BTK anticorps
Aperçu rapide pour BTK anticorps (ABIN7265950)
Antigène
Voir toutes BTK AnticorpsReactivité
Hôte
Clonalité
Conjugué
Application
-
-
Fonction
- BTK Rabbit mAb
-
Réactivité croisée
- Humain, Souris
-
Attributs du produit
- Monoclonal Antibodies
-
Purification
- Affinity purification
-
Immunogène
- A synthesized peptide derived from human BTK
-
Isotype
- IgG
-
-
-
-
Indications d'application
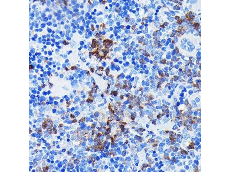
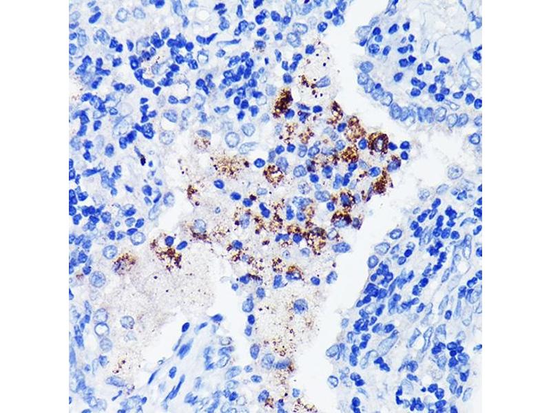
- WB,1:500 - 1:2000,IHC,1:50 - 1:200,IF,1:50 - 1:200
-
Restrictions
- For Research Use only
-
-
-
Format
- Liquid
-
Buffer
- PBS with 0.02 % sodium azide,0.05 % BSA,50 % glycerol, pH 7.3.
-
Agent conservateur
- Sodium azide
-
Précaution d'utilisation
- This product contains Sodium azide: a POISONOUS AND HAZARDOUS SUBSTANCE which should be handled by trained staff only.
-
Stock
- -20 °C
-
Stockage commentaire
- Store at -20°C. Avoid freeze / thaw cycles.
-
-
- BTK (Bruton Agammaglobulinemia tyrosine Kinase (BTK))
-
Autre désignation
- BTK
-
Sujet
- The protein encoded by this gene plays a crucial role in B-cell development. Mutations in this gene cause X-linked agammaglobulinemia type 1, which is an immunodeficiency characterized by the failure to produce mature B lymphocytes, and associated with a failure of Ig heavy chain rearrangement. Alternative splicing results in multiple transcript variants encoding different isoforms. [provided by RefSeq, Dec 2013],AGMX1,AT,ATK,BPK,IMD1,PSCTK1,XLA,BTK,Apoptosis,B Cell Receptor Signaling Pathway,Cell Biology & Developmental Biology,Cell Intrinsic Innate Immunity Signaling Pathway,Immunology & Inflammation,Innate Immunity_TLR Signaling,Kinase,Kinase_Tyrosine kinases,Protein phosphorylation,Signal Transduction,Toll-like Receptor Signaling Pathway,BTK
-
Poids moléculaire
- 76kDa
-
ID gène
- 695
-
UniProt
- Q06187
-
Pathways
- Fc-epsilon Receptor Signaling Pathway, Hormone Transport, Activation of Innate immune Response, Regulation of Leukocyte Mediated Immunity, Production of Molecular Mediator of Immune Response, Toll-Like Receptors Cascades, BCR Signaling
Antigène
-