrables

Aperçu rapide pour NUP153 anticorps (ABIN1512527)

Antigène

Voir toutes NUP153 Anticorps
NUP153 (Nucleoporin 153kDa (NUP153))

Reactivité

  • 45
  • 8
  • 3
  • 2
  • 2
  • 1
  • 1
  • 1
  • 1
  • 1
  • 1
Humain

Hôte

  • 44
  • 1
  • 1
  • 1
Lapin

Clonalité

  • 26
  • 21
Monoclonal

Conjugué

  • 27
  • 3
  • 2
  • 2
  • 2
  • 2
  • 2
  • 2
  • 2
  • 1
  • 1
  • 1
Cet anticorp NUP153 est non-conjugé

Application

  • 34
  • 16
  • 16
  • 16
  • 12
  • 8
  • 4
  • 2
  • 1
  • 1
Western Blotting (WB), Immunofluorescence (IF), Immunohistochemistry (IHC)
  •  Réactivité croisée

    Humain, Souris, Rat

    Attributs du produit

    Monoclonal Antibodies

    Purification

    Affinity purification

    Immunogène

    A synthesized peptide derived from human NUP153

    Isotype

    IgG
  • Indications d'application

    WB,1:500 - 1:2000,IHC,1:50 - 1:200,IF,1:50 - 1:200

    Restrictions

    For Research Use only
  • Format

    Liquid

    Buffer

    PBS with 0.02 % sodium azide,0.05 % BSA,50 % glycerol, pH 7.3.

    Agent conservateur

    Sodium azide

    Précaution d'utilisation

    This product contains Sodium azide: a POISONOUS AND HAZARDOUS SUBSTANCE which should be handled by trained staff only.

    Conseil sur la manipulation

    Avoid freeze / thaw cycles

    Stock

    -20 °C

    Stockage commentaire

    Store at -20°C. Avoid freeze / thaw cycles.
  • Antigène

    NUP153 (Nucleoporin 153kDa (NUP153))

    Autre désignation

    NUP153

    Sujet

    Nuclear pore complexes regulate the transport of macromolecules between the nucleus and cytoplasm. They are composed of at least 100 different polypeptide subunits, many of which belong to the nucleoporin family. Nucleoporins are glycoproteins found in nuclear pores and contain characteristic pentapeptide XFXFG repeats as well as O-linked N-acetylglucosamine residues oriented towards the cytoplasm. The protein encoded by this gene has three distinct domains: a N-terminal region containing a pore targeting and an RNA-binding domain domain, a central region containing multiple zinc finger motifs, and a C-terminal region containing multiple XFXFG repeats. Alternative splicing results in multiple transcript variants of this gene. [provided by RefSeq, May 2013],HNUP153, N153,Epigenetics & Nuclear Signaling,Nuclear Receptor Signaling,Signal Transduction,NUP153

    Poids moléculaire

    154 kDa

    ID gène

    9972

    UniProt

    P49790

    Pathways

    Protein targeting to Nucleus
Vous êtes ici:
Chat with us!