Tel:
+49 (0)241 95 163 153
Fax:
+49 (0)241 95 163 155
E-Mail:
orders@anticorps-enligne.fr

YY1 anticorps

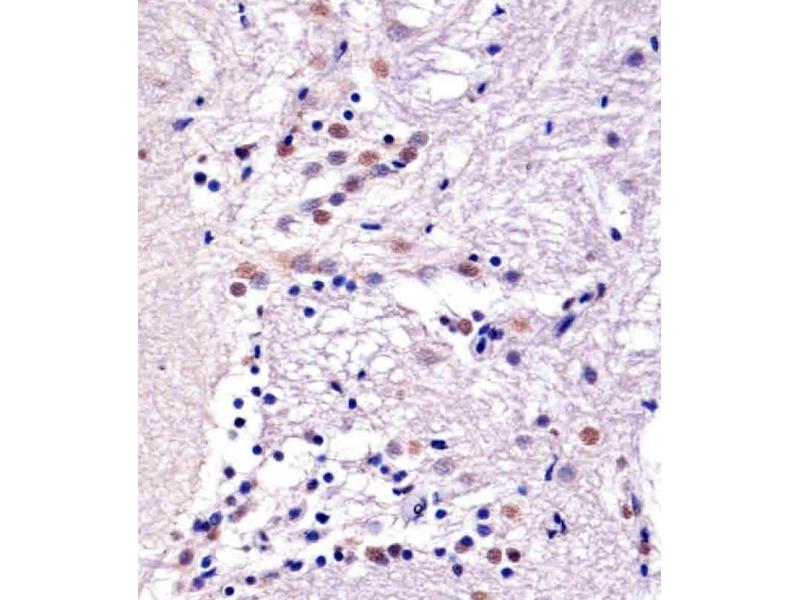
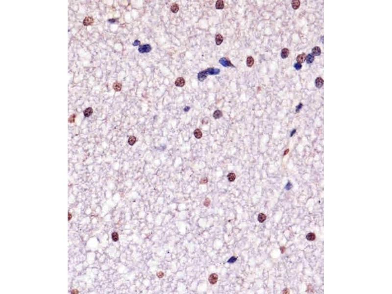
Il existe 4+ publications pour ce produit. L’anticorps anti-YY1 Monoclonal Souris est utilisé pour la détection de YY1 dans des échantillons de Humain, Rat, Poisson zèbre (Danio rerio) et Cynomolgus. Il a été validé pour WB et IHC (p).
N° du produit ABIN1882292
434,77 €
Plus frais de livraison 40,00 € et TVA
Destination: France
Envoi sous 14 à 17 jours ouvrables

Aperçu rapide pour YY1 anticorps (ABIN1882292)

Antigène

Voir toutes YY1 Anticorps
YY1 (YY1 Transcription Factor (YY1))

Reactivité

  • 102
  • 57
  • 40
  • 7
  • 6
  • 6
  • 5
  • 4
  • 4
  • 3
  • 2
  • 2
  • 2
  • 1
  • 1
Humain, Rat, Poisson zèbre (Danio rerio), Cynomolgus

Hôte

  • 87
  • 15
  • 1
Souris

Clonalité

  • 66
  • 37
Monoclonal

Conjugué

  • 65
  • 6
  • 3
  • 3
  • 3
  • 3
  • 3
  • 3
  • 3
  • 3
  • 3
  • 3
  • 1
  • 1
Cet anticorp YY1 est non-conjugé

Application

  • 86
  • 38
  • 33
  • 22
  • 20
  • 15
  • 12
  • 8
  • 3
  • 2
  • 1
  • 1
  • 1
  • 1
  • 1
  • 1
  • 1
  • 1
  • 1
Western Blotting (WB), Immunohistochemistry (Paraffin-embedded Sections) (IHC (p))

Clone

1183CT6-5-23-6
  • Purification

    This antibody is purified through a protein G column, followed by dialysis against PBS.

    Immunogène

    Purified His-tagged YY1 protein was used to produced this monoclonal antibody.

    Isotype

    IgG2a
  • Indications d'application

    WB: 1:500-1:1000. WB: 1:1000. IHC-P: 1:25. IHC-P: 1:25. IHC-P: 1:25

    Restrictions

    For Research Use only
  • Format

    Liquid

    Buffer

    Purified monoclonal antibody supplied in PBS with 0.09 % (W/V) sodium azide.

    Agent conservateur

    Sodium azide

    Précaution d'utilisation

    This product contains Sodium azide: a POISONOUS AND HAZARDOUS SUBSTANCE which should be handled by trained staff only.

    Stock

    4 °C,-20 °C

    Date de péremption

    6 months
  • Fernando, Contreras, Zampini, Rodriguez-Malave, Alberti, Anguiano, Tran, Palanichamy, Gajeton, Ung, Aros, Waters, Casero, Basso, Pigazzi, Rao: "The lncRNA CASC15 regulates SOX4 expression in RUNX1-rearranged acute leukemia." dans: Molecular cancer, Vol. 16, Issue 1, pp. 126, (2018) (PubMed).

    Burkard, Planyavsky, Kaupe, Breitwieser, Bürckstümmer, Bennett, Superti-Furga, Colinge: "Initial characterization of the human central proteome." dans: BMC systems biology, Vol. 5, pp. 17, (2011) (PubMed).

    Chen, Cai, Jin, Florens, Swanson, Washburn, Conaway, Conaway: "Subunit organization of the human INO80 chromatin remodeling complex: an evolutionarily conserved core complex catalyzes ATP-dependent nucleosome remodeling." dans: The Journal of biological chemistry, Vol. 286, Issue 13, pp. 11283-9, (2011) (PubMed).

    Kim, Kim: "YY1's longer DNA-binding motifs." dans: Genomics, Vol. 93, Issue 2, pp. 152-8, (2009) (PubMed).

  • Antigène

    YY1 (YY1 Transcription Factor (YY1))

    Autre désignation

    YY1

    Sujet

    Multifunctional transcription factor that exhibits positive and negative control on a large number of cellular and viral genes by binding to sites overlapping the transcription start site. Binds to the consensus sequence 5'-CCGCCATNTT-3', some genes have been shown to contain a longer binding motif allowing enhanced binding, the initial CG dinucleotide can be methylated greatly reducing the binding affinity. The effect on transcription regulation is depending upon the context in which it binds and diverse mechanisms of action include direct activation or repression, indirect activation or repression via cofactor recruitment, or activation or repression by disruption of binding sites or conformational DNA changes. Its activity is regulated by transcription factors and cytoplasmic proteins that have been shown to abrogate or completely inhibit YY1-mediated activation or repression. For example, it acts as a repressor in absence of adenovirus E1A protein but as an activator in its presence. May play an important role in development and differentiation. Proposed to recruit the PRC2/EED-EZH2 complex to target genes that are transcriptional repressed. Involved in DNA repair. In vitro, binds to DNA recombination intermediate structures (Holliday junctions). Proposed core component of the chromatin remodeling INO80 complex which is involved in transcriptional regulation, DNA replication and probably DNA repair, proposed to target the INO80 complex to YY1-responsive elements.

    Poids moléculaire

    44713

    NCBI Accession

    NP_003394

    UniProt

    P25490
Vous êtes ici:
Chat with us!