Tel:
+49 (0)241 95 163 153
Fax:
+49 (0)241 95 163 155
E-Mail:
orders@anticorps-enligne.fr

UBC anticorps (AA 36-66)

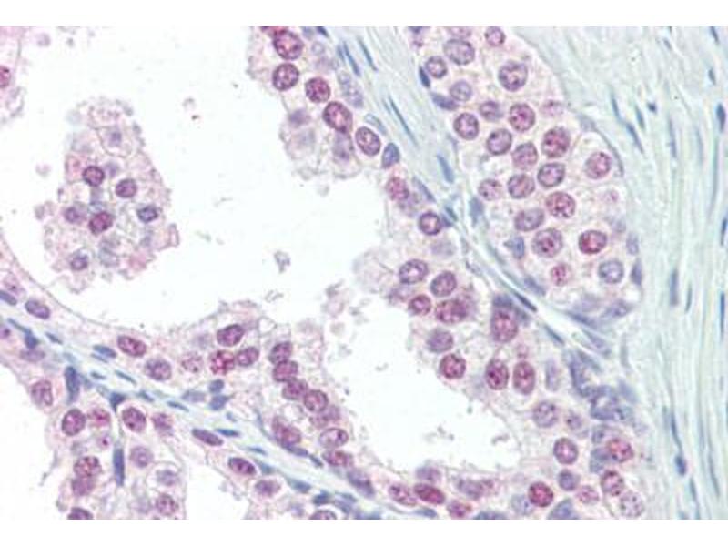
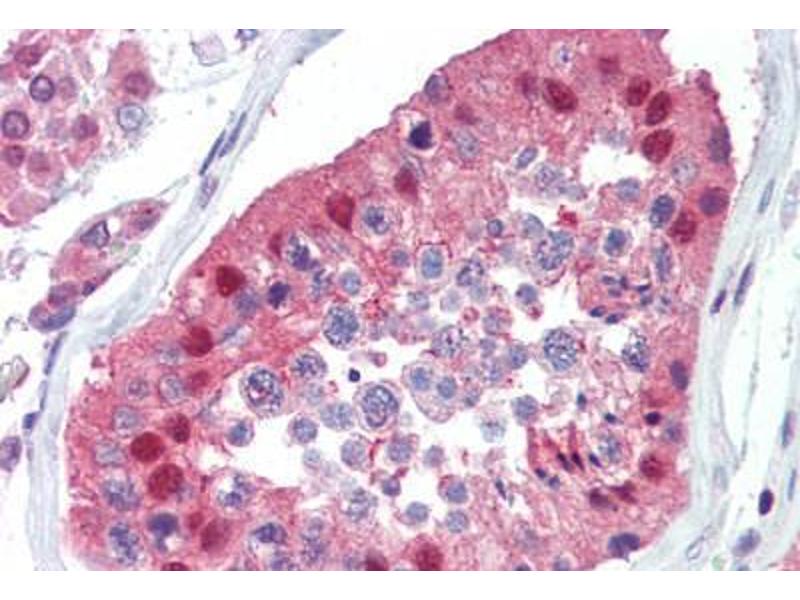
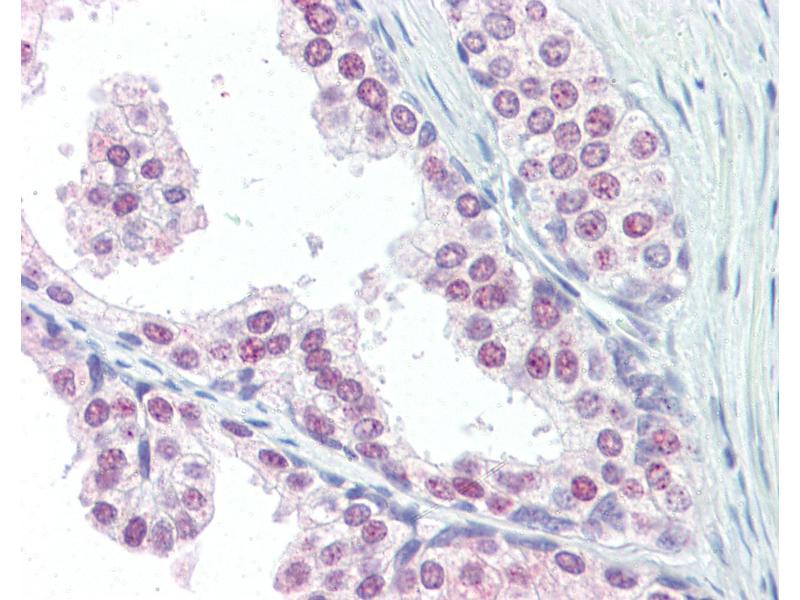
L’anticorps anti-UBC Polyclonal Lapin est utilisé pour la détection de UBC dans des échantillons de Humain. Il a été validé pour WB, IHC, IF et IHC (p).
N° du produit ABIN1804046
610,95 €
Plus frais de livraison 40,00 € et TVA
200 μL
Destination: France
Envoi sous 15 à 20 jours ouvrables

Aperçu rapide pour UBC anticorps (AA 36-66) (ABIN1804046)

Antigène

Voir toutes UBC Anticorps
UBC (Ubiquitin C (UBC))

Reactivité

  • 17
  • 2
  • 2
Humain

Hôte

  • 14
  • 3
Lapin

Clonalité

  • 14
  • 3
Polyclonal

Conjugué

  • 14
  • 1
  • 1
  • 1
Cet anticorp UBC est non-conjugé

Application

  • 11
  • 8
  • 6
  • 4
  • 2
  • 2
  • 1
Western Blotting (WB), Immunohistochemistry (IHC), Immunofluorescence (IF), Immunohistochemistry (Paraffin-embedded Sections) (IHC (p))
  • Épitope

    • 4
    • 3
    • 3
    • 1
    • 1
    AA 36-66

    Specificité

    This Ubiquitin antibody is generated from rabbits immunized with a KLH conjugated synthetic peptide between 36-66 amino acids of human Ubiquitin.

    Purification

    Ammonium sulfate precipitation
  • Indications d'application

    Approved: IF (1:10 - 1:50), IHC, IHC-P (10 μg/mL), WB (1:1000)

    Usage: Immunohistochemistry: This antibody was validated for use in immunohistochemistry on a panel of 21 formalin-fixed, paraffin-embedded (FFPE) human tissues after heat induced antigen retrieval in  pH 6.0 citrate buffer. After incubation with the primary antibody, slides were incubated with biotinylated secondary antibody, followed by alkaline phosphatase-streptavidin and chromogen. The stained slides were evaluated by a pathologist to confirm staining specificity. The optimal working concentration for this antibody was determined to be 10 μg/mL.

    Commentaires

    Target Species of Antibody: Human

    Restrictions

    For Research Use only
  • Format

    Liquid

    Concentration

    Lot specific

    Buffer

    PBS, 0.09 % sodium azide

    Agent conservateur

    Sodium azide

    Précaution d'utilisation

    This product contains Sodium azide: a POISONOUS AND HAZARDOUS SUBSTANCE which should be handled by trained staff only.

    Stock

    4 °C,-20 °C

    Stockage commentaire

    Maintain refrigerated at 2-8°C for up to 6 months. For long term storage store at -20°C.

    Date de péremption

    6 months
  • Antigène

    UBC (Ubiquitin C (UBC))

    Autre désignation

    UBC / Ubiquitin C

    Sujet

    Name/Gene ID: UBC

    Synonyms: UBC, HUBCEP52, L40, HMG20, RPL40, Ubiquitin, Polyubiquitin-C, CEP52, Ubiquitin C

    ID gène

    7316

    UniProt

    P0CG48

    Pathways

    Fc-epsilon Receptor Signaling Pathway, EGFR Signaling Pathway, Neurotrophin Signaling Pathway, Activation of Innate immune Response, Mitotic G1-G1/S Phases, DNA Replication, Toll-Like Receptors Cascades, Synthesis of DNA, EGFR Downregulation, Ubiquitin Proteasome Pathway
Vous êtes ici:
Chat with us!