Tel:
+49 (0)241 95 163 153
Fax:
+49 (0)241 95 163 155
E-Mail:
orders@anticorps-enligne.fr

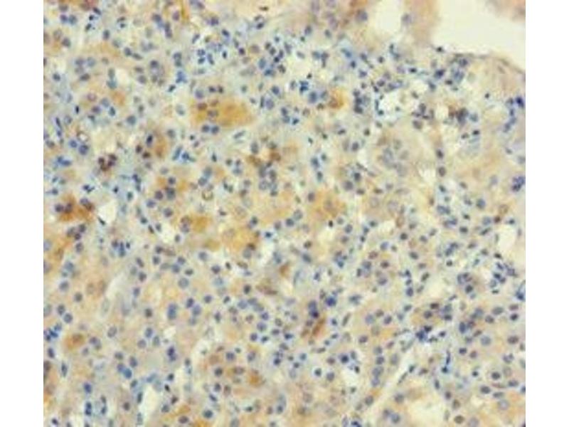
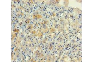
NUP153 anticorps (AA 657-880)

L’anticorps anti-NUP153 Polyclonal Lapin est utilisé pour la détection de NUP153 dans des échantillons de Humain. Il a été validé pour ELISA et IHC.
N° du produit ABIN7161819
328,90 €
Plus frais de livraison 40,00 € et TVA
Destination: France
Envoi sous 11 à 15 jours ouvrables

Aperçu rapide pour NUP153 anticorps (AA 657-880) (ABIN7161819)

Antigène

Voir toutes NUP153 Anticorps
NUP153 (Nucleoporin 153kDa (NUP153))

Reactivité

  • 45
  • 8
  • 3
  • 2
  • 2
  • 1
  • 1
  • 1
  • 1
  • 1
  • 1
Humain

Hôte

  • 44
  • 1
  • 1
  • 1
Lapin

Clonalité

  • 25
  • 22
Polyclonal

Conjugué

  • 27
  • 3
  • 2
  • 2
  • 2
  • 2
  • 2
  • 2
  • 2
  • 1
  • 1
  • 1
Cet anticorp NUP153 est non-conjugé

Application

  • 35
  • 17
  • 16
  • 16
  • 11
  • 8
  • 4
  • 2
  • 1
  • 1
ELISA, Immunohistochemistry (IHC)
  • Épitope

    • 4
    • 4
    • 3
    • 2
    • 2
    • 2
    • 2
    • 2
    • 1
    • 1
    • 1
    • 1
    AA 657-880

    Fonction

    NUP153 Antibody

    Purification

    Protein G purified

    Pureté

    >95 %

    Immunogène

    Recombinant Human Nuclear pore complex protein Nup153 protein (657-880AA)

    Isotype

    IgG
  • Indications d'application

    Optimal working dilution should be determined by the investigator.

    Restrictions

    For Research Use only
  • Format

    Liquid

    Buffer

    Preservative: 0.03 % Proclin 300
    Constituents: 50 % Glycerol, 0.01M PBS, PH 7.4

    Agent conservateur

    ProClin

    Précaution d'utilisation

    This product contains ProClin: a POISONOUS AND HAZARDOUS SUBSTANCE which should be handled by trained staff only.

    Stock

    -20 °C,-80 °C

    Stockage commentaire

    Upon receipt, store at -20°C or -80°C. Avoid repeated freeze.
  • Antigène

    NUP153 (Nucleoporin 153kDa (NUP153))

    Autre désignation

    NUP153

    Sujet

    Background: Component of the nuclear pore complex (NPC), a complex required for the trafficking across the nuclear envelope. Functions as a scaffolding element in the nuclear phase of the NPC essential for normal nucleocytoplasmic transport of proteins and mRNAs. Involved in the quality control and retention of unspliced mRNAs in the nucleus, in association with TPR, regulates the nuclear export of unspliced mRNA species bearing constitutive transport element (CTE) in a NXF1- and KHDRBS1-independent manner. Mediates TPR anchoring to the nuclear membrane at NPC. The repeat-containing domain may be involved in anchoring other components of the NPC to the pore membrane. Possible DNA-binding subunit of the nuclear pore complex (NPC).

    Aliases: 153 kDa nucleoporin antibody, HNUP153 antibody, N153 antibody, NU153_HUMAN antibody, Nuclear pore complex protein hnup153 antibody, Nuclear pore complex protein Nup153 antibody, Nucleoporin 153 kDa antibody, Nucleoporin Nup153 antibody, Nup 153 antibody, Nup153 antibody

    UniProt

    P49790

    Pathways

    Protein targeting to Nucleus
Vous êtes ici:
Chat with us!