PHLPP1 anticorps (N-Term)
Aperçu rapide pour PHLPP1 anticorps (N-Term) (ABIN1804212)
Antigène
Voir toutes PHLPP1 AnticorpsReactivité
Hôte
Clonalité
Conjugué
Application
-
-
Épitope
- N-Term
-
Specificité
- At least four isoforms are known to exist, this antibody will only detect the largest isoform. PHLPP1 antibody is predicted to not cross react with PHLPP2.
-
Purification
- Immunoaffinity purified
-
Isotype
- IgG
-
-
-
-
Indications d'application
-
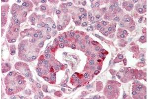
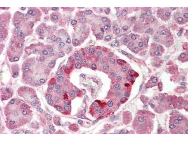
Approved: IHC, IHC-P (5 μg/mL), WB (1 - 2 μg/mL)
Usage: PHLPP1 antibody can be used for detection of PHLPP1 by Western blot at 1-2 μg/mL. -
Commentaires
-
Target Species of Antibody: Human
-
Restrictions
- For Research Use only
-
-
-
Format
- Liquid
-
Concentration
- Lot specific
-
Buffer
- PBS, 0.02 % sodium azide
-
Agent conservateur
- Sodium azide
-
Précaution d'utilisation
- This product contains Sodium azide: a POISONOUS AND HAZARDOUS SUBSTANCE which should be handled by trained staff only.
-
Conseil sur la manipulation
- Avoid repeated freezing and thawing.
-
Stock
- 4 °C,-20 °C
-
Stockage commentaire
- Store at 4°C for 3 months and -20°C, stable for up to 1 year. Avoid repeated freeze-thaw cycles.
-
Date de péremption
- 12 months
-
-
- PHLPP1 (PH Domain and Leucine Rich Repeat Protein Phosphatase 1 (PHLPP1))
-
Autre désignation
- SCOP / PHLPP
-
Sujet
-
Name/Gene ID: PHLPP1
Synonyms: PHLPP1, HSCOP, KIAA0606, PLEKHE1, SCOP, PHLPP -
ID gène
- 23239
-
UniProt
- O60346
-
Pathways
- Signalisation PI3K-Akt, Fc-epsilon Receptor Signaling Pathway, Neurotrophin Signaling Pathway
Antigène
-