Tel:
+49 (0)241 95 163 153
Fax:
+49 (0)241 95 163 155
E-Mail:
orders@anticorps-enligne.fr

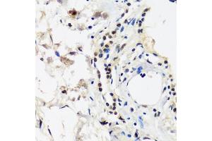
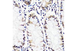
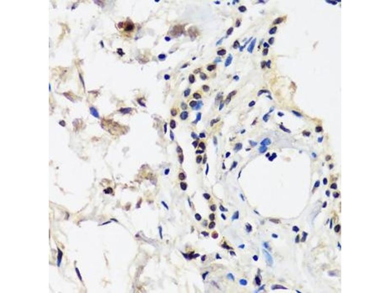
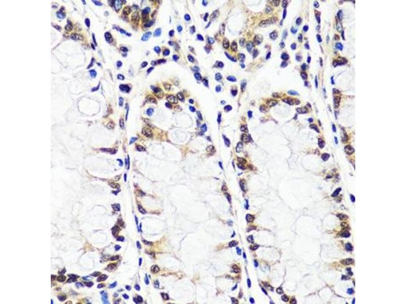
CAND1 anticorps (AA 750-980)

Cet anticorps anti-CAND1 Polyclonal Lapin (ABIN7266546) détecte spécifiquement CAND1 dans WB et IHC. L’anticorps est réactif avec des échantillons de Humain.
N° du produit ABIN7266546
320,00 €
Plus frais de livraison 40,00 € et TVA
Destination: France
Envoi sous 8 à 10 jours ouvrables

Aperçu rapide pour CAND1 anticorps (AA 750-980) (ABIN7266546)

Antigène

Voir toutes CAND1 Anticorps
CAND1 (Cullin-Associated and Neddylation-Dissociated 1 (CAND1))

Reactivité

  • 21
  • 11
  • 9
  • 5
  • 5
  • 4
  • 4
  • 4
  • 4
  • 2
  • 2
  • 2
  • 2
  • 2
  • 1
Humain

Hôte

  • 16
  • 5
Lapin

Clonalité

  • 17
  • 4
Polyclonal

Conjugué

  • 18
  • 1
  • 1
  • 1
Cet anticorp CAND1 est non-conjugé

Application

  • 14
  • 10
  • 6
  • 5
  • 4
  • 3
  • 1
Western Blotting (WB), Immunohistochemistry (IHC)
  • Épitope

    • 4
    • 4
    • 2
    • 2
    • 2
    • 1
    • 1
    • 1
    AA 750-980

    Fonction

    CAND1 Rabbit pAb

    Séquence

    GALSAMLDFF QALVVTGTNN LGYMDLLRML TGPVYSQSTA LTHKQSYYSI AKCVAALTRA CPKEGPAVVG QFIQDVKNSR STDSIRLLAL LSLGEVGHHI DLSGQLELKS VILEAFSSPS EEVKSAASYA LGSISVGNLP EYLPFVLQEI TSQPKRQYLL LHSLKEIISS ASVVGLKPYV ENIWALLLKH CECAEEGTRN VVAECLGKLT LIDPETLLPR LKGYLISGSS Y

     Réactivité croisée

    Humain, Souris, Rat

    Attributs du produit

    Polyclonal Antibodies

    Purification

    Affinity purification

    Immunogène

    Recombinant fusion protein containing a sequence corresponding to amino acids 750-980 of human CAND1 (NP_060918.2).

    Isotype

    IgG
  • Indications d'application

    WB,1:500 - 1:2000,IHC,1:50 - 1:100

    Restrictions

    For Research Use only
  • Format

    Liquid

    Buffer

    PBS with 0.02 % sodium azide,50 % glycerol, pH 7.3.

    Agent conservateur

    Sodium azide

    Précaution d'utilisation

    This product contains Sodium azide: a POISONOUS AND HAZARDOUS SUBSTANCE which should be handled by trained staff only.

    Stock

    -20 °C

    Stockage commentaire

    Store at -20°C. Avoid freeze / thaw cycles.
  • Antigène

    CAND1 (Cullin-Associated and Neddylation-Dissociated 1 (CAND1))

    Autre désignation

    CAND1

    Sujet

    This gene encodes an essential regulator of Cullin-RING ubiquitin ligases, which are in involved in ubiquitinylation of proteins degraded by the Ub proteasome system. The encoded protein binds to unneddylated cullin-RING box protein complexes and acts as an inhibitor of cullin neddylation and of Skp1, cullin, and F box ubiquitin ligase complex assembly and activity. In mammalian cell culture, this protein predominantly localizes to the cytoplasm. Knockdown of this gene in preadipocytes results in blocked adipogenesis. Alternative splicing results in multiple transcript variants.,CAND1,TIP120,TIP120A,Epigenetics & Nuclear Signaling,Cell Biology & Developmental Biology,Cell Cycle,Ubiquitin,CAND1

    Poids moléculaire

    45kDa/117kDa/136kDa

    ID gène

    55832

    UniProt

    Q86VP6

    Pathways

    Regulation of Actin Filament Polymerization
Vous êtes ici:
Chat with us!