BTK anticorps (AA 91-387)
Aperçu rapide pour BTK anticorps (AA 91-387) (ABIN604940)
Antigène
Voir toutes BTK AnticorpsReactivité
Hôte
Clonalité
Conjugué
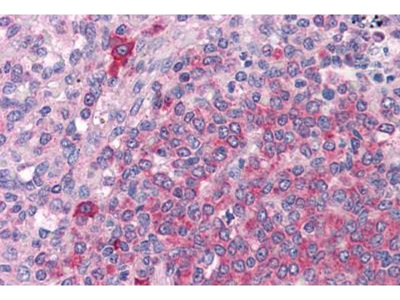
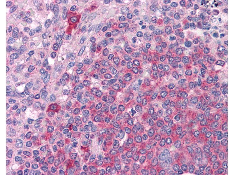
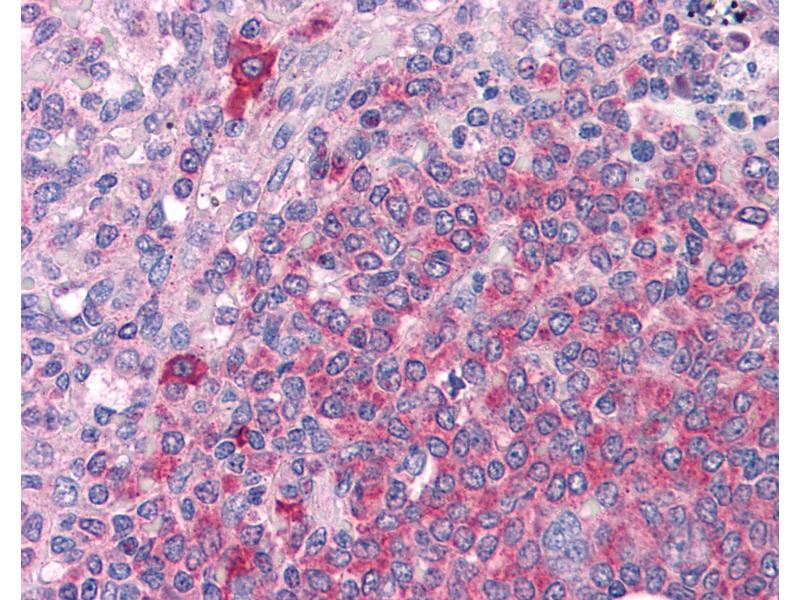
Application
-
-
Épitope
- AA 91-387
-
Specificité
- Human Btk. Predicted cross-reactivity based on amino acid sequence homology: mouse (97 % ), rat (97 %), bovine (98 %).
-
Purification
- Immunoaffinity purified
-
Immunogène
-
Recombinant protein fragment containing a sequence corresponding to a region within amino acids 91 and 387 of Human Btk.
Type of Immunogen: Recombinant protein
-
-
-
-
Indications d'application
- Approved: IHC, IHC-P (10 μg/mL), WB (1:1000 - 1:10000)
-
Commentaires
-
Target Species of Antibody: Human
-
Restrictions
- For Research Use only
-
-
-
Format
- Liquid
-
Concentration
- Lot specific
-
Buffer
- 0.1 M Tris-glycine, pH 7, 10 % Glycerol, 0.01 % Thimerosal
-
Agent conservateur
- Thimerosal (Merthiolate)
-
Précaution d'utilisation
- This product contains Thimerosal (Merthiolate): a POISONOUS AND HAZARDOUS SUBSTANCE which should be handled by trained staff only.
-
Conseil sur la manipulation
- Minimize freezing and thawing.
-
Stock
- -20 °C
-
Stockage commentaire
- Aliquot and store at -20°C. Avoid freeze-thaw cycles.
-
-
- BTK (Bruton Agammaglobulinemia tyrosine Kinase (BTK))
-
Autre désignation
- BTK
-
Sujet
-
Name/Gene ID: BTK
Subfamily: BTK/TEC
Family: Protein Kinase
Synonyms: BTK, AGMX1, AT, ATK, XLA, PSCTK1, B-cell progenitor kinase, BPK, Bruton tyrosine kinase, Tyrosine-protein kinase BTK, IMD1 -
ID gène
- 695
-
UniProt
- Q06187
-
Pathways
- Fc-epsilon Receptor Signaling Pathway, Hormone Transport, Activation of Innate immune Response, Regulation of Leukocyte Mediated Immunity, Production of Molecular Mediator of Immune Response, Toll-Like Receptors Cascades, BCR Signaling
Antigène
-