Tel:
+49 (0)241 95 163 153
Fax:
+49 (0)241 95 163 155
E-Mail:
orders@anticorps-enligne.fr

BRCA1 anticorps (pSer1423)

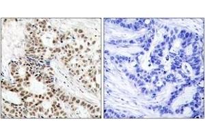
L’anticorps anti-BRCA1 Polyclonal Lapin est utilisé pour la détection de BRCA1 dans des échantillons de Humain et Rat. Il a été validé pour IHC et ELISA.
N° du produit ABIN1531790
402,00 €
Plus frais de livraison 40,00 € et TVA
Destination: France
Envoi sous 6 à 9 jours ouvrables

Aperçu rapide pour BRCA1 anticorps (pSer1423) (ABIN1531790)

Antigène

Voir toutes BRCA1 Anticorps
BRCA1 (Breast Cancer 1 (BRCA1))

Reactivité

  • 216
  • 35
  • 27
  • 3
  • 2
  • 1
  • 1
  • 1
Humain, Rat

Hôte

  • 174
  • 50
  • 2
Lapin

Clonalité

  • 177
  • 49
Polyclonal

Conjugué

  • 94
  • 19
  • 10
  • 6
  • 5
  • 5
  • 5
  • 5
  • 5
  • 5
  • 4
  • 4
  • 4
  • 4
  • 4
  • 4
  • 4
  • 4
  • 4
  • 4
  • 4
  • 3
  • 3
  • 3
  • 3
  • 3
  • 3
  • 2
  • 2
  • 1
Cet anticorp BRCA1 est non-conjugé

Application

  • 123
  • 61
  • 54
  • 41
  • 40
  • 37
  • 30
  • 27
  • 25
  • 15
  • 13
  • 10
  • 9
  • 9
  • 3
  • 2
  • 2
  • 2
  • 1
  • 1
Immunohistochemistry (IHC), ELISA
  • Épitope

    • 33
    • 21
    • 16
    • 15
    • 15
    • 13
    • 11
    • 11
    • 8
    • 7
    • 6
    • 5
    • 5
    • 4
    • 4
    • 3
    • 3
    • 3
    • 2
    • 2
    • 2
    • 2
    • 2
    • 2
    • 2
    • 1
    • 1
    • 1
    • 1
    • 1
    • 1
    • 1
    • 1
    • 1
    • 1
    • 1
    • 1
    • 1
    • 1
    • 1
    • 1
    • 1
    • 1
    • 1
    • 1
    • 1
    • 1
    • 1
    • 1
    • 1
    AA 1391-1440, pSer1423

    Specificité

    BRCA1 (Phospho-Ser1423) Antibody detects endogenous levels of BRCA1 only when phosphorylated at Ser1423.

    PhosphorylationH:S1423 R:S1380

    Purification

    The antibody was purified from rabbit antiserum by affinity-chromatography using phospho peptide. The antibody against non-phospho peptide was removed by chromatography using corresponding non-phospho peptide.

    Pureté

    > 95 %

    Immunogène

    The antiserum was produced against synthesized peptide derived from human BRCA1 around the phosphorylation site of Ser1423.

    Isotype

    IgG
  • Indications d'application

    IHC: 1:50~1:100 ELISA: 1:4000

    Commentaires

    Unigene-Number: Hs.194143 (NCBI Gene Symbol: BRCA1)

    Restrictions

    For Research Use only
  • Format

    Liquid

    Concentration

    1 mg/mL

    Buffer

    phosphate buffered saline (without Mg2+ and Ca2+), pH 7.4, 150 mM NaCl, 0.02 % sodium azide and 50 % glycerol.

    Agent conservateur

    Sodium azide

    Précaution d'utilisation

    This product contains sodium azide: a POISONOUS AND HAZARDOUS SUBSTANCE which should be handled by trained staff only.

    Stock

    -20 °C

    Stockage commentaire

    Stable at -20°C for at least 1 year.

    Date de péremption

    12 months
  • Antigène

    BRCA1 (Breast Cancer 1 (BRCA1))

    Autre désignation

    BRCA1

    Sujet

    Synonyms: BRCA1, Breast cancer type 1 susceptibility protein, familial breast/ovarian cancer gene 1

    NCBI Gene Symbol: BRCA1

    Poids moléculaire

    207 kDa

    ID gène

    672

    OMIM

    113705

    UniProt

    P38398

    Pathways

    Cycle Cellulaire, Réparation de l'ADN, Intracellular Steroid Hormone Receptor Signaling Pathway, Positive Regulation of Response to DNA Damage Stimulus
Vous êtes ici:
Chat with us!