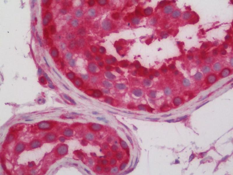
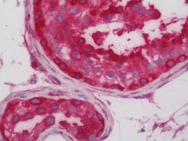
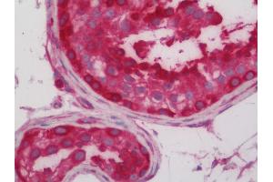
PPM1F anticorps (AA 275-303) (HRP)
Aperçu rapide pour PPM1F anticorps (AA 275-303) (HRP) (ABIN1925752)
Antigène
Voir toutes PPM1F AnticorpsReactivité
Hôte
Clonalité
Conjugué
Application
-
-
Épitope
- AA 275-303
-
Specificité
- This PPM1F antibody is generated from rabbits immunized with a KLH conjugated synthetic peptide between 275-303 amino acids from the Central region of human PPM1F.
-
Purification
- Affinity purified
-
Isotype
- IgG
-
-
-
-
Indications d'application
-
Approved: ELISA, IHC, IHC-P, WB
Usage: The applications listed have been tested for the base form of this product. Alternate forms, such as conjugated, azide-free, or ready-to-use, have not been tested. -
Commentaires
-
Target Species of Antibody: Human
-
Restrictions
- For Research Use only
-
-
-
Format
- Liquid
-
Concentration
- Lot specific
-
Buffer
- PBS, no preservatives added
-
Agent conservateur
- Without preservative
-
Conseil sur la manipulation
- Aliquot to avoid repeated freezing and thawing.
-
Stock
- 4 °C,-20 °C
-
Stockage commentaire
- Short term: store at 4°C. Long term: aliquot and store -20°C for up to 6 months. Avoid freeze-thaw cycles. Protect from light.
-
Date de péremption
- 6 months
-
-
- PPM1F (Protein Phosphatase 1F (PP2C Domain Containing) (PPM1F))
-
Autre désignation
- PPM1F
-
Sujet
-
Name/Gene ID: PPM1F
Subfamily: PP2C
Family: Protein Phosphatase
Synonyms: PPM1F, CAMKP, CaMKPase, FEM-2, PP2C phosphatase, Protein fem-2 homolog, Protein phosphatase 1F, POPX2, CaM-kinase phosphatase, HFEM-2, KIAA0015, Partner of PIX 2 -
ID gène
- 9647
-
Pathways
- Positive Regulation of Endopeptidase Activity
Antigène
-