Tel:
+49 (0)241 95 163 153
Fax:
+49 (0)241 95 163 155
E-Mail:
orders@anticorps-enligne.fr

YY1 Anticorps

(YY1 Transcription Factor (YY1))

Choisissez l’un des 104 anticorps YY1 de notre liste de produits basés sur 8 publications et 73 images de validation.

Découvrez des anticorps YY1 fiables issus d’une large sélection de fabricants renommés. Notre portefeuille permet une détection précise de YY1 dans plusieurs espèces, y compris Human, Mouse, Rat, Dog, Zebrafish (Danio rerio), Cow, Monkey, Pig, Sheep, Chicken, Horse, Rabbit, Xenopus laevis, Cynomolgus, Guinea Pig, Hamster, et prend en charge diverses applications de recherche telles que WB, IHC, ELISA, IP, IF.

Trouvez rapidement l’anticorps adapté grâce à nos outils de recherche, de filtrage et de comparaison. Chaque page produit fournit des données de validation détaillées, des références bibliographiques et des retours d’utilisateurs. Contrairement aux ressources dédiées uniquement à la comparaison, vous pouvez acheter directement les anticorps sur notre site. Choisissez parmi des anticorps polyclonaux, monoclonaux ou recombinants YY1, issus de différents hôtes tels que Rabbit, Mouse, Chicken. Parcourez nos produits ci-dessous et commandez directement pour soutenir vos recherches en toute confiance.

Les noms alternatifs de YY1 sont yy1.L, yy1b, YY1, yy1, LOC100304682, yy1.S, Yy1, yy1a, YY2.

104 Résultats

YY1 Reactivité: Humain WB, ELISA, IF, IHC (p) Hôte: Souris Monoclonal 4A5 unconjugated
Pubmed 1 reference
N° du produit ABIN563397
651,20 €
Plus frais de livraison 40,00 € et TVA
100 μg
Destination: France
Envoi sous 8 à 9 jours ouvrables
 
YY1 Reactivité: Humain, Rat, Poisson zèbre (Danio rerio), Cynomolgus WB, IHC (p) Hôte: Souris Monoclonal 1183CT6-5-23-6 unconjugated
Pubmed 4 références
N° du produit ABIN1882292
434,77 €
Plus frais de livraison 40,00 € et TVA
400 μL (Autres quantités disponibles)
Destination: France
Envoi sous 14 à 17 jours ouvrables
 
YY1 Reactivité: Humain WB, IP, IF, ChIP Hôte: Lapin Monoclonal unconjugated
N° du produit ABIN7271428
330,00 €
Plus frais de livraison 40,00 € et TVA
100 μL (Autres quantités disponibles)
Destination: France
Envoi sous 8 à 10 jours ouvrables
 
YY1 Reactivité: Humain WB Hôte: Lapin Polyclonal unconjugated
Pubmed 1 reference
N° du produit ABIN521441
636,80 €
Plus frais de livraison 40,00 € et TVA
100 μg
Destination: France
Envoi sous 8 à 9 jours ouvrables
 
YY1 Reactivité: Humain, Souris, Rat WB Hôte: Lapin Polyclonal RB2943 unconjugated
Pubmed 1 reference
N° du produit ABIN389092
434,77 €
Plus frais de livraison 40,00 € et TVA
400 μL (Autres quantités disponibles)
Destination: France
Envoi sous 14 à 17 jours ouvrables
 
YY1 Reactivité: Humain, Souris, Rat, Porc WB, IF Hôte: Poulet Polyclonal unconjugated
Pubmed 1 reference
N° du produit ABIN2443872
796,61 €
Plus frais de livraison 40,00 € et TVA
30 μg
Destination: France
Envoi sous 25 à 32 jours ouvrables
 
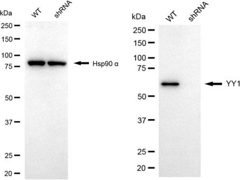
KD Validated YY1 Reactivité: Humain WB, FACS Hôte: Souris Monoclonal 24GB7020 unconjugated
N° du produit ABIN7800886
598,92 €
Plus frais de livraison 40,00 € et TVA
100 μL
Destination: France
Envoi sous 7 à 10 jours ouvrables
 
YY1 Reactivité: Humain, Souris, Rat WB, IF, ICC, FACS Hôte: Lapin Polyclonal unconjugated
N° du produit ABIN3044562
500,50 €
Plus frais de livraison 40,00 € et TVA
100 μg
Destination: France
Envoi sous 8 à 12 jours ouvrables
 
YY1 Reactivité: Humain WB, IF Hôte: Souris Polyclonal unconjugated
N° du produit ABIN521440
651,20 €
Plus frais de livraison 40,00 € et TVA
50 μg
Destination: France
Envoi sous 8 à 9 jours ouvrables
 
YY1 Reactivité: Humain WB, ChIP Hôte: Lapin Polyclonal unconjugated
N° du produit ABIN6150354
320,00 €
Plus frais de livraison 40,00 € et TVA
100 μL (Autres quantités disponibles)
Destination: France
Envoi sous 8 à 10 jours ouvrables
 
YY1 Reactivité: Humain WB, ELISA, IHC, IF, IHC (p) Hôte: Souris Monoclonal 2C4 unconjugated
N° du produit ABIN626190
512,07 €
Plus frais de livraison 40,00 € et TVA
50 μg
Destination: France
Envoi sous 15 à 20 jours ouvrables
 
YY1 Reactivité: Humain, Souris, Rat, Chien, Boeuf (Vache), Mouton, Porc, Singe, Poulet, Cheval, Lapin, Xenopus laevis, Cobaye WB, IHC, IHC (p) Hôte: Lapin Polyclonal unconjugated
N° du produit ABIN6735976
789,41 €
Plus frais de livraison 40,00 € et TVA
100 μL
Destination: France
Envoi sous 15 à 20 jours ouvrables
 
YY1 Reactivité: Humain WB, FACS Hôte: Lapin Monoclonal 23GB4790 unconjugated Recombinant Antibody
N° du produit ABIN7800887
394,31 €
Plus frais de livraison 40,00 € et TVA
100 μL
Destination: France
Envoi sous 7 à 10 jours ouvrables
 
YY1 Reactivité: Humain, Souris, Rat WB, IHC, IF, ICC, FACS Hôte: Souris Monoclonal 3F3E7 unconjugated
N° du produit ABIN7603000
500,50 €
Plus frais de livraison 40,00 € et TVA
100 μg
Destination: France
Envoi sous 8 à 12 jours ouvrables
 
YY1 Reactivité: Humain, Rat, Singe WB, IHC (p), FACS Hôte: Souris Monoclonal 3C6 unconjugated
N° du produit ABIN4915222
422,08 €
Plus frais de livraison 40,00 € et TVA
100 μL
Destination: France
Envoi sous 12 à 17 jours ouvrables
 
YY1 Reactivité: Humain WB Hôte: Lapin Polyclonal RB2945 unconjugated
N° du produit ABIN389093
434,77 €
Plus frais de livraison 40,00 € et TVA
200 μL (Autres quantités disponibles)
Destination: France
Envoi sous 14 à 17 jours ouvrables
 
YY1 Reactivité: Humain WB Hôte: Lapin Polyclonal RB40227 unconjugated
N° du produit ABIN1538085
434,77 €
Plus frais de livraison 40,00 € et TVA
400 μL (Autres quantités disponibles)
Destination: France
Envoi sous 14 à 17 jours ouvrables
 
YY1 Reactivité: Humain WB Hôte: Lapin Polyclonal unconjugated
N° du produit ABIN1501791
833,74 €
Plus frais de livraison 40,00 € et TVA
100 μL
Destination: France
Envoi sous 15 à 20 jours ouvrables
 
YY1 Reactivité: Humain, Souris, Rat, Chien, Boeuf (Vache), Poisson zèbre (Danio rerio), Poulet, Xenopus laevis WB Hôte: Lapin Polyclonal unconjugated
N° du produit ABIN6736135
789,41 €
Plus frais de livraison 40,00 € et TVA
100 μL
Destination: France
Envoi sous 15 à 20 jours ouvrables
 
YY1 Reactivité: Humain, Souris, Rat, Singe WB Hôte: Lapin Polyclonal unconjugated
N° du produit ABIN6736045
789,41 €
Plus frais de livraison 40,00 € et TVA
100 μL
Destination: France
Envoi sous 15 à 20 jours ouvrables
 
  • Type Primary
    • Primary
  • Application
    • Western Blotting (WB)
    • Immunohistochemistry (IHC)
    • ELISA
    • Immunoprecipitation (IP)
    • Immunofluorescence (IF)
    • Immunocytochemistry (ICC)
    • Immunohistochemistry (Paraffin-embedded Sections) (IHC (p))
    • Flow Cytometry (FACS)
    • Chromatin Immunoprecipitation (ChIP)
    • Immunofluorescence (Cultured Cells) (IF (cc))
    • ChIP DNA-Sequencing (ChIP-seq)
    • Dot Blot (DB)
    • Enzyme Immunoassay (EIA)
    • Immunofluorescence (Paraffin-embedded Sections) (IF (p))
    • Immunohistochemistry (Formalin-fixed Paraffin-embedded Sections) (IHC (fp))
    • Immunohistochemistry (Frozen Sections) (IHC (fro))
    • Proximity Ligation Assay (PLA)
    • Immunofluorescence (fixed cells) (IF/ICC)
    • Cleavage Under Targets and Release Using Nuclease (CUT&RUN)
  • Réactivité
    • Human
    • Mouse
    • Rat
    • Dog
    • Zebrafish (Danio rerio)
    • Cow
    • Monkey
    • Pig
    • Sheep
    • Chicken
    • Horse
    • Rabbit
    • Xenopus laevis
    • Cynomolgus
    • Guinea Pig
    • Hamster
  • Cité dans publications
  • Images disponible
  • Sans conservateur uniquement
  • Carrier free only
  • Hote
    • Rabbit
    • Mouse
    • Chicken
  • Clonalité
    • Polyclonal
    • Monoclonal
  • Clone
    • 1183CT6-5-23-6
    • 23GB4790
    • 24GB7020
    • 2C10F9
    • 2C4
    • 3A11
    • 3C6
    • 3F3E7
    • 4A5
    • 5F2
    • 6H3E1
    • 8J147
    • AIE-25
    • R01-1D3
    • RB2943
    • RB2945
    • RB40227
  • Epitope
    • AA 74-104
    • AA 268-297
    • AA 210-239
    • N-Term
    • Middle Region
    • AA 1-414
    • AA 1-50
    • AA 50-100
    • AA 1-200
    • AA 197-246
    • AA 206-241
    • AA 221-320
    • AA 221-321
    • AA 230-310
    • AA 274-323
    • AA 291-414
    • AA 301-414
    • AA 91-384
    • C-Term
    • Center
    • full length
  • Conjugué
    • Inconjugué
    • Biotin
    • APC
    • Alexa Fluor 488
    • Alexa Fluor 555
    • Alexa Fluor 594
    • Alexa Fluor 647
    • Alexa Fluor 680
    • Alexa Fluor 750
    • FITC
    • HRP
    • PE
    • Alexa Fluor 350
    • Alexa Fluor 405
  • Isotype
    • IgG
    • Ig Fraction
    • IgG2a
    • IgG1
    • IgG2b
    • IgG1 kappa
  • Type Proteine
    • Recombinant Antibody
  • Format
    • Liquid
    • Lyophilized
  • Grade
    • KD Validated
    • KO Validated, KD Validated
  • Supplier
    • antibodies-online
    • Signalway
    • Boster Bio
    • NSJ Bioreagents
    • USBio
    • Cohesion Biosciences
    • ProSci
    • Aviva Systems Biology
    • RayBiotech
    • Abbexa
    • Acris
    • Active Motif
    • Biomatik
    • Diagenode

Dernières publications pour nos YY1 Anticorps

Fernando, Contreras, Zampini, Rodriguez-Malave, Alberti, Anguiano, Tran, Palanichamy, Gajeton, Ung, Aros, Waters, Casero, Basso, Pigazzi, Rao: "The lncRNA CASC15 regulates SOX4 expression in RUNX1-rearranged acute leukemia." dans: Molecular cancer, Vol. 16, Issue 1, pp. 126, (2018) (PubMed).

Fawal, Jungas, Kischel, Audouard, Iacovoni, Davy: "Cross Talk between One-Carbon Metabolism, Eph Signaling, and Histone Methylation Promotes Neural Stem Cell Differentiation." dans: Cell reports, Vol. 23, Issue 10, pp. 2864-2873.e7, (2018) (PubMed).

Liu, Magri, Zhang, Marsh, Albrecht, Huynh, Kaur, Kuhlmann, Zhang, Slesinger, Casaccia: "Chromatin landscape defined by repressive histone methylation during oligodendrocyte differentiation." dans: The Journal of neuroscience : the official journal of the Society for Neuroscience, Vol. 35, Issue 1, pp. 352-65, (2015) (PubMed).

Gelev, Zabolotny, Lange, Hiromura, Yoo, Orlando, Kushnir, Horikoshi, Paquet, Bachvarov, Schaffer, Usheva: "A new paradigm for transcription factor TFIIB functionality." dans: Scientific reports, Vol. 4, pp. 3664, (2015) (PubMed).

Kulzer, Stitzel, Morken, Huyghe, Fuchsberger, Kuusisto, Laakso, Boehnke, Collins, Mohlke: "A common functional regulatory variant at a type 2 diabetes locus upregulates ARAP1 expression in the pancreatic beta cell." dans: American journal of human genetics, Vol. 94, Issue 2, pp. 186-97, (2014) (PubMed).

Soares, Cagnin, Chemello, Silvestrin, Musaro, De Pitta, Lanfranchi, Sandri: "Involvement of microRNAs in the regulation of muscle wasting during catabolic conditions." dans: The Journal of biological chemistry, Vol. 289, Issue 32, pp. 21909-25, (2014) (PubMed).

Holdt, Hoffmann, Sass, Langenberger, Scholz, Krohn, Finstermeier, Stahringer, Wilfert, Beutner, Gielen, Schuler, Gäbel, Bergert, Bechmann, Stadler, Thiery, Teupser: "Alu elements in ANRIL non-coding RNA at chromosome 9p21 modulate atherogenic cell functions through trans-regulation of gene networks." dans: PLoS genetics, Vol. 9, Issue 7, pp. e1003588, (2013) (PubMed).

Westendorp, Major, Nader, Salih, Leenen, Tuana: "The E2F6 repressor activates gene expression in myocardium resulting in dilated cardiomyopathy." dans: FASEB journal : official publication of the Federation of American Societies for Experimental Biology, Vol. 26, Issue 6, pp. 2569-79, (2012) (PubMed).

Bevelacqua, Bevelacqua, Candido, Skarmoutsou, Amoroso, Guarneri, Strazzanti, Gangemi, Mazzarino, DAmico, McCubrey, Libra, Malaponte: "Nectin like-5 overexpression correlates with the malignant phenotype in cutaneous melanoma." dans: Oncotarget, Vol. 3, Issue 8, pp. 882-92, (2012) (PubMed).

Shin, Lee, Park, Kim, Ryu, Park, Yu, Jang: "Gene expression profiling of human hepatoblastoma using archived formalin-fixed and paraffin-embedded tissues." dans: Virchows Archiv : an international journal of pathology, Vol. 458, Issue 4, pp. 453-65, (2011) (PubMed).

Pseudonymes pour YY1 Anticorps

YY1 transcription factor L homeolog (yy1.L) Anticorps
YY1 transcription factor b (yy1b) Anticorps
YY1 transcription factor (YY1) Anticorps
YY1 transcription factor (yy1) Anticorps
transcriptional repressor protein YY1 (LOC100304682) Anticorps
YY1 transcription factor S homeolog (yy1.S) Anticorps
YY1 transcription factor (Yy1) Anticorps
YY1 transcription factor a (yy1a) Anticorps
YY2 transcription factor (YY2) Anticorps
AW488674 Anticorps
delta Anticorps
DELTA Anticorps
fb59g10 Anticorps
FIII Anticorps
ino80s Anticorps
INO80S Anticorps
LOC494431 Anticorps
LOC100304682 Anticorps
MGC83714 Anticorps
nf-e1 Anticorps
NF-E1 Anticorps
ucrbp Anticorps
UCRBP Anticorps
wu:fa16g07 Anticorps
wu:fb59g10 Anticorps
xyy1 Anticorps
yin-yang-1 Anticorps
YIN-YANG-1 Anticorps
YY1 Anticorps
yy1 Anticorps
yy1-a Anticorps
yy1l Anticorps
zgc:64207 Anticorps
Vous êtes ici:
Chat with us!