Tel:
+49 (0)241 95 163 153
Fax:
+49 (0)241 95 163 155
E-Mail:
orders@anticorps-enligne.fr

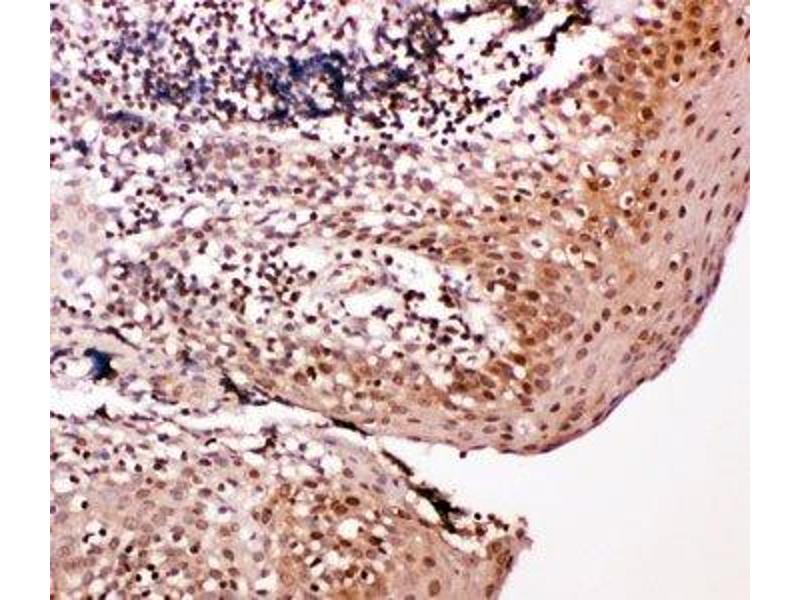
CASP14 anticorps (AA 223-242)

L’anticorps anti-CASP14 Polyclonal Lapin est utilisé pour la détection de CASP14 dans des échantillons de Humain, Souris et Rat. Il a été validé pour WB et IHC (p).
N° du produit ABIN3030293
644,88 €
Plus frais de livraison 40,00 € et TVA
100 μg
Destination: France
Envoi sous 6 à 9 jours ouvrables

Aperçu rapide pour CASP14 anticorps (AA 223-242) (ABIN3030293)

Antigène

Voir toutes CASP14 Anticorps
CASP14 (Caspase 14, Apoptosis-Related Cysteine Peptidase (CASP14))

Reactivité

Humain, Souris, Rat

Hôte

  • 52
  • 5
  • 1
Lapin

Clonalité

  • 33
  • 25
Polyclonal

Conjugué

  • 35
  • 3
  • 3
  • 3
  • 3
  • 3
  • 3
  • 3
  • 1
  • 1
Cet anticorp CASP14 est non-conjugé

Application

  • 40
  • 22
  • 19
  • 18
  • 15
  • 12
  • 10
  • 5
  • 3
  • 2
  • 2
  • 2
  • 1
Western Blotting (WB), Immunohistochemistry (Paraffin-embedded Sections) (IHC (p))
  • Épitope

    • 3
    • 3
    • 3
    • 2
    • 1
    • 1
    • 1
    • 1
    • 1
    • 1
    • 1
    • 1
    • 1
    • 1
    • 1
    • 1
    • 1
    • 1
    AA 223-242

    Purification

    Antigen affinity

    Immunogène

    Amino acids 223-242 (KARKTNPEIQSTLRKRLYLQ-human) were used as the immunogen for this Caspase-14 antibody.

    Isotype

    IgG
  • Indications d'application

    The stated application concentrations are suggested starting points. Titration of the Caspase-14 antibody may be required due to differences in protocols and secondary/substrate sensitivity.\. Western blot: 0.5-1 μg/mL,IHC (Paraffin): 0.5-1 μg/mL

    Restrictions

    For Research Use only
  • Buffer

    0.5 mg/mL if reconstituted with 0.2 mL sterile DI water

    Stock

    -20 °C

    Stockage commentaire

    After reconstitution, the Caspase-14 antibody can be stored for up to one month at 4°C. For long-term, aliquot and store at -20°C. Avoid repeated freezing and thawing.
  • Antigène

    CASP14 (Caspase 14, Apoptosis-Related Cysteine Peptidase (CASP14))

    Autre désignation

    Caspase-14

    Sujet

    Caspase 14 is an enzyme that in humans is encoded by the CASP14 gene. CASP14 belongs the evolutionarily conserved caspase family. CASP14 was assigned to chromosome 19p13.1. Using Northern blot and semiquantitative RT-PCR analyses, it was showed that CASP14 was transcriptionally upregulated during maintenance of confluent cultures of human epidermal keratinocytes. The expression and processing of this caspase may be involved in keratinocyte terminal differentiation, which is important for the formation of the skin barrier. Caspase 14 seems to play a role in keratinocyte differentiation and cornification and probably regulates maturation of the epidermis by proteolytically processing filaggrin.

    UniProt

    P31944
Vous êtes ici:
Chat with us!