Angiotensin I Converting Enzyme 1 anticorps (AA 31-130)
Aperçu rapide pour Angiotensin I Converting Enzyme 1 anticorps (AA 31-130) (ABIN2173528)
Antigène
Voir toutes Angiotensin I Converting Enzyme 1 (ACE) AnticorpsReactivité
Hôte
Clonalité
Conjugué
Application
-
-
Épitope
- AA 31-130
-
Réactivité croisée
- Humain, Rat
-
Homologie
- Mouse
-
Purification
- Purified by Protein A.
-
Immunogène
- KLH conjugated synthetic peptide derived from human DCP
-
Isotype
- IgG
-
-
-
-
Indications d'application
-
WB 1:300-5000
ELISA 1:500-1000
FCM 1:20-100
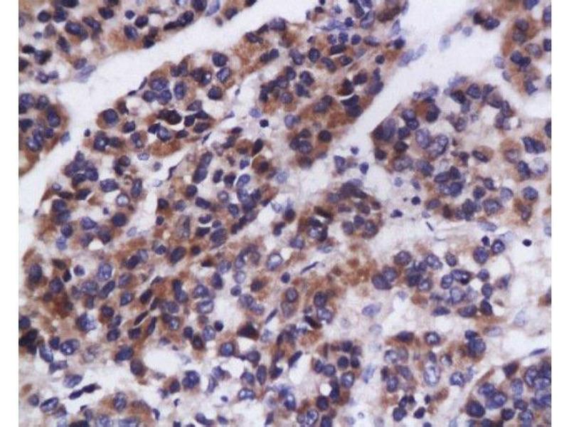
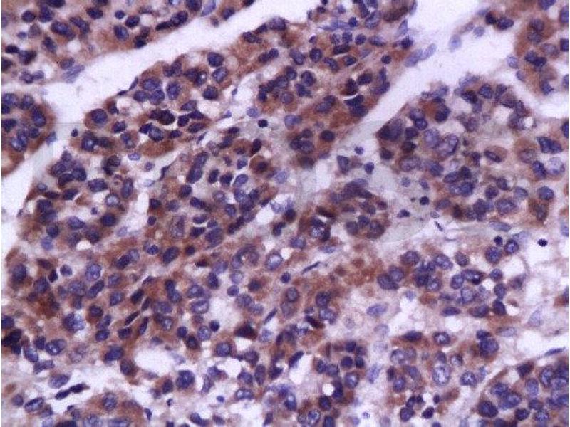
IHC-P 1:200-400
IHC-F 1:100-500
IF(IHC-P) 1:50-200
IF(IHC-F) 1:50-200
IF(ICC) 1:50-200 -
Restrictions
- For Research Use only
-
-
-
Format
- Liquid
-
Concentration
- 1 μg/μL
-
Buffer
- 0.01M TBS( pH 7.4) with 1 % BSA, 0.02 % Proclin300 and 50 % Glycerol.
-
Agent conservateur
- ProClin
-
Précaution d'utilisation
- This product contains ProClin: a POISONOUS AND HAZARDOUS SUBSTANCE, which should be handled by trained staff only.
-
Stock
- 4 °C,-20 °C
-
Stockage commentaire
- Shipped at 4°C. Store at -20°C for one year. Avoid repeated freeze/thaw cycles.
-
Date de péremption
- 12 months
-
-
- Angiotensin I Converting Enzyme 1 (ACE) (Angiotensin I Converting Enzyme (Peptidyl-Dipeptidase A) 1 (ACE))
-
Autre désignation
- DCP
-
Sujet
-
Synonyms: PT, THPH1, RPRGL2, Prothrombin, Coagulation factor II, F2, Thrombin Activation peptide fragment 1
Background: Thrombin, which cleaves bonds after Arg and Lys, converts fibrinogen to fibrin and activates factors V, VII, VIII, XIII, and, in complex with thrombomodulin, protein C. Functions in blood homeostasis, inflammation and wound healing.
-
ID gène
- 2147
-
UniProt
- P00734
-
Pathways
- ACE Inhibitor Pathway, Peptide Hormone Metabolism, Regulation of Systemic Arterial Blood Pressure by Hormones, Feeding Behaviour, Smooth Muscle Cell Migration
Antigène
-