HIRA anticorps (AA 521-570)
Aperçu rapide pour HIRA anticorps (AA 521-570) (ABIN1532676)
Antigène
Voir toutes HIRA AnticorpsReactivité
Hôte
Clonalité
Conjugué
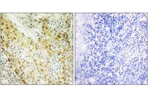
Application
-
-
Épitope
- AA 521-570
-
Specificité
-
HIRA Antibody detects endogenous levels of total HIRA protein.
-
Purification
- The antibody was purified from rabbit antiserum by affinity-chromatography using immunogen.
-
Pureté
- > 95 %
-
Immunogène
- The antiserum was produced against synthesized peptide derived from human HIRA.
-
Isotype
- IgG
-
-
-
-
Indications d'application
- IHC: 1:50~1:100 ELISA: 1:1000
-
Commentaires
-
Unigene-Number: Hs.474206 (NCBI Gene Symbol: HIRA)
-
Restrictions
- For Research Use only
-
-
-
Format
- Liquid
-
Concentration
- 1 mg/mL
-
Buffer
- phosphate buffered saline (without Mg2+ and Ca2+), pH 7.4, 150 mM NaCl, 0.02 % sodium azide and 50 % glycerol.
-
Agent conservateur
- Sodium azide
-
Précaution d'utilisation
- This product contains sodium azide: a POISONOUS AND HAZARDOUS SUBSTANCE which should be handled by trained staff only.
-
Stock
- -20 °C
-
Stockage commentaire
- Stable at -20°C for at least 1 year.
-
Date de péremption
- 12 months
-
-
- HIRA (HIR Histone Cell Cycle Regulation Defective Homolog A (HIRA))
-
Autre désignation
- HIRA
-
Sujet
-
Synonyms: DGCR1, TUP1 like enhancer of split protein 1, TUPLE1
NCBI Gene Symbol: HIRA
-
Poids moléculaire
- 111 kDa
-
ID gène
- 7290
-
OMIM
- 600237
-
UniProt
- P54198
-
Pathways
- Chromatin Binding
Antigène
-