TGF-beta anticorps
Aperçu rapide pour TGF-beta anticorps (ABIN1804048)
Antigène
Voir toutes TGF-beta (TGFb) AnticorpsReactivité
Hôte
Clonalité
Conjugué
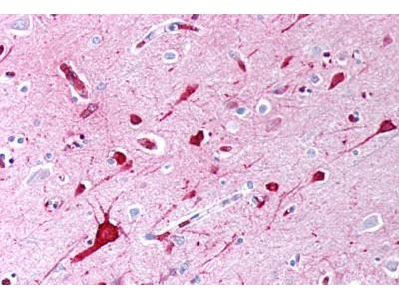
Application
Clone
-
-
Réactivité croisée
- Vison, Mustélidé, Rat (Rattus), Mouton
-
Purification
- Affinity purified
-
-
-
-
Indications d'application
- ELISA, Flo, IHC-Fr, IHC-P (1 - 2.5 µg/mL)
-
Restrictions
- For Research Use only
-
-
-
Concentration
- Lot specific
-
Buffer
- PBS, 0.09 % sodium azide
-
Agent conservateur
- Sodium azide
-
Précaution d'utilisation
- WARNING: Reagents contain sodium azide. Sodium azide is very toxic if ingested or inhaled. Avoid contact with skin, eyes, or clothing. Wear eye or face protection when handling. If skin or eye contact occurs, wash with copious amounts of water. If ingested or inhaled, contact a physician immediately. Sodium azide yields toxic hydrazoic acid under acidic conditions. Dilute azide-containing compounds in running water before discarding to avoid accumulation of potentially explosive deposits in lead or copper plumbing.
-
Conseil sur la manipulation
- Avoid repeated freezing and thawing.
-
Stock
- 4 °C/-20 °C
-
-
- TGF-beta (TGFb)
-
Autre désignation
- TGF-beta
-
Pathways
- EGFR Signaling Pathway, Cellular Response to Molecule of Bacterial Origin, Stem Cell Maintenance, Glycosaminoglycan Metabolic Process, Regulation of Muscle Cell Differentiation, Cell-Cell Junction Organization, Ribonucleoside Biosynthetic Process, Skeletal Muscle Fiber Development, Regulation of Carbohydrate Metabolic Process, Protein targeting to Nucleus
Antigène
-