Tel:
+49 (0)241 95 163 153
Fax:
+49 (0)241 95 163 155
E-Mail:
orders@anticorps-enligne.fr

Glypican 3 anticorps (AA 511-580)

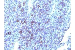
Cet anticorps Souris Monoclonal détecte spécifiquement Glypican 3 dans FACS, IF et IHC (p). Il présente une réactivité avec des échantillons de Humain.
N° du produit ABIN3024884
642,40 €
Plus frais de livraison 40,00 € et TVA
Destination: France
Envoi sous 6 à 9 jours ouvrables

Aperçu rapide pour Glypican 3 anticorps (AA 511-580) (ABIN3024884)

Antigène

Voir toutes Glypican 3 (GPC3) Anticorps
Glypican 3 (GPC3)

Reactivité

  • 205
  • 63
  • 53
  • 4
  • 2
  • 2
  • 2
  • 2
  • 1
  • 1
  • 1
Humain

Hôte

  • 118
  • 68
  • 17
  • 3
  • 3
  • 1
  • 1
Souris

Clonalité

  • 118
  • 84
  • 5
Monoclonal

Conjugué

  • 90
  • 17
  • 9
  • 7
  • 7
  • 6
  • 6
  • 6
  • 6
  • 6
  • 6
  • 6
  • 6
  • 2
  • 2
  • 2
  • 2
  • 2
  • 2
  • 2
  • 1
  • 1
  • 1
  • 1
  • 1
  • 1
  • 1
  • 1
  • 1
  • 1
  • 1
  • 1
  • 1
  • 1
  • 1
Cet anticorp Glypican 3 est non-conjugé

Application

  • 110
  • 90
  • 87
  • 60
  • 60
  • 26
  • 19
  • 16
  • 13
  • 6
  • 6
  • 2
  • 1
  • 1
  • 1
Flow Cytometry (FACS), Immunofluorescence (IF), Immunohistochemistry (Paraffin-embedded Sections) (IHC (p))

Clone

1G12-GPC3-863
  • Épitope

    • 21
    • 16
    • 12
    • 7
    • 7
    • 6
    • 4
    • 4
    • 2
    • 2
    • 2
    • 2
    • 2
    • 2
    • 2
    • 2
    • 2
    • 1
    • 1
    • 1
    • 1
    • 1
    • 1
    • 1
    • 1
    AA 511-580

    Purification

    Protein G affinity chromatography

    Immunogène

    A recombinant fragment containing amino acids 511-580 of human GPC3 (1G12) and recombinant full-length protein (GPC3/863) were used as the immunogen for the Glypican-3 antibody cocktail.

    Isotype

    IgG
  • Indications d'application

    Optimal dilution of the Glypican-3 antibody cocktail should be determined by the researcher.

    1. Staining of formalin-fixed tissues requires boiling tissue sections in 10  mM Tris with 1  mM EDTA,  pH 9.0, for 10-20 min followed by cooling at RT for 20 min
    2. The prediluted format is supplied in a dropper bottle and is optimized for use in IHC. After epitope retrieval step (if required), drip mAb solution onto the tissue section and incubate at RT for 30 min.\. Flow Cytometry: 0.5-1 μg/million cells in 0.1ml,Immunofluorescence: 0.5-1 μg/mL,Immunohistochemistry (FFPE): 0.5-1 μg/mL for 30 min at RT (1),Prediluted format : incubate for 30 min at RT (2)

    Restrictions

    For Research Use only
  • Concentration

    0.2 mg/mL

    Buffer

    0.2 mg/mL in 1X PBS with 0.1 mg/mL BSA (US sourced) and 0.05 % sodium azide

    Agent conservateur

    Sodium azide

    Précaution d'utilisation

    This product contains Sodium azide: a POISONOUS AND HAZARDOUS SUBSTANCE which should be handled by trained staff only.

    Stock

    4 °C,-20 °C

    Stockage commentaire

    Store the Glypican-3 antibody cocktail at 2-8°C (with azide) or aliquot and store at -20°C or colder (without azide).
  • Antigène

    Glypican 3 (GPC3)

    Autre désignation

    Glypican-3

    Sujet

    Glypican-3 (GPC3) is an integral membrane protein that is mutated in the Simpson-Golabi-Behmel syndrome (SGBS). SGBS is characterized by pre- and post-natal overgrowth and is a recessive X-linked condition. GPC3 may also be found in a secreted form. Anti-GPC3 has been identified as a useful tumor marker for the diagnosis of hepatocellular carcinoma (HCC), hepatoblastoma, melanoma, testicular germ cell tumors, and Wilm s tumor. In patients with HCC, GPC3 is overexpressed in neoplastic liver tissue and elevated in serum, but is undetectable in normal liver, benign liver, and the serum of healthy donors. GPC3 expression is also found to be higher in HCC liver tissue than in cirrhotic liver or liver with focal lesions such as dysplastic nodules and areas of hepatic adenoma (HA) with malignant transformation. In the context of testicular germ cell tumors, GPC3 expression is up regulated in certain histologic subtypes, specifically yolk sac tumors and choriocarcinoma. A high level of GPC3 expression has also been found in some types of embryonal tumors, such as Wilm s tumor and hepatoblastoma, with a low or undetectable expression in normal adjacent tissue. In patients with thyroid cancer, expression of GPC3 is dramatically enhanced in certain types of cancers: 100 % in follicular carcinoma and 70 % in papillary carcinoma. Expression of GPC3 in follicular carcinoma was significantly higher than that of follicular adenoma. In contrast, GPC 3 is not expressed in anaplastic carcinoma.

    Pathways

    Glycosaminoglycan Metabolic Process
Vous êtes ici:
Chat with us!