Tel:
+49 (0)241 95 163 153
Fax:
+49 (0)241 95 163 155
E-Mail:
orders@anticorps-enligne.fr

FLIP anticorps (AA 100-251)

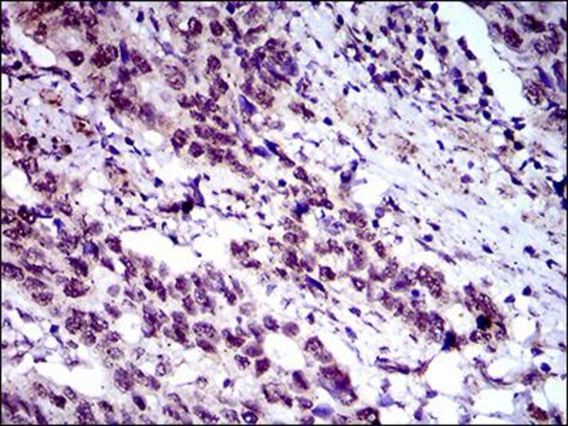
Cité dans 2 publications. Cet anticorps anti-FLIP Monoclonal Souris (Clone 7A3D12) (ABIN1724850) détecte spécifiquement FLIP dans WB, ELISA, IHC et FACS. L’anticorps est réactif avec des échantillons de Humain et Souris.
N° du produit ABIN1724850
657,84 €
Plus frais de livraison 40,00 € et TVA
100 μL
Destination: France
Envoi sous 7 à 10 jours ouvrables

Aperçu rapide pour FLIP anticorps (AA 100-251) (ABIN1724850)

Antigène

Voir toutes FLIP (CFLAR) Anticorps
FLIP (CFLAR) (CASP8 and FADD-Like Apoptosis Regulator (CFLAR))

Reactivité

  • 105
  • 68
  • 57
  • 2
  • 2
  • 2
  • 1
  • 1
Humain, Souris

Hôte

  • 96
  • 15
  • 2
Souris

Clonalité

  • 98
  • 15
Monoclonal

Conjugué

  • 59
  • 5
  • 5
  • 4
  • 3
  • 3
  • 3
  • 3
  • 3
  • 3
  • 3
  • 3
  • 3
  • 3
  • 3
  • 1
  • 1
  • 1
  • 1
  • 1
  • 1
  • 1
Cet anticorp FLIP est non-conjugé

Application

  • 100
  • 39
  • 28
  • 26
  • 19
  • 18
  • 17
  • 14
  • 13
  • 10
  • 9
  • 5
  • 1
  • 1
  • 1
Western Blotting (WB), ELISA, Immunohistochemistry (IHC), Flow Cytometry (FACS)

Clone

7A3D12
  • Épitope

    • 16
    • 15
    • 15
    • 10
    • 8
    • 8
    • 5
    • 4
    • 3
    • 2
    • 2
    • 2
    • 2
    • 2
    • 1
    • 1
    • 1
    • 1
    • 1
    • 1
    • 1
    • 1
    • 1
    • 1
    • 1
    • 1
    • 1
    • 1
    • 1
    • 1
    • 1
    AA 100-251

    Fonction

    CFLAR Antibody

    Purification

    Purified antibody

    Immunogène

    Purified recombinant fragment of human CFLAR (AA: 100-251) expressed in E. Coli.

    Isotype

    IgG1
  • Indications d'application

    ELISA: 1/10000

    FCM: 1/200 - 1/400

    Restrictions

    For Research Use only
  • Format

    Liquid

    Buffer

    Purified antibody in PBS with 0.05 % sodium azide.

    Agent conservateur

    Sodium azide

    Précaution d'utilisation

    This product contains Sodium azide: a POISONOUS AND HAZARDOUS SUBSTANCE which should be handled by trained staff only.

    Stock

    4 °C,-20 °C

    Stockage commentaire

    Store at 4°C short term. Aliquot and store at -20°C long term. Avoid freeze/thaw cycles.
  • Bedolla, Gong, Prihoda, Yeh, Thompson, Ghosh, Kumar: "Predictive value of Sp1/Sp3/FLIP signature for prostate cancer recurrence." dans: PLoS ONE, Vol. 7, Issue 9, pp. e44917, (2012) (PubMed).

    Li, Ren, Yue, Chen, Khuri, Sun: "The novel Akt inhibitor API-1 induces c-FLIP degradation and synergizes with TRAIL to augment apoptosis independent of Akt inhibition." dans: Cancer prevention research (Philadelphia, Pa.), Vol. 5, Issue 4, pp. 612-20, (2012) (PubMed).

  • Antigène

    FLIP (CFLAR) (CASP8 and FADD-Like Apoptosis Regulator (CFLAR))

    Autre désignation

    CFLAR

    Sujet

    The protein encoded by this gene is a regulator of apoptosis and is structurally similar to caspase-8. However, the encoded protein lacks caspase activity and appears to be itself cleaved into two peptides by caspase-8. Several transcript variants encoding different isoforms have been found for this gene, and partial evidence for several more variants exists.


    Poids moléculaire

    55 kDa

    ID gène

    8837

    UniProt

    O15519

    Pathways

    Apoptose, Regulation of Muscle Cell Differentiation, Skeletal Muscle Fiber Development
Vous êtes ici:
Chat with us!