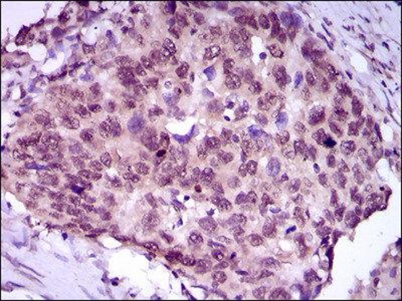
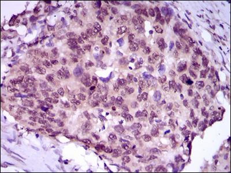
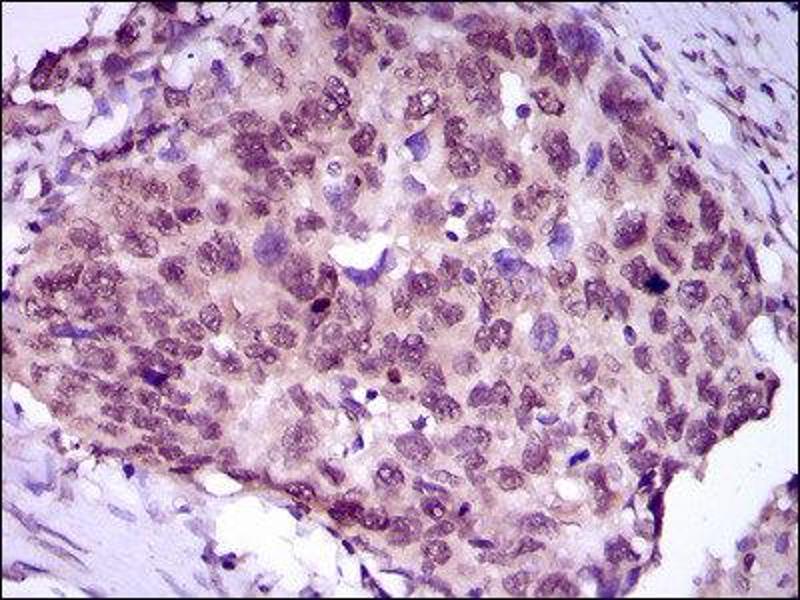
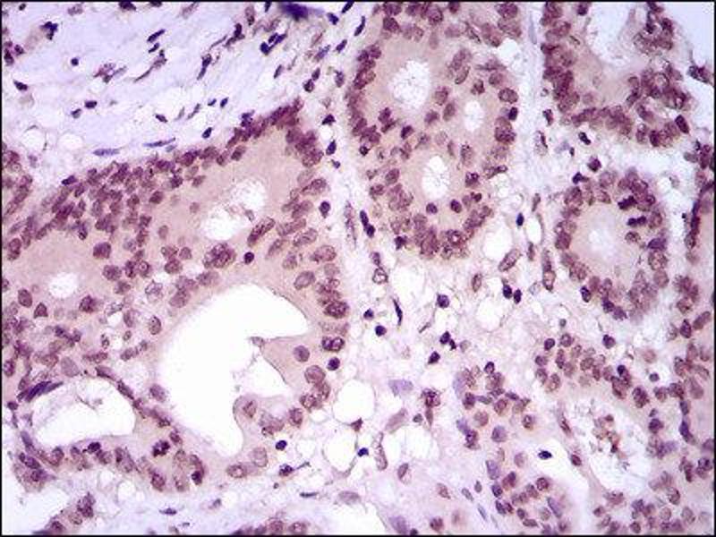
L’anticorps anti-MEF2C Monoclonal Souris est utilisé pour la détection de MEF2C dans des échantillons de Humain et Souris. Il a été validé pour WB, ELISA, IHC et FACS.
MEF2C
Reactivité: Humain
WB, IF
Hôte: Lapin
Polyclonal
unconjugated
Indications d'application
Optimal working dilution should be determined by the investigator.
Restrictions
For Research Use only
Format
Liquid
Concentration
1.0 mg/mL
Buffer
PBS with 0.05 % sodium azide and 0.5 % protein stabilizer.
Agent conservateur
Sodium azide
Précaution d'utilisation
This product contains Sodium azide: a POISONOUS AND HAZARDOUS SUBSTANCE which should be handled by trained staff only.
Stock
-20 °C
Stockage commentaire
Aliquot and store at -20 °C. Avoid repeated freeze/thaw cycles.
Antigène
MEF2C
(Myocyte Enhancer Factor 2C (MEF2C))
Autre désignation
MEF2C
Sujet
This locus encodes a member of the MADS box transcription enhancer factor 2 (MEF2) family of proteins, which play a role in myogenesis. The encoded protein, MEF2 polypeptide C, has both trans-activating and DNA binding activities. This protein may play a role in maintaining the differentiated state of muscle cells. Mutations and deletions at this locus have been associated with severe mental retardation, stereotypic movements, epilepsy, and cerebral malformation. Alternatively spliced transcript variants have been described.