Tel:
+49 (0)241 95 163 153
Fax:
+49 (0)241 95 163 155
E-Mail:
orders@anticorps-enligne.fr

PRPSAP2 anticorps

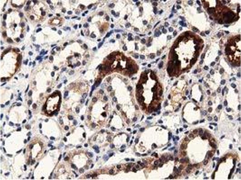
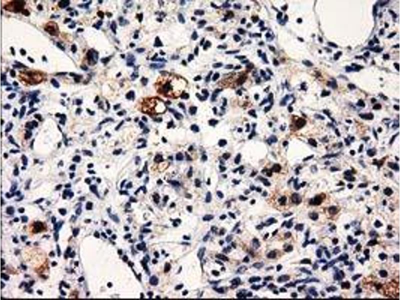
L’anticorps anti-PRPSAP2 Monoclonal Souris est utilisé pour la détection de PRPSAP2 dans des échantillons de Humain. Il a été validé pour WB, IHC, IF et FACS.
N° du produit ABIN2729837
627,08 €
Plus frais de livraison 40,00 € et TVA
0.1 mL
Destination: France
Envoi sous 7 à 9 jours ouvrables

Aperçu rapide pour PRPSAP2 anticorps (ABIN2729837)

Antigène

Voir toutes PRPSAP2 Anticorps
PRPSAP2 (phosphoribosyl Pyrophosphate Synthetase-Associated Protein 2 (PRPSAP2))

Reactivité

  • 33
  • 21
  • 20
  • 3
  • 3
  • 3
  • 3
  • 3
  • 2
  • 2
  • 2
  • 2
  • 1
Humain

Hôte

  • 31
  • 2
Souris

Clonalité

  • 33
Monoclonal

Conjugué

  • 14
  • 2
  • 2
  • 1
  • 1
  • 1
  • 1
  • 1
  • 1
  • 1
  • 1
  • 1
  • 1
  • 1
  • 1
  • 1
  • 1
  • 1
Cet anticorp PRPSAP2 est non-conjugé

Application

  • 27
  • 13
  • 13
  • 7
  • 6
  • 6
  • 5
  • 4
  • 3
  • 3
  • 2
  • 2
  • 1
  • 1
Western Blotting (WB), Immunohistochemistry (IHC), Immunofluorescence (IF), Flow Cytometry (FACS)

Clone

1E3
Vous êtes ici:
Chat with us!