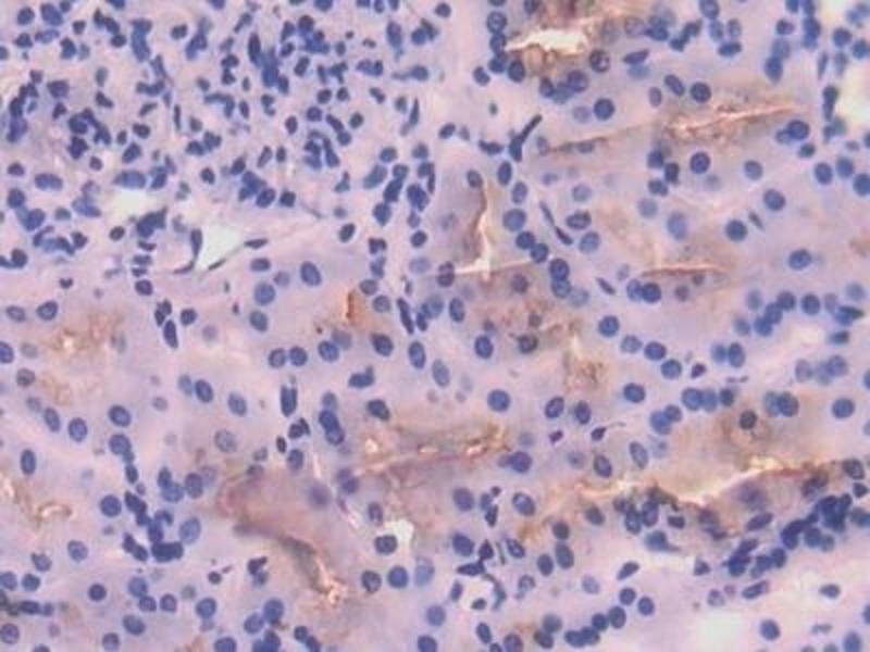
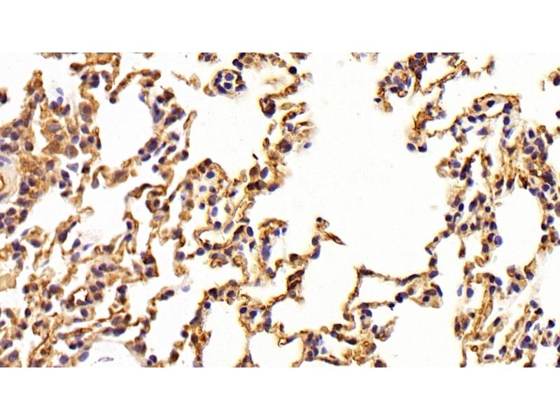
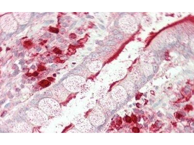
Angiotensin I Converting Enzyme 1 anticorps (AA 814-1071)
Aperçu rapide pour Angiotensin I Converting Enzyme 1 anticorps (AA 814-1071) (ABIN7430297)
Antigène
Voir toutes Angiotensin I Converting Enzyme 1 (ACE) AnticorpsReactivité
Hôte
Clonalité
Conjugué
Application
-
-
Épitope
- AA 814-1071
-
Fonction
- Polyclonal Antibody to Angiotensin I Converting Enzyme (ACE)
-
Specificité
- The antibody is a rabbit polyclonal antibody raised against ACE. It has been selected for its ability to recognize ACE in immunohistochemical staining and western blotting.
-
Réactivité croisée
- Rat
-
Purification
- Antigen-specific affinity chromatography followed by Protein A affinity chromatography
-
Immunogène
- Recombinant Angiotensin I Converting Enzyme (ACE) corresdonding to Arg814~Gln1071 with N-terminal His and GST Tag
-
Isotype
- IgG
-
-
-
-
Indications d'application
- Western blotting: 0.01-4 μg/mL,Immunohistochemistry: 5-20 μg/mL,Optimal working dilutions must be determined by end user.
-
Commentaires
-
The thermal stability is described by the loss rate. The loss rate was determined by accelerated thermal degradation test, that is, incubate the protein at 37°C for 48h, and no obvious degradation and precipitation were observed. The loss rate is less than 5% within the expiration date under appropriate storage condition.
-
Restrictions
- For Research Use only
-
-
-
Format
- Liquid
-
Concentration
- 0.41 mg/mL
-
Buffer
- 0.01M PBS, pH 7.4, containing 0.05 % Proclin-300, 50 % glycerol.
-
Agent conservateur
- ProClin
-
Précaution d'utilisation
- This product contains ProClin: a POISONOUS AND HAZARDOUS SUBSTANCE which should be handled by trained staff only.
-
Stock
- 4 °C,-20 °C
-
Stockage commentaire
- Store at 4°C for frequent use. Stored at -20°C in a manual defrost freezer for two year without detectable loss of activity. Avoid repeated freeze-thaw cycles.
-
Date de péremption
- 24 months
-
-
- Angiotensin I Converting Enzyme 1 (ACE) (Angiotensin I Converting Enzyme (Peptidyl-Dipeptidase A) 1 (ACE))
-
Autre désignation
- Angiotensin I Converting Enzyme
-
Sujet
- CD143, ACE1, DCP1, ACEI, ACE-I, Kininase II, Angiotensin-Converting Enzyme, Peptidyl-Dipeptidase A, Dipeptidyl Carboxypeptidase 1, Angiotensin-converting enzyme, soluble form
-
UniProt
- P12821
-
Pathways
- ACE Inhibitor Pathway, Peptide Hormone Metabolism, Regulation of Systemic Arterial Blood Pressure by Hormones, Feeding Behaviour, Smooth Muscle Cell Migration
Antigène
-