Tel:
+49 (0)241 95 163 153
Fax:
+49 (0)241 95 163 155
E-Mail:
orders@anticorps-enligne.fr

PODXL anticorps (FITC)

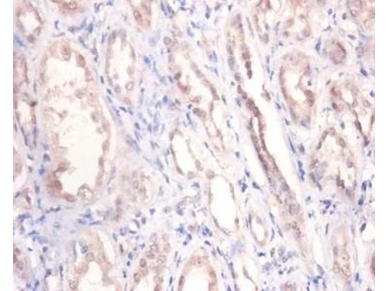
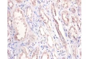
L’anticorps anti-PODXL Polyclonal Lapin est utilisé pour la détection de PODXL dans des échantillons de Humain. Il a été validé pour WB, IHC, ELISA et IHC (p).
N° du produit ABIN2581230
678,59 €
Plus frais de livraison 40,00 € et TVA
Destination: France
Envoi sous 15 à 20 jours ouvrables

Aperçu rapide pour PODXL anticorps (FITC) (ABIN2581230)

Antigène

Voir toutes PODXL Anticorps
PODXL (Podocalyxin-Like (PODXL))

Reactivité

  • 121
  • 27
  • 15
  • 11
  • 1
  • 1
Humain

Hôte

  • 76
  • 57
  • 2
  • 1
Lapin

Clonalité

  • 89
  • 47
Polyclonal

Conjugué

  • 63
  • 10
  • 8
  • 6
  • 3
  • 3
  • 3
  • 3
  • 3
  • 3
  • 3
  • 3
  • 3
  • 3
  • 3
  • 3
  • 3
  • 3
  • 3
  • 2
  • 1
  • 1
Cet anticorp PODXL est conjugé à/à la FITC

Application

  • 76
  • 61
  • 41
  • 35
  • 34
  • 28
  • 20
  • 19
  • 9
  • 9
  • 5
  • 4
  • 1
  • 1
  • 1
  • 1
  • 1
  • 1
Western Blotting (WB), Immunohistochemistry (IHC), ELISA, Immunohistochemistry (Paraffin-embedded Sections) (IHC (p))
  • Specificité

    Human PODXL / Podocalyxin

    Purification

    Caprylic acid and ammonium sulfate precipitation

    Immunogène

    Recombinant human Podocalyxin protein.

    Type of Immunogen: Recombinant protein

    Isotype

    IgG
  • Indications d'application

    Approved: ELISA, IHC, IHC-P, WB

    Usage: The applications listed have been tested for the unconjugated form of this product. Other forms have not been tested.

    Commentaires

    Target Species of Antibody: Human

    Restrictions

    For Research Use only
  • Format

    Liquid

    Concentration

    Lot specific

    Buffer

    PBS,  pH 7.4, 0.03 % Proclin 300, 50 % glycerol.

    Agent conservateur

    ProClin

    Précaution d'utilisation

    This product contains ProClin: a POISONOUS AND HAZARDOUS SUBSTANCE which should be handled by trained staff only.

    Conseil sur la manipulation

    Avoid freeze-thaw cycles.

    Stock

    -20 °C,-80 °C

    Stockage commentaire

    Aliquot and store at -20°C or -80°C. Avoid freeze-thaw cycles.
  • Antigène

    PODXL (Podocalyxin-Like (PODXL))

    Autre désignation

    PODXL / Podocalyxin

    Sujet

    Name/Gene ID: PODXL

    Synonyms: PODXL, GCTM-2 antigen, gp200, PCLP, PCLP-1, PCLP1, Podocalyxin-like protein 1, Podocalyxin, Podocalyxin-like, TRA-1-60, TRA-1-81

    ID gène

    5420

    Pathways

    Tube Formation
Vous êtes ici:
Chat with us!