Tel:
+49 (0)241 95 163 153
Fax:
+49 (0)241 95 163 155
E-Mail:
orders@anticorps-enligne.fr

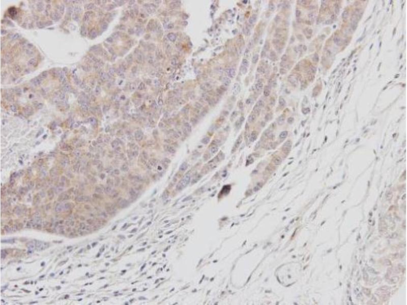
BTK anticorps (C-Term)

Cet anticorps anti-BTK Polyclonal Lapin (ABIN2855016) détecte spécifiquement BTK dans WB et IHC (p). L’anticorps est réactif avec des échantillons de Humain et Souris.
N° du produit ABIN2855016
765,00 €
Plus frais de livraison 40,00 € et TVA
100 μL
Destination: France
Envoi sous 7 à 10 jours ouvrables

Aperçu rapide pour BTK anticorps (C-Term) (ABIN2855016)

Antigène

Voir toutes BTK Anticorps
BTK (Bruton Agammaglobulinemia tyrosine Kinase (BTK))

Reactivité

  • 156
  • 80
  • 64
  • 13
  • 6
  • 5
  • 3
  • 1
Humain, Souris

Hôte

  • 173
  • 17
Lapin

Clonalité

  • 131
  • 60
Polyclonal

Conjugué

  • 75
  • 15
  • 9
  • 8
  • 7
  • 7
  • 7
  • 7
  • 7
  • 6
  • 4
  • 3
  • 3
  • 3
  • 3
  • 3
  • 3
  • 3
  • 3
  • 3
  • 3
  • 3
  • 2
  • 2
  • 2
Cet anticorp BTK est non-conjugé

Application

  • 130
  • 59
  • 41
  • 40
  • 40
  • 33
  • 20
  • 19
  • 15
  • 13
  • 10
  • 2
  • 2
  • 2
  • 2
  • 1
Western Blotting (WB), Immunohistochemistry (Paraffin-embedded Sections) (IHC (p))
  • Épitope

    • 47
    • 17
    • 16
    • 15
    • 9
    • 8
    • 8
    • 7
    • 6
    • 4
    • 3
    • 2
    • 2
    • 2
    • 2
    • 2
    • 1
    • 1
    • 1
    • 1
    • 1
    • 1
    • 1
    • 1
    • 1
    • 1
    • 1
    • 1
    • 1
    • 1
    • 1
    C-Term

     Réactivité croisée

    Boeuf (Vache), Poulet, Porc, Rat (Rattus)

    Réactivité croisée (Details)

    Chicken (86 %), Pig (99 %), Rat (98 %), Bovine (98 %)

    Attributs du produit

    Rabbit Polyclonal antibody to BTK (Bruton agammaglobulinemia tyrosine kinase)
    BTK antibody [C1C3]

    Purification

    Purified by antigen-affinity chromatography.

    Immunogène

    Recombinant protein encompassing a sequence within the C-terminus region of human BTK. The exact sequence is proprietary.

    Isotype

    IgG
  • Indications d'application

    Suggested dilution Reference IHC (Formalin-fixed paraffin-embedded sections) 1:100-1:1000* Western blot 1:500-1:3000* Not tested in other applications. *Optimal dilutions/concentrations should be determined by the researcher.Suggested dilutionReferenceIHC (Formalin-fixed paraffin-embedded sections)1:100-1:1000* Western blot1:500-1:3000*

    Commentaires

    Positive Control: Molt-4

    Restrictions

    For Research Use only
  • Format

    Liquid

    Concentration

    0.62 mg/mL

    Buffer

    0.1M Tris, 0.1M Glycine, 10 % Glycerol ( pH 7). 0.01 % Thimerosal was added as a preservative.

    Agent conservateur

    Thimerosal (Merthiolate)

    Précaution d'utilisation

    This product contains Thimerosal (Merthiolate): a POISONOUS AND HAZARDOUS SUBSTANCE which should be handled by trained staff only.

    Stock

    -20 °C

    Stockage commentaire

    Keep as concentrated solution. Aliquot and store at -20°C or below. Avoid multiple freeze-thaw cycles.
  • Antigène

    BTK (Bruton Agammaglobulinemia tyrosine Kinase (BTK))

    Autre désignation

    BTK

    Sujet

    The protein encoded by this gene plays a crucial role in B-cell development. Mutations in this gene cause X-linked agammaglobulinemia type 1, which is an immunodeficiency characterized by the failure to produce mature B lymphocytes, and associated with a failure of Ig heavy chain rearrangement.

    Cellular Localization: Cytoplasm , Membrane, Peripheral membrane protein , Nucleus , Cytoplasm , Membrane , Nucleus

    Poids moléculaire

    76 kDa

    ID gène

    695

    Pathways

    Fc-epsilon Receptor Signaling Pathway, Hormone Transport, Activation of Innate immune Response, Regulation of Leukocyte Mediated Immunity, Production of Molecular Mediator of Immune Response, Toll-Like Receptors Cascades, BCR Signaling
Vous êtes ici:
Chat with us!