Tel:
+49 (0)241 95 163 153
Fax:
+49 (0)241 95 163 155
E-Mail:
orders@anticorps-enligne.fr

PDE4D anticorps (C-Term)

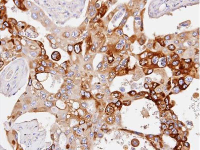
L’anticorps anti-PDE4D Polyclonal Lapin est utilisé pour la détection de PDE4D dans des échantillons de Humain. Il a été validé pour WB, ICC, IF et IHC (p).
N° du produit ABIN2855885
583,17 €
Plus frais de livraison 40,00 € et TVA
100 μL
Destination: France
Envoi sous 7 à 10 jours ouvrables

Aperçu rapide pour PDE4D anticorps (C-Term) (ABIN2855885)

Antigène

Voir toutes PDE4D Anticorps
PDE4D (phosphodiesterase 4D, cAMP-Specific (PDE4D))

Reactivité

  • 54
  • 42
  • 42
  • 6
  • 4
  • 3
  • 3
  • 3
  • 3
  • 2
  • 2
  • 1
  • 1
Humain

Hôte

  • 56
  • 1
  • 1
Lapin

Clonalité

  • 54
  • 4
Polyclonal

Conjugué

  • 31
  • 5
  • 3
  • 1
  • 1
  • 1
  • 1
  • 1
  • 1
  • 1
  • 1
  • 1
  • 1
  • 1
  • 1
  • 1
  • 1
  • 1
  • 1
  • 1
  • 1
  • 1
Cet anticorp PDE4D est non-conjugé

Application

  • 49
  • 22
  • 19
  • 16
  • 11
  • 9
  • 9
  • 6
  • 4
  • 1
  • 1
Western Blotting (WB), Immunocytochemistry (ICC), Immunofluorescence (IF), Immunohistochemistry (Paraffin-embedded Sections) (IHC (p))
  • Épitope

    • 16
    • 7
    • 3
    • 3
    • 3
    • 1
    • 1
    • 1
    • 1
    • 1
    • 1
    • 1
    • 1
    • 1
    • 1
    • 1
    • 1
    • 1
    • 1
    • 1
    C-Term

     Réactivité croisée

    Humain

    Attributs du produit

    Rabbit Polyclonal antibody to PDE4D (phosphodiesterase 4D, cAMP-specific)
    PDE4D antibody [C3], C-term

    Purification

    Purified by antigen-affinity chromatography.

    Immunogène

    Carrier-protein conjugated synthetic peptide encompassing a sequence within the C-terminus region of human PDE4D. The exact sequence is proprietary.

    Isotype

    IgG
  • Indications d'application

    WB: 1:500-1:3000. ICC/IF: 1:100-1:1000. IHC-P: 1:100-1:1000. Optimal dilutions/concentrations should be determined by the researcher. Not tested in other applications.

    Commentaires

    Positive Control: A431 , HeLa

    Restrictions

    For Research Use only
  • Format

    Liquid

    Concentration

    0.3 mg/mL

    Buffer

    0.1M Tris-Glycine ( pH 7), 10 % Glycerol, 0.01 % Thimerosal

    Agent conservateur

    Thimerosal (Merthiolate)

    Précaution d'utilisation

    This product contains Thimerosal (Merthiolate): a POISONOUS AND HAZARDOUS SUBSTANCE which should be handled by trained staff only.

    Stock

    4 °C,-20 °C

    Stockage commentaire

    Store as concentrated solution. Centrifuge briefly prior to opening vial. For short-term storage (1-2 weeks), store at 4°C. For long-term storage, aliquot and store at -20°C or below. Avoid multiple freeze-thaw cycles.
  • Antigène

    PDE4D (phosphodiesterase 4D, cAMP-Specific (PDE4D))

    Autre désignation

    phosphodiesterase 4D

    Sujet

    The PDE4D gene is complex and has at least 9 different isoforms that encode functional proteins. These proteins degrade the second messenger cAMP, which is a key signal transduction molecule in multiple cell types, including vascular cells (Dominiczak and McBride, 2003 [PubMed 14517535]).[supplied by OMIM]

    Cellular Localization: Cytoplasm (By similarity) , Membrane (By similarity) , Cytoplasm , cytoskeleton (By similarity) , Centrosome (By similarity)

    Poids moléculaire

    91 kDa

    ID gène

    5144

    UniProt

    Q08499

    Pathways

    Cellular Response to Molecule of Bacterial Origin, cAMP Metabolic Process, Myometrial Relaxation and Contraction, Regulation of G-Protein Coupled Receptor Protein Signaling
Vous êtes ici:
Chat with us!