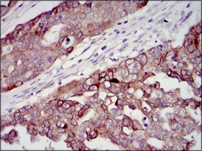
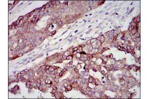
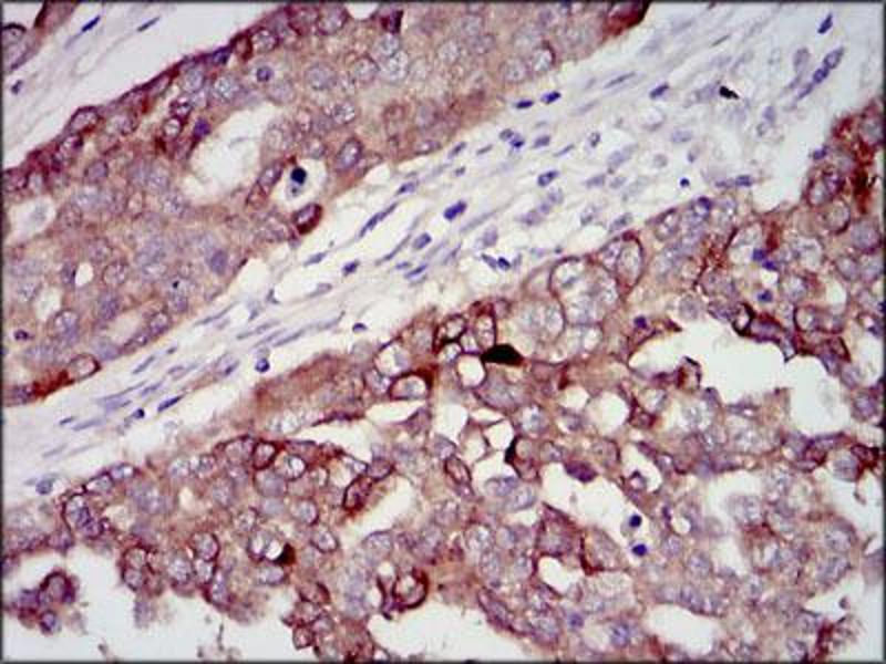
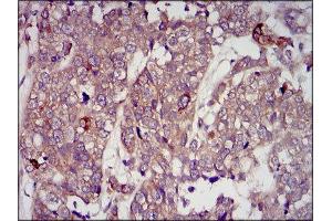
IGF2 anticorps (AA 25-180)
Aperçu rapide pour IGF2 anticorps (AA 25-180) (ABIN1846026)
Antigène
Voir toutes IGF2 AnticorpsReactivité
Hôte
Clonalité
Conjugué
Application
-
-
Épitope
- AA 25-180
-
Purification
- Purified antibody
-
Immunogène
- Purified recombinant fragment of human IGF2 (AA: 25-180) expressed in E. Coli.
-
Isotype
- IgG1
-
-
-
-
Indications d'application
- Optimal working dilution should be determined by the investigator.
-
Restrictions
- For Research Use only
-
-
-
Format
- Liquid
-
Concentration
- 1.0 mg/mL
-
Buffer
- PBS with 0.05 % sodium azide and 0.5 % protein stabilizer.
-
Agent conservateur
- Sodium azide
-
Précaution d'utilisation
- This product contains Sodium azide: a POISONOUS AND HAZARDOUS SUBSTANCE which should be handled by trained staff only.
-
Stock
- -20 °C
-
Stockage commentaire
- Aliquot and store at -20 °C. Avoid repeated freeze/thaw cycles.
-
-
- IGF2 (Insulin-Like Growth Factor 2 (IGF2))
-
Autre désignation
- Insulin Like Growth Factor 2
-
Sujet
- This gene encodes a member of the insulin family of polypeptide growth factors, which are involved in development and growth. It is an imprinted gene, expressed only from the paternal allele, and epigenetic changes at this locus are associated with Wilms tumour, Beckwith-Wiedemann syndrome, rhabdomyosarcoma, and Silver-Russell syndrome.
-
Poids moléculaire
- 20.1 kDa
-
ID gène
- 3481
-
UniProt
- P01344
-
Pathways
- Hormone Activity, Regulation of Hormone Metabolic Process, Regulation of Hormone Biosynthetic Process, Regulation of Carbohydrate Metabolic Process, Activated T Cell Proliferation
Antigène
-