MCM5 anticorps (AA 21-70)
Aperçu rapide pour MCM5 anticorps (AA 21-70) (ABIN1533340)
Antigène
Voir toutes MCM5 AnticorpsReactivité
Hôte
Clonalité
Conjugué
Application
-
-
Épitope
- AA 21-70
-
Specificité
-
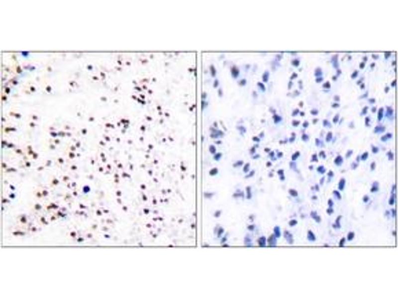
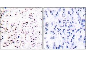
MCM5 Antibody detects endogenous levels of total MCM5 protein.
-
Purification
- The antibody was purified from rabbit antiserum by affinity-chromatography using immunogen.
-
Pureté
- > 95 %
-
Immunogène
- The antiserum was produced against synthesized peptide derived from human MCM5.
-
Isotype
- IgG
-
-
-
-
Indications d'application
- WB: 1:500~1:1000 IHC: 1:50~1:100 IF: 1:100~1:500 ELISA: 1:20000
-
Commentaires
-
Unigene-Number: Hs.517582 (NCBI Gene Symbol: MCM5)
-
Restrictions
- For Research Use only
-
-
-
Format
- Liquid
-
Concentration
- 1 mg/mL
-
Buffer
- phosphate buffered saline (without Mg2+ and Ca2+), pH 7.4, 150 mM NaCl, 0.02 % sodium azide and 50 % glycerol.
-
Agent conservateur
- Sodium azide
-
Précaution d'utilisation
- This product contains sodium azide: a POISONOUS AND HAZARDOUS SUBSTANCE which should be handled by trained staff only.
-
Stock
- -20 °C
-
Stockage commentaire
- Stable at -20°C for at least 1 year.
-
Date de péremption
- 12 months
-
-
- MCM5 (Minichromosome Maintenance Complex Component 5 (MCM5))
-
Autre désignation
- MCM5
-
Sujet
-
Synonyms: CDC46, DNA replication licensing factor MCM5, minichromosome maintenance deficient protein 5
NCBI Gene Symbol: MCM5
-
Poids moléculaire
- 82 kDa
-
ID gène
- 4174
-
OMIM
- 602696
-
UniProt
- P33992
-
Pathways
- Réparation de l'ADN, Mitotic G1-G1/S Phases, DNA Replication, Chromatin Binding, Synthesis of DNA
Antigène
-