Tel:
+49 (0)241 95 163 153
Fax:
+49 (0)241 95 163 155
E-Mail:
orders@anticorps-enligne.fr

SQSTM1 anticorps

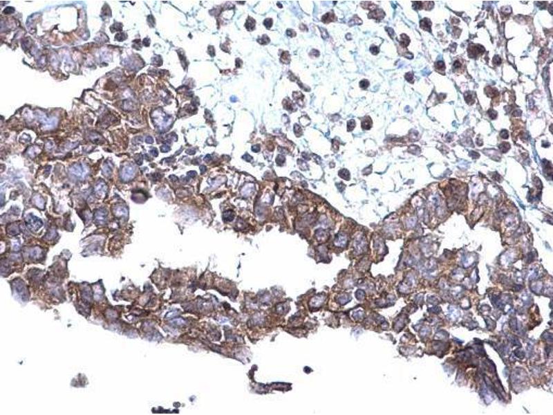
Cité dans 13 publications. Cet anticorps anti-SQSTM1 Polyclonal Lapin (ABIN2854836) détecte spécifiquement SQSTM1 dans WB, IF, ICC, IP, FACS, IHC (p) et PLA. L’anticorps est réactif avec des échantillons de Humain.
N° du produit ABIN2854836
583,17 €
Plus frais de livraison 40,00 € et TVA
100 μL
Destination: France
Envoi sous 7 à 10 jours ouvrables

Aperçu rapide pour SQSTM1 anticorps (ABIN2854836)

Antigène

Voir toutes SQSTM1 Anticorps
SQSTM1 (Sequestosome 1 (SQSTM1))

Reactivité

  • 158
  • 68
  • 66
  • 18
  • 6
  • 4
  • 4
  • 4
  • 3
  • 2
  • 2
  • 2
  • 1
  • 1
  • 1
  • 1
Humain

Hôte

  • 129
  • 32
  • 1
Lapin

Clonalité

  • 103
  • 59
Polyclonal

Conjugué

  • 82
  • 11
  • 9
  • 5
  • 5
  • 5
  • 5
  • 5
  • 5
  • 5
  • 5
  • 5
  • 2
  • 2
  • 1
  • 1
  • 1
  • 1
  • 1
  • 1
  • 1
  • 1
  • 1
  • 1
  • 1
Cet anticorp SQSTM1 est non-conjugé

Application

  • 122
  • 66
  • 62
  • 52
  • 43
  • 31
  • 29
  • 18
  • 14
  • 14
  • 13
  • 4
  • 3
  • 2
  • 2
  • 1
Western Blotting (WB), Immunofluorescence (IF), Immunocytochemistry (ICC), Immunoprecipitation (IP), Flow Cytometry (FACS), Immunohistochemistry (Paraffin-embedded Sections) (IHC (p)), Proximity Ligation Assay (PLA)

Classe de qualité

KO Validated
  •  Réactivité croisée

    Bee, Boeuf (Vache), Humain, Moustique, Souris, Rat, Poisson zèbre (Danio rerio)

    Attributs du produit

    Rabbit Polyclonal antibody to SQSTM1 (sequestosome 1)
    SQSTM1 antibody [N3C1], Internal

    Purification

    Purified by antigen-affinity chromatography.

    Immunogène

    Carrier-protein conjugated synthetic peptide encompassing a sequence within the center region of human SQSTM1 / P62. The exact sequence is proprietary.

    Isotype

    IgG
  • Indications d'application

    WB: 1:500-1:3000. ICC/IF: 1:100-1:1000. IHC-P: 1:100-1:1000. FACS: 1:50-1:200. IP: 1:100-1:500. Optimal dilutions/concentrations should be determined by the researcher. Not tested in other applications.

    Commentaires

    Positive Control: NIH-3T3 , JC , BCL-1 , PC-12 , Rat2 , Huh7 ( 3μM Thapsigargin 12hr) , HepG2

    Validation: Comparison, KO/KD, Orthogonal

    Restrictions

    For Research Use only
  • Format

    Liquid

    Concentration

    0.39 mg/mL

    Buffer

    1XPBS, 1 % BSA, 20 % Glycerol ( pH 7), 0.025 % ProClin 300

    Agent conservateur

    ProClin

    Précaution d'utilisation

    This product contains ProClin: a POISONOUS AND HAZARDOUS SUBSTANCE which should be handled by trained staff only.

    Stock

    4 °C,-20 °C

    Stockage commentaire

    Store as concentrated solution. Centrifuge briefly prior to opening vial. For short-term storage (1-2 weeks), store at 4°C. For long-term storage, aliquot and store at -20°C or below. Avoid multiple freeze-thaw cycles.
  • Liu, Jiang, Wu, Wu, Wu, Zhao, Sun, Huang, Li, Sheng, Barbier, Cintrat, Gillet, Su: "Antiviral Effects of ABMA and DABMA against Influenza Virus In Vitro and In Vivo via Regulating the Endolysosomal Pathway and Autophagy." dans: , Vol. 23, Issue 7, (2022) (PubMed).

    Cheung, Hsu, Lin, Chen, Wang, Huang, Juan: "ZNF322A-mediated protein phosphorylation induces autophagosome formation through modulation of IRS1-AKT glucose uptake and HSP-elicited UPR in lung cancer." dans: Journal of biomedical science, Vol. 27, Issue 1, pp. 75, (2020) (PubMed).

    Chou, Lin, Dzhagalov, Chen, Lin, Lin, Chen, Chen, Fu: "Vaccine adjuvant activity of a TLR4-activating synthetic glycolipid by promoting autophagy." dans: Scientific reports, Vol. 10, Issue 1, pp. 8422, (2020) (PubMed).

    Jensen, Schuldi, McAvoy, Russell, Boehringer, Curran, Krishnamurthy, Wen, Westergard, Ma, Haeusler, Edbauer, Pasinelli, Trotti: "Synaptic dysfunction induced by glycine-alanine dipeptides in C9orf72-ALS/FTD is rescued by SV2 replenishment." dans: EMBO molecular medicine, Vol. 12, Issue 5, pp. e10722, (2020) (PubMed).

    Martello, Lauriola, Mellis, Parish, Dawson, Imrie, Vidmar, Gammoh, Mitić, Brittan, Mills, Carragher, DArca, Caporali: "Trichoplein binds PCM1 and controls endothelial cell function by regulating autophagy." dans: EMBO reports, Vol. 21, Issue 7, pp. e48192, (2020) (PubMed).

    Wong, Chiu, Tu, Sheu, Chan: "Anticancer Effects of Antihypertensive L-Type Calcium Channel Blockers on Chemoresistant Lung Cancer Cells via Autophagy and Apoptosis." dans: Cancer management and research, Vol. 12, pp. 1913-1927, (2020) (PubMed).

    Hsieh, Li, Hsu, Chen, Chen, Liu, Liu, Kuo, Liu: "Mitochondrial protection by simvastatin against angiotensin II-mediated heart failure." dans: British journal of pharmacology, Vol. 176, Issue 19, pp. 3791-3804, (2020) (PubMed).

    Nombela, Requena-Platek, Morales-Lange, Chico, Puente-Marin, Ciordia, Mena, Coll, Perez, Mercado, Ortega-Villaizan: "Rainbow Trout Red Blood Cells Exposed to Viral Hemorrhagic Septicemia Virus Up-Regulate Antigen-Processing Mechanisms and MHC I&II, CD86, and CD83 Antigen-presenting Cell Markers." dans: Cells, Vol. 8, Issue 5, (2019) (PubMed).

    Lin, Lin, Chen, Yang, Hung: "Celastrol Inhibits Dopaminergic Neuronal Death of Parkinson's Disease through Activating Mitophagy." dans: Antioxidants (Basel, Switzerland), Vol. 9, Issue 1, (2019) (PubMed).

    Chiu, Hsu, Hsu, Huang, Liu, Wu, Huang, Chen, Chen, Chiu: "Human non‑small cell lung cancer cells can be sensitized to camptothecin by modulating autophagy." dans: International journal of oncology, Vol. 53, Issue 5, pp. 1967-1979, (2019) (PubMed).

    Yi, Wang, Du, He, Ho, Qiu, Zou, Li, Jin, Zhan, Zhao, Liu: "Aleuritolic Acid Impaired Autophagic Flux and Induced Apoptosis in Hepatocellular Carcinoma HepG2 Cells." dans: Molecules (Basel, Switzerland), Vol. 23, Issue 6, (2018) (PubMed).

    Zheng, Li, Li, Zhu, Cui, Wong, Chang, Liao: "Induction of N-Ras degradation by flunarizine-mediated autophagy." dans: Scientific reports, Vol. 8, Issue 1, pp. 16932, (2018) (PubMed).

    Chiu, Hu, Yang, Hsin, Ko, Tsai, Sheu: "Immunomodulatory Protein from Ganoderma microsporum Induces Pro-Death Autophagy through Akt-mTOR-p70S6K Pathway Inhibition in Multidrug Resistant Lung Cancer Cells." dans: PLoS ONE, Vol. 10, Issue 5, pp. e0125774, (2015) (PubMed).

  • Antigène

    SQSTM1 (Sequestosome 1 (SQSTM1))

    Autre désignation

    sequestosome 1

    Sujet

    This gene encodes a multifunctional protein that binds ubiquitin and regulates activation of the nuclear factor kappa-B (NF-kB) signaling pathway. The protein functions as a scaffolding/adaptor protein in concert with TNF receptor-associated factor 6 to mediate activation of NF-kB in response to upstream signals. Alternatively spliced transcript variants encoding either the same or different isoforms have been identified for this gene. Mutations in this gene result in sporadic and familial Paget disease of bone.

    Cellular Localization: Cytoplasm , Late endosome , Nucleus

    Poids moléculaire

    48 kDa

    ID gène

    8878

    UniProt

    Q13501

    Pathways

    Signalisation NF-kappaB, Neurotrophin Signaling Pathway, Autophagy
Vous êtes ici:
Chat with us!