×
Pour une meilleure utilisation, nous vous conseillons d’activer Javascript dans votre navigateur.
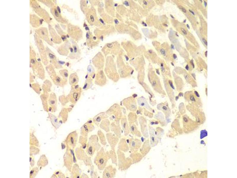
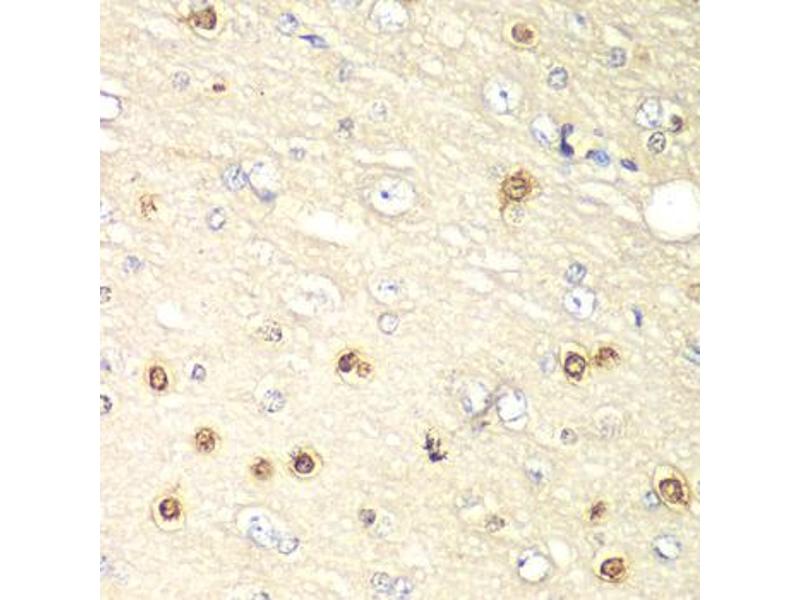
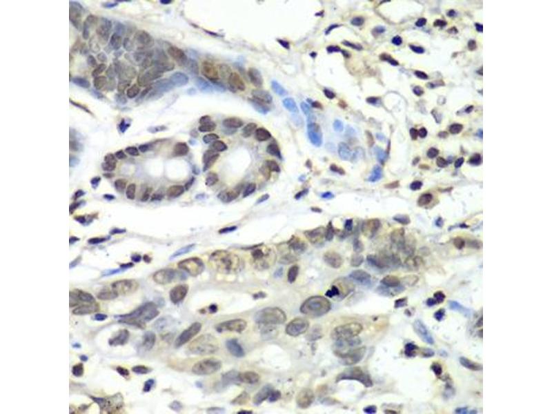
HIF1AN anticorps
Cet anticorps Lapin Polyclonal détecte spécifiquement HIF1AN dans WB, IHC, IP et IF/ICC. Il présente une réactivité avec des échantillons de Humain, Souris et Rat.
N° du produit ABIN2975780
778,98 €
Plus frais de livraison 40,00 € et TVA
20 μL ABIN5973179
2 x 100 μL ABIN2932901
100 μL ABIN2975780
20 μL ABIN5973179
2 x 100 μL ABIN2932901
100 μL ABIN2975780
Envoi sous 7 à 13 jours ouvrables
Aperçu rapide pour HIF1AN anticorps (ABIN2975780)
Antigène
Voir toutes HIF1AN Anticorps
HIF1AN
(Hypoxia Inducible Factor 1, alpha Subunit Inhibitor (HIF1AN))
Reactivité
Toutes les réactivités sur HIF1AN Anticorps
Humain, Souris, Rat
Hôte
Toutes les hôtes sur HIF1AN Anticorps
Lapin
Clonalité
Toutes les clonalités sur HIF1AN Anticorps
Polyclonal
Conjugué
Tous les conjugués à travers HIF1AN Anticorps
Cet anticorp HIF1AN est non-conjugé
Application
Tous les applications à travers HIF1AN Anticorps.
Western Blotting (WB), Immunohistochemistry (IHC), Immunoprecipitation (IP), Immunofluorescence (fixed cells) (IF/ICC)
Détail du produit anti-HIF1AN anticorps
(cache)
Purification
Affinity purified
Immunogène
Recombinant protein of human HIF1AN.
Isotype
IgG
Alternatives
(show)
Information d'application
(cache)
Indications d'application
Optimal working dilution should be determined by the investigator.
Restrictions
For Research Use only
Stockage
(cache)
Format
Liquid
Concentration
Lot specific
Buffer
PBS, pH 7.3, 0.02 % sodium azide, 50 % glycerol.
Agent conservateur
Sodium azide
Précaution d'utilisation
This product contains Sodium azide: a POISONOUS AND HAZARDOUS SUBSTANCE which should be handled by trained staff only.
Stock
-20 °C
Stockage commentaire
Aliquot and store at -20 °C. Avoid repeated freeze/thaw cycles.
Détails sur HIF1AN
(cache)
Antigène
HIF1AN
(Hypoxia Inducible Factor 1, alpha Subunit Inhibitor (HIF1AN))
Autre désignation
HIF1AN
Poids moléculaire
Calculated MW: 40 kDa Observed MW: 40 kDa
ID gène
55662
UniProt
Q9NWT6
Pathways
Regulation of Muscle Cell Differentiation , Skeletal Muscle Fiber Development
Vus récemment
(cache)
Chat with us , powered by LiveChat