×
Pour une meilleure utilisation, nous vous conseillons d’activer Javascript dans votre navigateur.
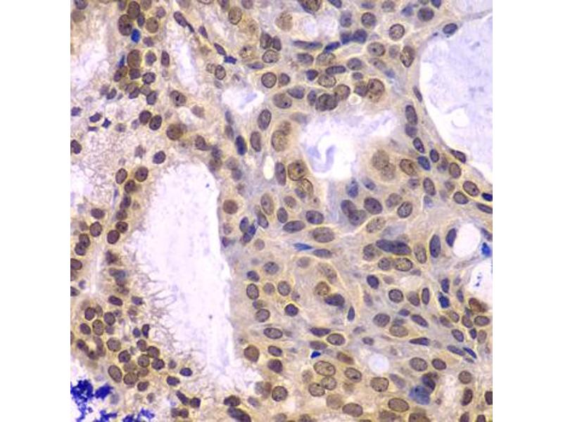
POLD3 anticorps
Cet anticorps Lapin Polyclonal détecte spécifiquement POLD3 dans WB, IHC et IF/ICC. Il présente une réactivité avec des échantillons de Humain et Souris.
N° du produit ABIN2970697
954,16 €
Plus frais de livraison 40,00 € et TVA
60 μL ABIN2970696
120 μL ABIN2920796
200 μL ABIN2970697
60 μL ABIN2970696
120 μL ABIN2920796
200 μL ABIN2970697
Envoi sous 7 à 13 jours ouvrables
Aperçu rapide pour POLD3 anticorps (ABIN2970697)
Antigène
Voir toutes POLD3 Anticorps
POLD3
(Polymerase (DNA-Directed), delta 3, Accessory Subunit (POLD3))
Reactivité
Toutes les réactivités sur POLD3 Anticorps
Humain, Souris
Hôte
Toutes les hôtes sur POLD3 Anticorps
Lapin
Clonalité
Toutes les clonalités sur POLD3 Anticorps
Polyclonal
Conjugué
Tous les conjugués à travers POLD3 Anticorps
Cet anticorp POLD3 est non-conjugé
Application
Tous les applications à travers POLD3 Anticorps.
Western Blotting (WB), Immunohistochemistry (IHC), Immunofluorescence (fixed cells) (IF/ICC)
Détail du produit anti-POLD3 anticorps
(cache)
Purification
Affinity purified
Immunogène
Recombinant protein of human POLD3.
Isotype
IgG
Alternatives
(show)
Information d'application
(cache)
Indications d'application
Optimal working dilution should be determined by the investigator.
Restrictions
For Research Use only
Stockage
(cache)
Format
Liquid
Concentration
Lot specific
Buffer
PBS, pH 7.3, 0.02 % sodium azide, 50 % glycerol.
Agent conservateur
Sodium azide
Précaution d'utilisation
This product contains Sodium azide: a POISONOUS AND HAZARDOUS SUBSTANCE which should be handled by trained staff only.
Stock
-20 °C
Stockage commentaire
Aliquot and store at -20 °C. Avoid repeated freeze/thaw cycles.
Détails sur POLD3
(cache)
Antigène
POLD3
(Polymerase (DNA-Directed), delta 3, Accessory Subunit (POLD3))
Autre désignation
POLD3
Poids moléculaire
Calculated MW: 39 kDa/46 kDa/51 kDa Observed MW: 51 kDa
ID gène
10714
UniProt
Q15054
Pathways
Telomere Maintenance , Réparation de l'ADN , DNA Replication , Synthesis of DNA
Vus récemment
(cache)
Chat with us , powered by LiveChat