CAND1 anticorps (AA 1180-1230)
Aperçu rapide pour CAND1 anticorps (AA 1180-1230) (ABIN2629240)
Antigène
Voir toutes CAND1 AnticorpsReactivité
Hôte
Clonalité
Conjugué
Application
-
-
Épitope
- AA 1180-1230
-
Specificité
- Region between residue 1180 and 1230 of human Cullin-Associated and Neddylation-Dissociated 1 using the numbering given in entry NP_060918.2 (GeneID 55832).
-
Purification
- Immunoaffinity purified
-
Isotype
- IgG
-
-
-
-
Indications d'application
-
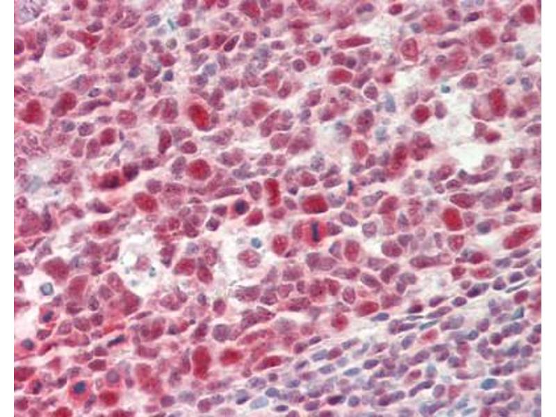
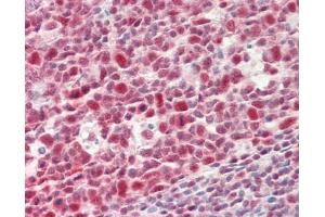
Approved: IF (1:500 - 1:2500), IHC, IHC-P (7.5 μg/mL), IP (2 - 5 μg/mg lysate), WB (1:2000 - 1:10000)
Usage: Immunohistochemistry: Antigen retrieval with citrate buffer pH 6.0 is recommended for FFPE tissue sections. Human controls: Breast Carcinoma, Non-Small Cell Lung Cancer, Ovarian Carcinoma, Testicular Seminoma. -
Commentaires
-
Target Species of Antibody: Human
-
Restrictions
- For Research Use only
-
-
-
Format
- Liquid
-
Concentration
- Lot specific
-
Buffer
- Tris-citrate/phosphate buffer, pH 7-8, 0.09 % sodium azide.
-
Agent conservateur
- Sodium azide
-
Précaution d'utilisation
- This product contains Sodium azide: a POISONOUS AND HAZARDOUS SUBSTANCE which should be handled by trained staff only.
-
Stock
- 4 °C
-
Stockage commentaire
- Store at 2-8°C for up to 1 year.
-
Date de péremption
- 12 months
-
-
- CAND1 (Cullin-Associated and Neddylation-Dissociated 1 (CAND1))
-
Autre désignation
- TIP120 / CAND1
-
Sujet
-
Name/Gene ID: CAND1
Synonyms: CAND1, KIAA0829, TBP interacting protein, TBP-interacting protein 120A, TIP120, p120 CAND1, TIP120A -
ID gène
- 55832
-
Pathways
- Regulation of Actin Filament Polymerization
Antigène
-