Tel:
+49 (0)241 95 163 153
Fax:
+49 (0)241 95 163 155
E-Mail:
orders@anticorps-enligne.fr

DIS3L2 anticorps (AA 27-250)

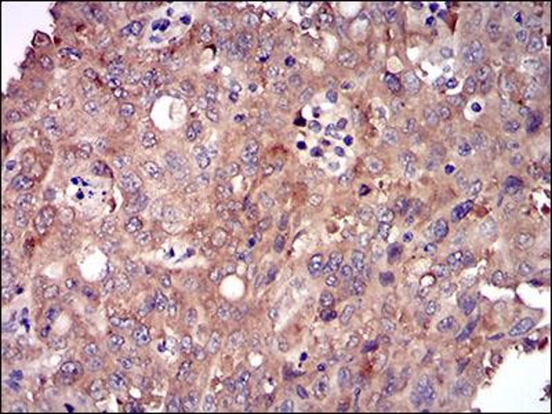
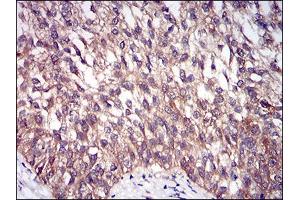
Il existe 2+ publications pour ce produit. L’anticorps anti-DIS3L2 Monoclonal Souris est utilisé pour la détection de DIS3L2 dans des échantillons de Humain. Il a été validé pour WB, ELISA, IHC et FACS.
N° du produit ABIN1724900
657,84 €
Plus frais de livraison 40,00 € et TVA
100 μL
Destination: France
Envoi sous 7 à 10 jours ouvrables

Aperçu rapide pour DIS3L2 anticorps (AA 27-250) (ABIN1724900)

Antigène

Voir toutes DIS3L2 Anticorps
DIS3L2 (DIS3-Like Exonuclease 2 (DIS3L2))

Reactivité

  • 37
  • 20
  • 20
  • 3
  • 2
  • 2
  • 1
  • 1
  • 1
  • 1
Humain

Hôte

  • 28
  • 9
  • 1
Souris

Clonalité

  • 30
  • 8
Monoclonal

Conjugué

  • 13
  • 3
  • 3
  • 2
  • 1
  • 1
  • 1
  • 1
  • 1
  • 1
  • 1
  • 1
  • 1
  • 1
  • 1
  • 1
  • 1
  • 1
  • 1
  • 1
  • 1
Cet anticorp DIS3L2 est non-conjugé

Application

  • 26
  • 13
  • 6
  • 6
  • 6
  • 1
Western Blotting (WB), ELISA, Immunohistochemistry (IHC), Flow Cytometry (FACS)

Clone

6C7B2
  • Épitope

    • 5
    • 4
    • 2
    • 1
    • 1
    • 1
    • 1
    AA 27-250

    Fonction

    DIS3L2 Antibody

    Purification

    Purified antibody

    Immunogène

    Purified recombinant fragment of human DIS3L2 (AA: 27-250) expressed in E. Coli.

    Isotype

    IgG1
  • Indications d'application

    ELISA: 1/10000

    FCM: 1/200 - 1/400

    Restrictions

    For Research Use only
  • Format

    Liquid

    Buffer

    Purified antibody in PBS with 0.05 % sodium azide.

    Agent conservateur

    Sodium azide

    Précaution d'utilisation

    This product contains Sodium azide: a POISONOUS AND HAZARDOUS SUBSTANCE which should be handled by trained staff only.

    Stock

    4 °C,-20 °C

    Stockage commentaire

    Store at 4°C short term. Aliquot and store at -20°C long term. Avoid freeze/thaw cycles.
  • Du Toit: "Cytoskeleton: Formins induce nuclear actin assembly." dans: Nature reviews. Molecular cell biology, Vol. 14, Issue 6, pp. 328, (2013) (PubMed).

    Astuti, Morris, Cooper, Staals, Wake, Fews, Gill, Gentle, Shuib, Ricketts, Cole, van Essen, van Lingen, Neri, Opitz, Rump, Stolte-Dijkstra, Müller, Pruijn, Latif, Maher: "Germline mutations in DIS3L2 cause the Perlman syndrome of overgrowth and Wilms tumor susceptibility." dans: Nature genetics, Vol. 44, Issue 3, pp. 277-84, (2012) (PubMed).

  • Antigène

    DIS3L2 (DIS3-Like Exonuclease 2 (DIS3L2))

    Autre désignation

    DIS3L2

    Sujet

    The protein encoded by this gene is similar in sequence to 3'/5' exonucleolytic subunits of the RNA exosome. The exosome is a large multimeric ribonucleotide complex responsible for degrading various RNA substrates. Several transcript variants, some protein-coding and some not, have been found for this gene.

    Poids moléculaire

    99.3 kDa

    ID gène

    129563

    UniProt

    Q8IYB7

    Pathways

    Stem Cell Maintenance
Vous êtes ici:
Chat with us!