CAND1 anticorps
Aperçu rapide pour CAND1 anticorps (ABIN7257782)
Antigène
Voir toutes CAND1 AnticorpsReactivité
Hôte
Clonalité
Conjugué
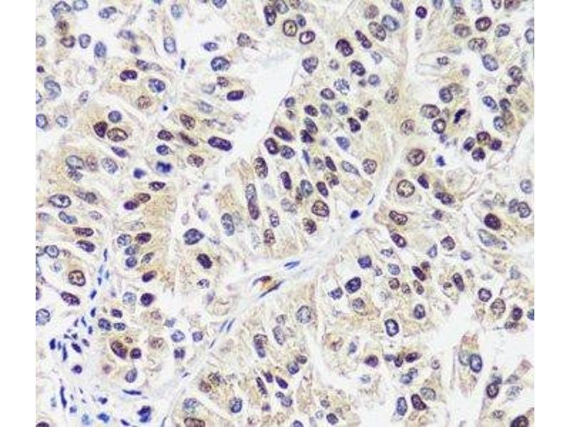
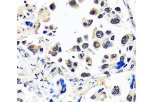
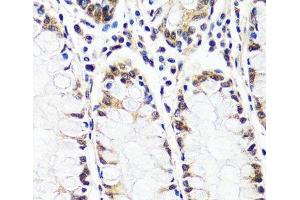
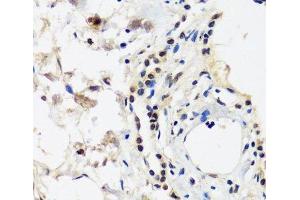
Application
-
-
Attributs du produit
- Polyclonal Antibody
-
Purification
- Affinity purification
-
Immunogène
- Recombinant fusion protein of human CAND1 (NP_060918.2).
-
Isotype
- IgG
-
-
-
-
Indications d'application
- IHC 1:50-1:100
-
Restrictions
- For Research Use only
-
-
-
Format
- Liquid
-
Concentration
- 1 mg/mL
-
Buffer
- PBS with 0.02 % sodium azide, 50 % glycerol, pH 7.3
-
Agent conservateur
- Sodium azide
-
Précaution d'utilisation
- This product contains Sodium azide: a POISONOUS AND HAZARDOUS SUBSTANCE which should be handled by trained staff only.
-
Stock
- -20 °C
-
Stockage commentaire
- Store at -20°C. Avoid freeze / thaw cycles.
-
-
- CAND1 (Cullin-Associated and Neddylation-Dissociated 1 (CAND1))
-
Autre désignation
- CAND1
-
Sujet
- This gene encodes an essential regulator of Cullin-RING ubiquitin ligases, which are in involved in ubiquitinylation of proteins degraded by the Ub proteasome system. The encoded protein binds to unneddylated cullin-RING box protein complexes and acts as an inhibitor of cullin neddylation and of Skp1, cullin, and F box ubiquitin ligase complex assembly and activity. In mammalian cell culture, this protein predominantly localizes to the cytoplasm. Knockdown of this gene in preadipocytes results in blocked adipogenesis. Alternative splicing results in multiple transcript variants.
-
ID gène
- 55832
-
UniProt
- Q86VP6
-
Pathways
- Regulation of Actin Filament Polymerization
Antigène
-