Tel:
+49 (0)241 95 163 153
Fax:
+49 (0)241 95 163 155
E-Mail:
orders@anticorps-enligne.fr

p40 (p63 Delta) (AA 5-17) anticorps

L’anticorps anti-p40 (p63 Delta) Polyclonal Lapin est utilisé pour la détection de p40 (p63 Delta) dans des échantillons de Humain, Boeuf (Vache), Souris et Rat. Il a été validé pour WB, FACS, IF et IHC (p).
N° du produit ABIN3025362
642,40 €
Plus frais de livraison 40,00 € et TVA
100 μg
Destination: France
Envoi sous 6 à 9 jours ouvrables

Aperçu rapide pour p40 (p63 Delta) (AA 5-17) anticorps (ABIN3025362)

Antigène

p40 (p63 Delta)

Reactivité

Humain, Boeuf (Vache), Souris, Rat

Hôte

  • 29
  • 2
Lapin

Clonalité

  • 17
  • 13
  • 1
Polyclonal

Conjugué

  • 7
  • 3
  • 2
  • 2
  • 2
  • 2
  • 2
  • 2
  • 1
  • 1
  • 1
  • 1
  • 1
  • 1
  • 1
  • 1
  • 1
Inconjugué

Application

  • 21
  • 18
  • 14
  • 9
  • 8
  • 7
  • 2
  • 1
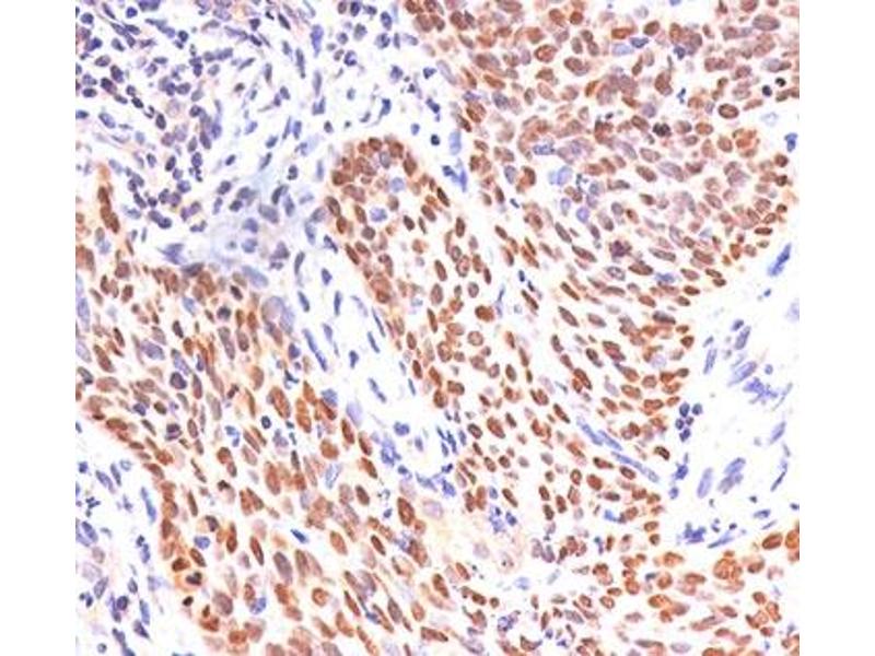
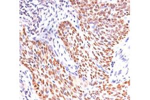
Western Blotting (WB), Flow Cytometry (FACS), Immunofluorescence (IF), Immunohistochemistry (Paraffin-embedded Sections) (IHC (p))
  • Épitope

    • 10
    • 2
    • 1
    AA 5-17

    Purification

    Protein A affinity chromatography

    Immunogène

    Amino acids ENNAQTQFSEPQY (aa 5-17) of human p40 / p63 delta were used as the immunogen for this antibody.

    Isotype

    IgG
  • Indications d'application

    The concentration stated for each application is a general starting point. Variations in protocols, secondaries and substrates may require the p40 antibody to be titered up or down for optimal performance.

    1. Staining of FFPE tissues requires boiling sections in 1  mM EDTA,  pH 9.0, for 10-20 min followed by cooling at RT for 20 min.
    2. The prediluted format is supplied in a dropper bottle and is optimized for use in IHC. After epitope retrieval step (if required), drip mAb solution onto the tissue section and incubate at RT for 30 min.\. FACS: 0.5-1 μg/10e6 cells,IF: 1-2 μg/mL,WB: 0.5-1 μg/mL,IHC (FFPE): 1-2 μg/mL for 30 minutes at RT (1),Prediluted format : incubate for 30 min at RT (2)

    Restrictions

    For Research Use only
  • Concentration

    1 mg/mL

    Buffer

    1 mg/mL in 1X PBS, BSA free, sodium azide free

    Agent conservateur

    Azide free

    Stock

    4 °C,-20 °C

    Stockage commentaire

    Store the p40 antibody at 2-8°C (with azide) or aliquot and store at -20°C or colder (without azide).
  • Antigène

    p40 (p63 Delta)

    Autre désignation

    p40

    Sujet

    P40 (p63 delta) is a marker recently determined to be highly specific for squamous basal cells in the immunohistochemistry (IHC) application. The current more routinely recommended marker, p63, appears to have less specificity compared to p40, especially on squamous cell tumors. The ability to differentiate between lung adenocarcinoma vs. squamous cell carcinoma is difficult and has bearing on the different therapeutic avenues for each subtype treatment. p40 antibody's ability to distinguish between the tumor types appears to be superior when compared to p63. The ability to utilize a p40 antibody probe as a squamous cell marker bolsters its use for future sub-classification of lung cancers, especially by immunohistochemical techniques.

    ID gène

    8626
Vous êtes ici:
Chat with us!